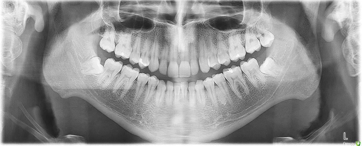
bogdan_r Опубликовано 9 июля, 2015 Поделиться Опубликовано 9 июля, 2015 (изменено) Здравствуйте. Делал себе ОПТГ и меня смутили неровные края и выступы в углах нижней челюсти. Скажите, это нормально? Какие возможны последствия? Изменено 9 июля, 2015 пользователем bogdan_r Ссылка на комментарий
red_butler Опубликовано 9 июля, 2015 Поделиться Опубликовано 9 июля, 2015 это просто строение вашей челюсти 1 Ссылка на комментарий
Рекомендуемые сообщения
Для публикации сообщений создайте учётную запись или авторизуйтесь
Вы должны быть пользователем, чтобы оставить комментарий
Создать аккаунт
Зарегистрируйте новый аккаунт в нашем сообществе. Это очень просто!
Регистрация нового пользователяВойти
Уже есть аккаунт? Войти в систему.
Войти