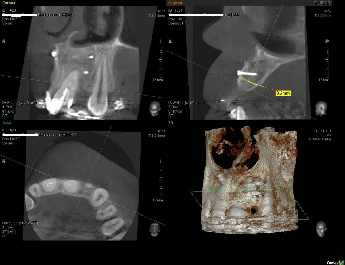
Kostoprav Опубликовано 8 июля, 2015 Поделиться Опубликовано 8 июля, 2015 ИЗНАЧАЛЬНАЯ СИТУАЦИЯ ПОЛУЧИЛОСЬ сори что нет фото до имплантации. Блок взял с тела челюсти, фиксировал двумя винтами (во время имплантации выкрутил только один), присыпал gen os, укрыл дермой-получил заметный прирост слизистой) имплант альфадент 3,75х11,5 2 Ссылка на комментарий
Mane Опубликовано 8 июля, 2015 Поделиться Опубликовано 8 июля, 2015 (изменено) Видно что блок прирос. Здорово Остальное оценить сложноМне нравится положение импланта в плане оси. Но уровень заглубления не ясенТакже не видно прироста десныВ общем мало данных для оценкиНо опять же вам именно она и нужна? Изменено 8 июля, 2015 пользователем Mane Ссылка на комментарий
Kostoprav Опубликовано 8 июля, 2015 Автор Поделиться Опубликовано 8 июля, 2015 Видно что блок прирос. ЗдоровоОстальное оценить сложноМне нравится положение импланта в плане оси.Но уровень заглубления не ясенТакже не видно прироста десныВ общем мало данных для оценкиНо опять же вам именно она и нужна?по вестибюлярной поверхности заглубил приблизительно на 1мм с небной больше получилось. слизистая по сравнению с первым разом значительно толще стала, доказать к сожалению не могу так как не делал фото(: я выложил этот пост не только ради оценки, может кому из начинающих данный случай сгодиться 3 Ссылка на комментарий
Maxfac Опубликовано 8 июля, 2015 Поделиться Опубликовано 8 июля, 2015 по вестибюлярной поверхности заглубил приблизительно на 1мм с небной больше получилось. слизистая по сравнению с первым разом значительно толще стала, доказать к сожалению не могу так как не делал фото(: я выложил этот пост не только ради оценки, может кому из начинающих данный случай сгодитьсяНа что ориентировались, позиционируя платформу по вертикали? Ссылка на комментарий
Kostoprav Опубликовано 8 июля, 2015 Автор Поделиться Опубликовано 8 июля, 2015 На что ориентировались, позиционируя платформу по вертикали?ориентацию задавал ортопед, стоял рядом за спиной и командовал Ссылка на комментарий
doc-евгений Опубликовано 8 июля, 2015 Поделиться Опубликовано 8 июля, 2015 Видно что блок прирос. Здорово Остальное оценить сложноМне нравится положение импланта в плане оси. Но уровень заглубления не ясенТакже не видно прироста десныВ общем мало данных для оценкиНо опять же вам именно она и нужна? Эдуард, можно ли было в данном случае сделать реверсивные блоки? Ссылка на комментарий
OLG Опубликовано 8 июля, 2015 Поделиться Опубликовано 8 июля, 2015 всем бы начинающим такого ортопеда) ориентацию задавал ортопед, стоял рядом за спиной и командовал всем бы начинающим такого ортопеда. спасибо за случай, коллега! Ссылка на комментарий
Kostoprav Опубликовано 8 июля, 2015 Автор Поделиться Опубликовано 8 июля, 2015 ортопед моя жена) шаг влево, шаг вправо-растрел так что вы подумайте нужен ли вам такой ортопед 5 Ссылка на комментарий
k.t.m. Опубликовано 8 июля, 2015 Поделиться Опубликовано 8 июля, 2015 Дуга вестибулярная -отличный позиционер вестибуло-)))) 3 Ссылка на комментарий
Mane Опубликовано 9 июля, 2015 Поделиться Опубликовано 9 июля, 2015 Эдуард, можно ли было в данном случае сделать реверсивные блоки?Нет. Да и незачем. Ссылка на комментарий
Doc_Ti Опубликовано 10 июля, 2015 Поделиться Опубликовано 10 июля, 2015 Почему то фотографии не открываются.. 1 Ссылка на комментарий
kladoffka Опубликовано 10 июля, 2015 Поделиться Опубликовано 10 июля, 2015 И у меня не открывается. 1 Ссылка на комментарий
Petr_Off Опубликовано 10 июля, 2015 Поделиться Опубликовано 10 июля, 2015 Я, к сожалению, тоже не вижу Ссылка на комментарий
Ponchik Опубликовано 10 июля, 2015 Поделиться Опубликовано 10 июля, 2015 Фото нет Ссылка на комментарий
Kostoprav Опубликовано 10 июля, 2015 Автор Поделиться Опубликовано 10 июля, 2015 прошу прощения уважаемые коллеги. по началу все было ок, а потом куда то вытерлись вот пожалуйста-перезалил 3 Ссылка на комментарий
orig Опубликовано 28 июля, 2015 Поделиться Опубликовано 28 июля, 2015 Сколько времени прошло после фиксации блока? Чем забирает е блок? Ссылка на комментарий
Kostoprav Опубликовано 28 июля, 2015 Автор Поделиться Опубликовано 28 июля, 2015 Сколько времени прошло после фиксации блока? Чем забирает е блок? на момент имплантации 6 мес. забор блока делал линденманом Ссылка на комментарий
orig Опубликовано 29 июля, 2015 Поделиться Опубликовано 29 июля, 2015 Спасибо за ответ. Хорошая работа Ссылка на комментарий
Рекомендуемые сообщения
Для публикации сообщений создайте учётную запись или авторизуйтесь
Вы должны быть пользователем, чтобы оставить комментарий
Создать аккаунт
Зарегистрируйте новый аккаунт в нашем сообществе. Это очень просто!
Регистрация нового пользователяВойти
Уже есть аккаунт? Войти в систему.
Войти