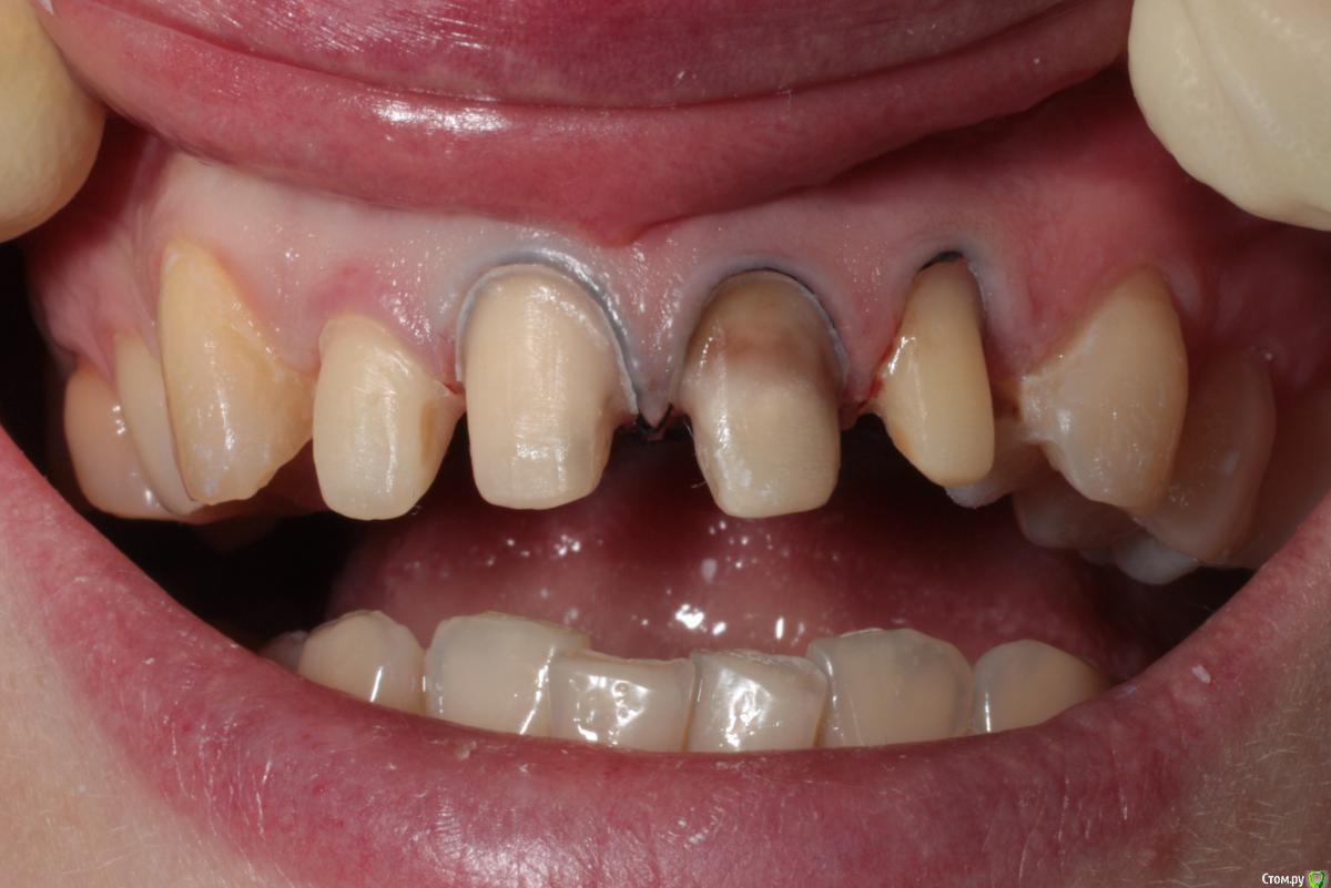
togrul Опубликовано 7 июля, 2015 Поделиться Опубликовано 7 июля, 2015 (изменено) Препарирование зубов фронт + коррекция зенита 1.2 зуба Изменено 7 июля, 2015 пользователем togrul Ссылка на комментарий
molchanoff Опубликовано 7 июля, 2015 Поделиться Опубликовано 7 июля, 2015 это вопрос?12 просится на корр. зенита Ссылка на комментарий
togrul Опубликовано 7 июля, 2015 Автор Поделиться Опубликовано 7 июля, 2015 Я откорректировал уже) Ссылка на комментарий
Rumata Опубликовано 7 июля, 2015 Поделиться Опубликовано 7 июля, 2015 Десну подрезали скальпелем? Какая биоширина получилась? Ориентировались по симметричному зубу, или еще чем-то руководствовались? Ссылка на комментарий
togrul Опубликовано 7 июля, 2015 Автор Поделиться Опубликовано 7 июля, 2015 Да убрали скальпелем. Провели моделировку и по ней убрали. БШ не нарушена. Ссылка на комментарий
faity Опубликовано 7 июля, 2015 Поделиться Опубликовано 7 июля, 2015 по мне, либо надо 1.2 резать, либо к 2.2 пришивать Ссылка на комментарий
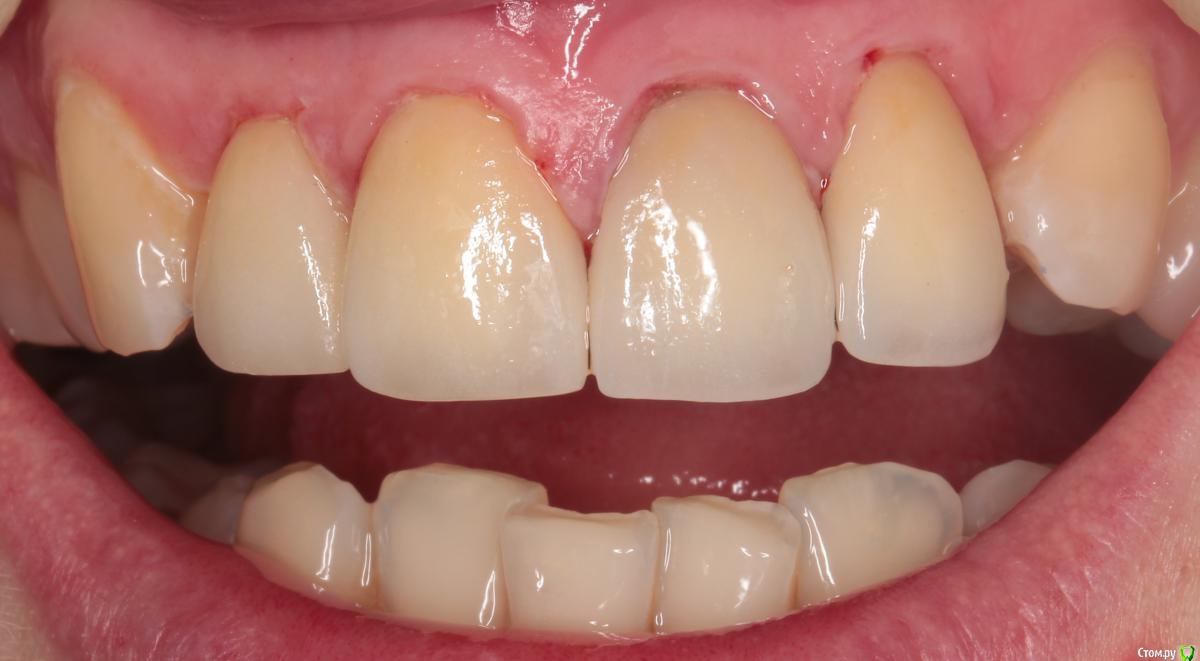
4ebstom Опубликовано 8 июля, 2015 Поделиться Опубликовано 8 июля, 2015 Место бы для сосочков побольше... Спасибо за кейс. Ссылка на комментарий
togrul Опубликовано 8 июля, 2015 Автор Поделиться Опубликовано 8 июля, 2015 Улыбка у пациента не высокая. поэтому обошлись минимум вмешательством. Для сосочков освобожу еще место на этой неделе. А так это неделя после коррекции. Ссылка на комментарий
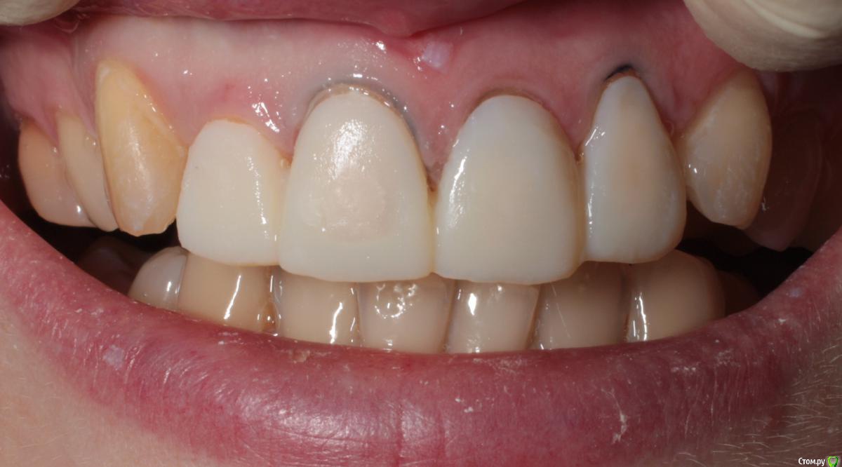
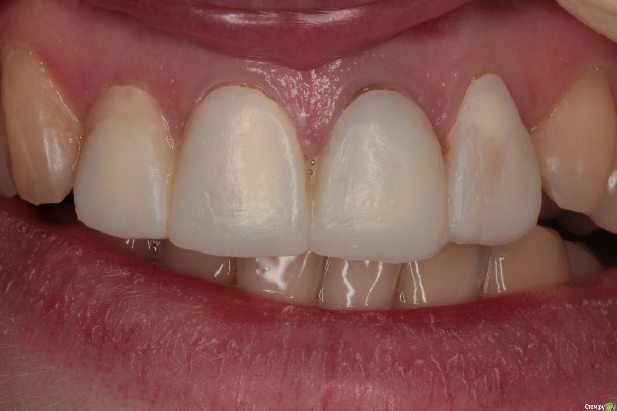
togrul Опубликовано 25 июля, 2015 Автор Поделиться Опубликовано 25 июля, 2015 Сдача работы. 4 Ссылка на комментарий
Doc.IQ Опубликовано 25 июля, 2015 Поделиться Опубликовано 25 июля, 2015 Каким образом проводилось препарирование зубов??Почему спрашиваю,такое ощущение что 11 отпрепарирован по центр.линии,а 21 немного в сторону от 11..может это обман ракурса фото..Как технику отмечали центр.линию??Сколько комплектов вр.коронок изготавливалосьСколько времени прошло с момента препаровки зубов до момента сдачи работыПрофиль десневого края на 22 зубе немного "портит" всю картину,подшить бы его,но это не критично,т.к.улыбка не десневаяЕсли можно выложите фото через неделюА так класс..мне нравится..врачебка и техничка на высоте..Спасибо за кейс.. Ссылка на комментарий
togrul Опубликовано 25 июля, 2015 Автор Поделиться Опубликовано 25 июля, 2015 Спасибо работа средняя так как много недочетов))). А так препарирование было с помощью ключей зубы расположены в разных позициях . Это не сразу было видно. Технику передавался фото всех этапов делал 3 комплекта временных. Слепки через 3 недели после препарирования и коррекции десны. Нужно было 24 переделать визуально в клык тогда было еще лучше ) пациентка отказалась от поастики 22. Ссылка на комментарий
togrul Опубликовано 25 июля, 2015 Автор Поделиться Опубликовано 25 июля, 2015 Обязательно выложу . Ссылка на комментарий
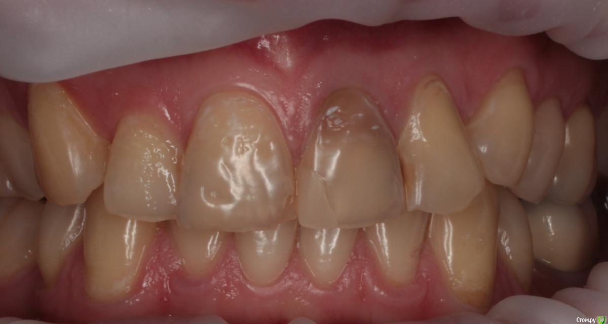
DoctorT Опубликовано 28 июля, 2015 Поделиться Опубликовано 28 июля, 2015 (изменено) Сдача работы. не вижу смысла в таком наложении кофердама, изоляции поля нет, десна вся "торчит", "стринги" между зобов. Слюнка сочиться со всех сторон. Дань моде? Может фумку стоили добавить, края заправить? Изменено 28 июля, 2015 пользователем DoctorT Ссылка на комментарий
Bobby Опубликовано 28 июля, 2015 Поделиться Опубликовано 28 июля, 2015 не вижу смысла в таком наложении кофердама, изоляции поля нет, десна вся "торчит", "стринги" между зобов. Слюнка сочиться со всех сторон. Дань моде? Может фумку стоили добавить, края заправить? Да, есть ряд ошибок в изоляции, но они исправляемы. Главное в правильном направлении док идёт ) Ссылка на комментарий
Bobby Опубликовано 28 июля, 2015 Поделиться Опубликовано 28 июля, 2015 Препарирование зубов фронт + коррекция зенита 1.2 зуба А резекцию кости не делали? Только десну иссекли? Сколько после коррекции десны от нового зенита до кости? Ссылка на комментарий
DoctorT Опубликовано 28 июля, 2015 Поделиться Опубликовано 28 июля, 2015 Да, есть ряд ошибок в изоляции, но они исправляемы. Главное в правильном направлении док идёт ) как всегда дипломатичен))) Ссылка на комментарий
Bobby Опубликовано 28 июля, 2015 Поделиться Опубликовано 28 июля, 2015 как всегда дипломатичен))) Я тоже со стрингов начинал, пока Макс Белоград не посоветовал бить перфорации не по шаблону, а чуть отступив от него ) Ссылка на комментарий
togrul Опубликовано 28 июля, 2015 Автор Поделиться Опубликовано 28 июля, 2015 (изменено) Спасибо за советы учту . Коффердам накладывать начал на препр зубы только поэтому есть ряд ошибок я и не отрицаю . Будем совершенствовать . Десна была закрыта жидким коффером. Я не гонюсь за модой показал рядовую работу. Изменено 28 июля, 2015 пользователем togrul Ссылка на комментарий
togrul Опубликовано 28 июля, 2015 Автор Поделиться Опубликовано 28 июля, 2015 А резекцию кости не делали? Только десну иссекли? Сколько после коррекции десны от нового зенита до кости? Александр спасибо. Убирали только десну . До кости не мерили. После коррекции ждали 2 недели и слепки. Ссылка на комментарий
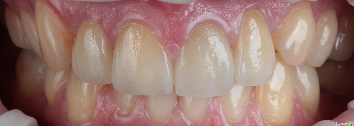
togrul Опубликовано 28 июля, 2015 Автор Поделиться Опубликовано 28 июля, 2015 Фото через неделю после фиксации 8 Ссылка на комментарий
Doc.IQ Опубликовано 28 июля, 2015 Поделиться Опубликовано 28 июля, 2015 Очень хорошо,мне нравится..мда,если бы премоляр перевели в клык,смотрелось бы очень гармонично..Мне кажется или сосочек и десна между 11-21 зубом гипертрофированы??какой-то нездоровый цвет... Ссылка на комментарий
togrul Опубликовано 29 июля, 2015 Автор Поделиться Опубликовано 29 июля, 2015 Спасибо. мне кажется все нормально. буду наблюдать Ссылка на комментарий
Bobby Опубликовано 29 июля, 2015 Поделиться Опубликовано 29 июля, 2015 Симпотно! Через год сделайте фото. Ссылка на комментарий
togrul Опубликовано 29 июля, 2015 Автор Поделиться Опубликовано 29 июля, 2015 Симпотно! Через год сделайте фото. Спасибо. Хорошо. Ссылка на комментарий
conrem Опубликовано 8 августа, 2015 Поделиться Опубликовано 8 августа, 2015 Оень красиво!Спасибо Ссылка на комментарий
Рекомендуемые сообщения
Для публикации сообщений создайте учётную запись или авторизуйтесь
Вы должны быть пользователем, чтобы оставить комментарий
Создать аккаунт
Зарегистрируйте новый аккаунт в нашем сообществе. Это очень просто!
Регистрация нового пользователяВойти
Уже есть аккаунт? Войти в систему.
Войти