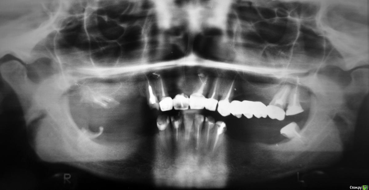
Buuuka Опубликовано 4 июля, 2015 Поделиться Опубликовано 4 июля, 2015 Здравствуйте! Ситуация с зубами плачевная. Нет ни одного зуба, который бы не подвергался лечению. Да и вообще от зубов мало, что осталось. Сверху было 3 мостика. Один отвалился вместе с опорными зубами, которые под ним и разрушились. Тот, что остался слева держится буквально на одном клыке, т.к. второй зуб опорный тоже разрушается. Мостик, естественно, очень сильно шатается. Интересуют вопросы: 1. какие варианты протезирования в такой ситуации ещё возможны (если исключить имплантацию)? 2. Если снять тот мост, который шатается, можно ли спасти те 2 зуба, которые под ним?3. Возможно ли протезирование на телескопических коронках и вообще их установка на такие зубы (если не делать импланты)?4. Возможно ли поставить протез акри-фри? И стоит ли такой ставить вообще?5. Консультировалась у одного ортопеда, он предложил все штифты заменить на более длинные и стекловолоконные и на нижнюю челюсть поставить один сплошной несъёмный мост. Я ошибаюсь, или этот вариант опасен тем, что очень скоро от зубов под таким мостом вообще ничего не останется? Вообще, что ещё есть шанс сделать? Спасибо за внимание. (Уточняю: сломанный правый клык и нижний правый зуб мудрости, от которого отвалилась пломба, восстановлены на данный момент. В них штифты. Восстановлены без гарантии, т.к. на такие зубы гарантию дать невозможно, по словам стоматологов. Всё остальное так и осталось, как на снимке). Снимок: Ссылка на комментарий
Buuuka Опубликовано 12 июля, 2015 Автор Поделиться Опубликовано 12 июля, 2015 Здравствуйте ещё раз. Никто не ответил в теме... У меня случай, в котором уже ничего не сделать? Позавчера сходила к другому ортопеду. Он сказал, что мосты, естественно, надо незамедлительно снимать, т.к. они метало-пластмассовые и отравляют организм и вообще портят оставшиеся зубы и дёсны. Посоветовал сделать 3D снимок. Сказал, что с частью оставшихся зубов надо попрощаться после снятия мостов, в том числе с первым верхним... Неужели и его не сохранить??? Телескопические протезы не советует - говорит, что это всё реклама, а на деле, они тяжелы для зубов и быстро их окончательно разрушат. Бюгель на аттачментах тоже не советует - по той же причине. Разумеется, предложил имплантацию, но, к сожалению, это не мой вариант... Что же остаётся? Только бюгель на кламмерах? Скажите, пожалуйста, что думаете? Можно ли что-то сохранить ещё? Какой протез разумнее выбрать? 3D снимок стоит делать или и без него всё ясно? 1 Ссылка на комментарий
Buuuka Опубликовано 18 июля, 2015 Автор Поделиться Опубликовано 18 июля, 2015 И снова здравствуйте. Сделала 3D снимок. Обнаружилось, что почти везде каналы слишком далеко запломбированы (делалось это всё без рентгена, на глаз...), в одном зубе пломбировочный материал ушёл в гайморову пазуху... Этот зуб советуют удалить по этой причине, хотя он меня не беспокоит.(... Неужели нельзя не удалять? Чем это грозит? Ортопед хочет удалить все оставшиеся 8-ки, оставить только передние зубы сверху и снизу и на все надеть коронки (металлокерамику или цельнокерамические). А уже потом решать, какой съёмный протез ставить. Прокомментируйте такое решение, пожалуйста? Можно ли оставить 8-ки, просто не использовать их в протезировании, но и не удалять? Не знаю, можно ли тут как-то продемонстрировать 3D снимок. Он у меня на диске есть. Всё ещё надеюсь на ваш ответ... Живу в маленьком посёлке и ездить в областной центр мне очень далеко, не хотелось бы ещё и не к тому врачу попасть и не то сделать. Дело в том, что я уже много раз делала всё не так, как надо. Например, лишилась как минимум 4 зубов просто потому что у нас тут в поликлинике нет рентгена, не используются штифты и т.п. и восстанавливать зубы могут только в самых простых случаях... мне просто их вырвали и всё. Попасть в город я на тот момент физически не могла. А о том, что были большие шансы все эти зубы сохранить даже не подозревала. Позже, когда получилось поехать хотя бы в районный центр, я попала в клинику, в которой мне вот так "удачно" всё запломбировали... тоже без снимков, зато с металлическими штифтами, которые теперь мне советуют вытаскивать и менять на стекловолокно. Ссылка на комментарий
doca Опубликовано 19 июля, 2015 Поделиться Опубликовано 19 июля, 2015 И снова здравствуйте. Сделала 3D снимок. Обнаружилось, что почти везде каналы слишком далеко запломбированы (делалось это всё без рентгена, на глаз...), в одном зубе пломбировочный материал ушёл в гайморову пазуху... Этот зуб советуют удалить по этой причине, хотя он меня не беспокоит.(... Неужели нельзя не удалять? Чем это грозит? Ортопед хочет удалить все оставшиеся 8-ки, оставить только передние зубы сверху и снизу и на все надеть коронки (металлокерамику или цельнокерамические). А уже потом решать, какой съёмный протез ставить. Прокомментируйте такое решение, пожалуйста? Можно ли оставить 8-ки, просто не использовать их в протезировании, но и не удалять? Не знаю, можно ли тут как-то продемонстрировать 3D снимок. Он у меня на диске есть. Всё ещё надеюсь на ваш ответ... Живу в маленьком посёлке и ездить в областной центр мне очень далеко, не хотелось бы ещё и не к тому врачу попасть и не то сделать. Дело в том, что я уже много раз делала всё не так, как надо. Например, лишилась как минимум 4 зубов просто потому что у нас тут в поликлинике нет рентгена, не используются штифты и т.п. и восстанавливать зубы могут только в самых простых случаях... мне просто их вырвали и всё. Попасть в город я на тот момент физически не могла. А о том, что были большие шансы все эти зубы сохранить даже не подозревала. Позже, когда получилось поехать хотя бы в районный центр, я попала в клинику, в которой мне вот так "удачно" всё запломбировали... тоже без снимков, зато с металлическими штифтами, которые теперь мне советуют вытаскивать и менять на стекловолокно. Здравствуйте, никто не отвечает, по всей видимости потому, что очень уж неоднозначная ситуация и многое определяется только после очной консультации, снятия коронок ,удаления пораженнных кариесом тканей зубов.Может быть и такое,что все зубы верхней челюсти нужно удалять.А так стандартная схема : удаление того ,что нужно удалять, остальное лечить и восстанавливать коронками.Бюгельные протезы лучше ,чем пластиночные, в вашем случае такой скорее всего только на нижнюю челюсть.В безметалловых коронках в Вашем случае лично я смысла не вижу.,а анкерные штифты менял бы не на стекловолокно ,а на литые внутрикорневые вкладки.(опять же если зубы подлежат сохранению) 1 Ссылка на комментарий
Buuuka Опубликовано 21 июля, 2015 Автор Поделиться Опубликовано 21 июля, 2015 Здравствуйте, никто не отвечает, по всей видимости потому, что очень уж неоднозначная ситуация и многое определяется только после очной консультации, снятия коронок ,удаления пораженнных кариесом тканей зубов.Может быть и такое,что все зубы верхней челюсти нужно удалять.А так стандартная схема : удаление того ,что нужно удалять, остальное лечить и восстанавливать коронками.Бюгельные протезы лучше ,чем пластиночные, в вашем случае такой скорее всего только на нижнюю челюсть.В безметалловых коронках в Вашем случае лично я смысла не вижу.,а анкерные штифты менял бы не на стекловолокно ,а на литые внутрикорневые вкладки.(опять же если зубы подлежат сохранению)Спасибо большое за ответ! Вот Вы говорите, что бюгельные на нижнюю, а на верхнюю тогда что? И почему на верней челюсти все зубы нужно удалять?? Правда ли, что телескопические протезы не мой вариант? Просто в интернете видела фото, где их установили на челюсть всего лишь с 2 уцелевшими передними зубами. Ссылка на комментарий
Buuuka Опубликовано 21 июля, 2015 Автор Поделиться Опубликовано 21 июля, 2015 Ещё такой вопрос: мне надо удалять какие-то зубы. Читала, что при удалении в лунку можно заложить остеопластический материал для того, чтобы кость не атрофировалась. Есть ли в этом смысл в моей ситуации? Ссылка на комментарий
doca Опубликовано 21 июля, 2015 Поделиться Опубликовано 21 июля, 2015 Спасибо большое за ответ! Вот Вы говорите, что бюгельные на нижнюю, а на верхнюю тогда что? И почему на верней челюсти все зубы нужно удалять?? Правда ли, что телескопические протезы не мой вариант? Просто в интернете видела фото, где их установили на челюсть всего лишь с 2 уцелевшими передними зубами. Я говорю, что может быть удалять, а может и нет.Если состояние зубов позволит сделать телескопическую фиксацию протеза -это один из лучших вариантов при съемном протезировании.Важно качественное техническое исполнение такой работы и правильное планирование и подготовка зубов со стороны врача. Ссылка на комментарий
doca Опубликовано 21 июля, 2015 Поделиться Опубликовано 21 июля, 2015 Ещё такой вопрос: мне надо удалять какие-то зубы. Читала, что при удалении в лунку можно заложить остеопластический материал для того, чтобы кость не атрофировалась. Есть ли в этом смысл в моей ситуации?Чаще это применяется перед планируемой имплантацией. Ссылка на комментарий
Buuuka Опубликовано 11 августа, 2015 Автор Поделиться Опубликовано 11 августа, 2015 Buuuka сказал(а) 21 Июл 2015 - 16:37: Ещё такой вопрос: мне надо удалять какие-то зубы. Читала, что при удалении в лунку можно заложить остеопластический материал для того, чтобы кость не атрофировалась. Есть ли в этом смысл в моей ситуации? Чаще это применяется перед планируемой имплантацией. Здравствуйте! Спасибо за ответ.А для того, чтобы просто кость не рассосалась делать это нецелесообразно? Такой вопрос: ортопед хочет снять металлопластмассовые мостики не повредив то, что под ними ещё осталось. Говорит, что ультразвуком нельзя их снять. Это так? Он собирается их чем-то долго распиливать. Ещё говорит, что это может быть больно (хотя нервы удалены) и надо делать анестезию. Нельзя ли без неё снять мостики? Это болезненная процедура? Ссылка на комментарий
M@estro Опубликовано 14 августа, 2015 Поделиться Опубликовано 14 августа, 2015 Здравствуйте! Спасибо за ответ.А для того, чтобы просто кость не рассосалась делать это нецелесообразно? Такой вопрос: ортопед хочет снять металлопластмассовые мостики не повредив то, что под ними ещё осталось. Говорит, что ультразвуком нельзя их снять. Это так? Он собирается их чем-то долго распиливать. Ещё говорит, что это может быть больно (хотя нервы удалены) и надо делать анестезию. Нельзя ли без неё снять мостики? Это болезненная процедура? Ортопед, к которому Вы попали, судя по Вашему описанию - достаточно грамотен. Так вот для Вас есть два пути - либо Вы ему доверитесь, и будете обсуждать вопросы с ним, либо будете каждый раз на форуме каждый раз задавать вопросы типа: "почему доктор посмотрел сегодня на часы дольше, чем обычно, не к потере ли это кости ? " Я могу Вас понять, у Вас "одиссея хождения по врачам", но либо доверие, либо - никак. По Вашей ситуации - надо смотреть очно после снятия всех конструкций. Но ход мыслей ортопеда,по крайней мере в сообщении номер 2 , мне нравится. P.s. Помните, зубы теперь остались последние - и это протезирование будет для них последнее. Иногда и в другой город можно съездить. Ссылка на комментарий
Buuuka Опубликовано 16 августа, 2015 Автор Поделиться Опубликовано 16 августа, 2015 P.s. Помните, зубы теперь остались последние - и это протезирование будет для них последнее. Иногда и в другой город можно съездить. Именно это теперь я и делаю - постоянно катаюсь в другой город... Лишь бы не напрасно. Я могу Вас понять, у Вас "одиссея хождения по врачам", но либо доверие, либо - никак. Вот именно, что я раньше доверялась а, как оказалось, не стоило. Но тогда и спросить было негде. У меня нет необходимых знаний для того, чтобы самостоятельно оценить компетенцию специалиста. Ортопед, к которому Вы попали, судя по Вашему описанию - достаточно грамотен. Спасибо за мнение. Это важно. Ссылка на комментарий
Рекомендуемые сообщения
Для публикации сообщений создайте учётную запись или авторизуйтесь
Вы должны быть пользователем, чтобы оставить комментарий
Создать аккаунт
Зарегистрируйте новый аккаунт в нашем сообществе. Это очень просто!
Регистрация нового пользователяВойти
Уже есть аккаунт? Войти в систему.
Войти