Перейти к содержанию
Стоматология для всех

Проблемы в исправлении зубов брекетами


Klagist

Рекомендуемые сообщения

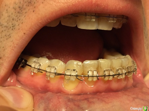
Установлены брекеты - полтора года на верхней челюсти и год на нижней.

Проблема возникает с клыками на нижней челюстью. 

Последние 5 месяцев клыки стали под наклоном и давят на центральные 4 зуба.

4 последних месяца ношу тяги, но ситуация не изменяется. Скорее становится хуже.

Ортодонт исправить не может. 

Подскажите, что можно сделать, чтобы клыки стояли ровно без наклона и не оказывали давления на центральные зубы?

 

post-43804-0-41840000-1435848602_thumb.jpg

post-43804-0-32836700-1435848603_thumb.jpg

post-43804-0-06956600-1435848604_thumb.jpg

Ссылка на комментарий

Для публикации сообщений создайте учётную запись или авторизуйтесь

Вы должны быть пользователем, чтобы оставить комментарий

Создать аккаунт

Зарегистрируйте новый аккаунт в нашем сообществе. Это очень просто!

Регистрация нового пользователя

Войти

Уже есть аккаунт? Войти в систему.

Войти
×
×
  • Создать...
Вверх