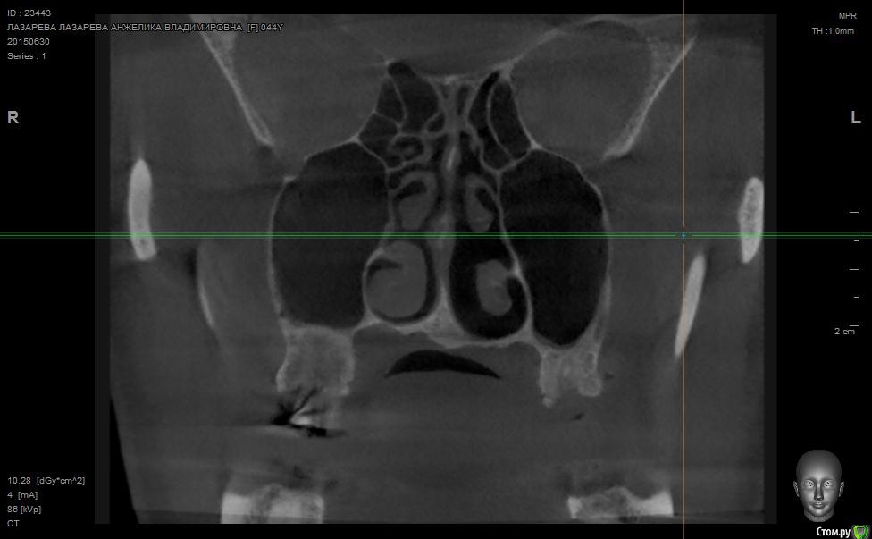
Angelika Опубликовано 2 июля, 2015 Поделиться Опубликовано 2 июля, 2015 Добрый день!Помогите,пожалуйста!!!!!!8 мая имплантолог(!) удалил 2 зуба-27(резерцин-формалиновый) и 28 (нелеченный).Удаление было очень долгим и травматичным,почуяв неладное,хотела убежать прямо из кресла.Последствия-одонтогенный гайморит,не считая незаживающих лунок .В начале июня отлежела в ЧЛХ(антибиотики,физио).26 июня сделала КТ.Нос пришел в норму более-менее,а вот челюсть....((((( Из заключения: 26,27,зубы отсутствуют. В альвеолярном отростке верхней челюсти в области отсутствующего 26 и 27 зуба визуализируется дефект костной ткани размерами до 9,6*14,0*7,2 мм с неровными и нечеткими контурами, с множественными мелкими и крупными секвестрами, с разрушеннымиоральной кортикальной пластинкой альвеолярного отростка верхней челюсти на протяжении до 12,9мм, и вестибулярной замыкательной пластинкой на протяжении до 19,1 мм. Рентгенологическихпризнаков свидетельствующих о наличии свищевого хода, ороантрального соустья - не выявлено,целостность нижней стенки левой верхнечелюстной пазухи полностью восстановлена на всем протяжении. Положительная динамика от 26.05.15г. В альвеолярном отростке, в области корней отсутствующего 28 зуба, определяются нечеткиеконтуры лунки удаленного зуба и единичный фрагмент корня размерами до 1,9*1,7*2,7 мм. В областиотсутствующего 28 зуба и бугра верхней челюсти слева визуализируются единичные мелкие участки остеопороза костной ткани альвеолярного отростка верхней челюсти, в следствие исхода воспалительного процесса. Посоветуйте,пожалуйста,нужно ли удалять обломок корня 28 зуба,если он такой маленький,а лунка уже затянулась.Что мне делать,как это залечить,болит вся челюсть с левой стороны.(((((( О имплантах и забыла уже,восстановиться бы после такой травмы.....Помогите!!! Что делать,как залечить все это?Снимки прилагаю. Ссылка на комментарий
Alejandro Опубликовано 2 июля, 2015 Поделиться Опубликовано 2 июля, 2015 На бумаге страшнее, чем на снимке. Лучший врач для Вас теперь - время. Со временем, кстати, станет понятно: что делать с остатком корня, экстренности пока никакой нет. Успокойтесь, сложные удаления довольно часто встречаются. Очень хорошо, что нет ороантрального сообщения. 2 Ссылка на комментарий
Angelika Опубликовано 2 июля, 2015 Автор Поделиться Опубликовано 2 июля, 2015 На бумаге страшнее, чем на снимке. Лучший врач для Вас теперь - время. Со временем, кстати, станет понятно: что делать с остатком корня, экстренности пока никакой нет. Успокойтесь, сложные удаления довольно часто встречаются. Очень хорошо, что нет ороантрального сообщения.Спасибо,за ободряющие слова,а то я совсем раскисла.....был свищ ороантральный,но он зажил. Ссылка на комментарий
Angelika Опубликовано 2 июля, 2015 Автор Поделиться Опубликовано 2 июля, 2015 а эти мелкие сейвесторы?что с ними делать?кюетаж не делали. Ссылка на комментарий
faity Опубликовано 2 июля, 2015 Поделиться Опубликовано 2 июля, 2015 ничего пока не делать, пусть воспаление полностью пройдёт, через 3-4 недели повторное ОПТГ или КТне переживайте, всё скорее всего будет хорошо 1 Ссылка на комментарий
Angelika Опубликовано 2 июля, 2015 Автор Поделиться Опубликовано 2 июля, 2015 Спасибо за поддержку!))) Ссылка на комментарий
Angelika Опубликовано 4 июля, 2015 Автор Поделиться Опубликовано 4 июля, 2015 Уважаемые доктора!Скажите,пожалуйста,а выявление на кт. секвестеров и разрушения апикальной пластины и кортикальной,вкупе с остеопорозом не является ли признаком остеомиелита?Растолкуйте,пожалуйста!!!!!! Буду очень признательна за ответ. Ссылка на комментарий
Bier Опубликовано 5 июля, 2015 Поделиться Опубликовано 5 июля, 2015 нет. У Вас на рентгене картина свежего удаления. Т.е. в рамках нормы 2 Ссылка на комментарий
Angelika Опубликовано 7 июля, 2015 Автор Поделиться Опубликовано 7 июля, 2015 нет. У Вас на рентгене картина свежего удаления. Т.е. в рамках нормы[/quoe] КТ свежее,удаление 2месяца назад ,скажите,пожалуйста,как долго будет происходить заживление? И робко так(после такого удаления,а попросту травмы(((((( ) хочется спросить про протезирование.... Ссылка на комментарий
Bier Опубликовано 7 июля, 2015 Поделиться Опубликовано 7 июля, 2015 думаю, что проблем там нет. На снимке все не так плохо, как в описании. Все хорошо будет. Ссылка на комментарий
Рекомендуемые сообщения
Для публикации сообщений создайте учётную запись или авторизуйтесь
Вы должны быть пользователем, чтобы оставить комментарий
Создать аккаунт
Зарегистрируйте новый аккаунт в нашем сообществе. Это очень просто!
Регистрация нового пользователяВойти
Уже есть аккаунт? Войти в систему.
Войти