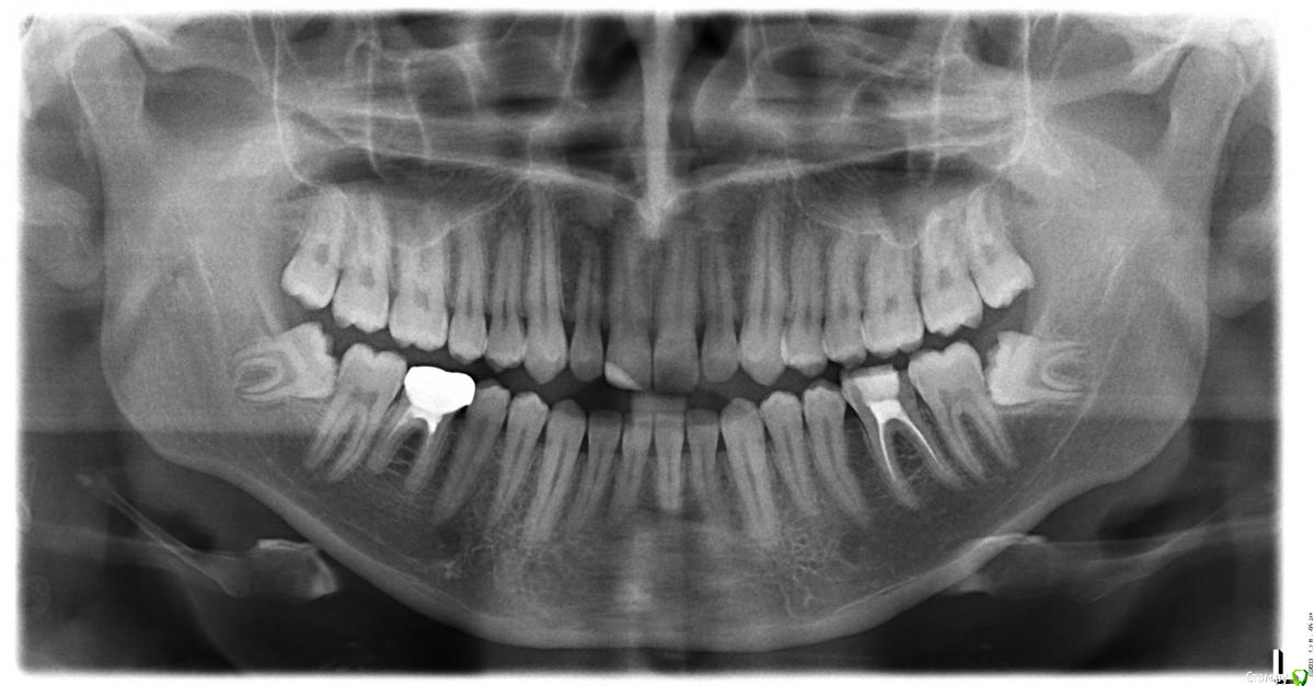
Дмитрий13 Опубликовано 29 июня, 2015 Поделиться Опубликовано 29 июня, 2015 Здравствуйте, уважаемые доктора!Сделал панорамный снимок. Буду признателен, если вы подскажете, какие зубы нуждаются во внимании.Спасибо! Ссылка на комментарий
4ebstom Опубликовано 29 июня, 2015 Поделиться Опубликовано 29 июня, 2015 Все зубы нуждаются во внимании 1 Ссылка на комментарий
AlexanderGudkov Опубликовано 29 июня, 2015 Поделиться Опубликовано 29 июня, 2015 Зубы мудрости нуждаются в внимании хирурга) Ссылка на комментарий
red_butler Опубликовано 29 июня, 2015 Поделиться Опубликовано 29 июня, 2015 Мудрые зубы удалять, снимать коронку с 4.6. Перелечивать и протезировать 3.6 4.6 Ссылка на комментарий
Рекомендуемые сообщения
Для публикации сообщений создайте учётную запись или авторизуйтесь
Вы должны быть пользователем, чтобы оставить комментарий
Создать аккаунт
Зарегистрируйте новый аккаунт в нашем сообществе. Это очень просто!
Регистрация нового пользователяВойти
Уже есть аккаунт? Войти в систему.
Войти