opp8000 Опубликовано 27 июня, 2015 Поделиться Опубликовано 27 июня, 2015 (изменено) Здравствуйте встал вопрос о коронках на 2 передних единички, 1 была живая но пломба 20%, вторая нерва нет лет 16 потемневший пломба 60%, зубы функции выполняли норм, но эстетика хромала, установили штифты и сделали временные пластмассовые коронки,тут и началось:Изначально толщина задней стенки мне очень мешала, дикция стала ужасной не могу договорить звуки нормально язык упирался и все, при разговоре задевал нижними за заднюю стенку коронок при родных только кончиков передних зубов нижними касался и не было дискофта никакого, + до нервов неприятное ощущение что зубы выпирают внутрь, хотелось вырвать временные коронки просто.После поговорил с врачом, он подпилил стенку зубов сзади стало лучше, но дикция не стала как раньше, врач говорит надо привыкнуть я говорю что тут анатомия задней стенки мне просто не дает говорить нормально, походил еще день, снова обратился к нему, он подпилил до самых штифтов и мне стало заметно легче, никакого шепелявства, дикция как была ранее, единственное что раздражает штифты выпирают немного не комфортно на ощупь языком, вот после, он решил под шлифовать немного штифты, но дискомфорт остается штифты также мешают, сняли корректировочный слепок, теперь я боюсь как будут окончательные коронки, ведь тут спилена сильно задняя стенка видно по фото, в окончательных так не сделать, ощущение что штифты бы немного вперед двинуть и была бы радость, они бы не упирались внутрь. Врач говорит как родной сделать нельзя, мне бы просто до комфортного уровня сделатьСкажите все ли сделано грамотно? Являются ли мои страхи и дискомфорт обоснованными? Испытывали ли Ваши пациенты подобные неудобства?Коронки из оксида циркония.Не знал что будет такой дискомфорт и что все так сложно, думал как родные будут по форме сзадиPS одна коронка слетела поэтому так сфоткал Изменено 27 июня, 2015 пользователем opp8000 Ссылка на комментарий
opp8000 Опубликовано 28 июня, 2015 Автор Поделиться Опубликовано 28 июня, 2015 Фото временной коронки Ссылка на комментарий
opp8000 Опубликовано 29 июня, 2015 Автор Поделиться Опубликовано 29 июня, 2015 (изменено) Может ли такое быть что врач установил штифты немного с углом во внутрь и из-за этого все проблемы? Это возможно исправить? Пока что самое начало лечения Изменено 29 июня, 2015 пользователем opp8000 Ссылка на комментарий
Гарриевич Опубликовано 29 июня, 2015 Поделиться Опубликовано 29 июня, 2015 На мой взгляд слишком сильно отпрепарирован зубЕсть фото до лечения? 1 Ссылка на комментарий
opp8000 Опубликовано 29 июня, 2015 Автор Поделиться Опубликовано 29 июня, 2015 (изменено) Пытаюсь найти фото не подумал сразу сохранить, по форме похожи на временные только более правильной формы к корню, попробую поискать, подскажите чем теперь это грозит Изменено 29 июня, 2015 пользователем opp8000 Ссылка на комментарий
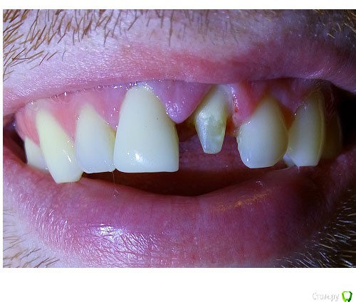
opp8000 Опубликовано 29 июня, 2015 Автор Поделиться Опубликовано 29 июня, 2015 Фото без временных сегодня выпала вторая Ссылка на комментарий
opp8000 Опубликовано 29 июня, 2015 Автор Поделиться Опубликовано 29 июня, 2015 (изменено) Если нужен снимок то скажите поеду сделаюДорогие врачи прошу Вас оставить свои мнения мне очень важно Вас услышать, спасибо большое каждому кто ответит Изменено 29 июня, 2015 пользователем opp8000 Ссылка на комментарий
opp8000 Опубликовано 30 июня, 2015 Автор Поделиться Опубликовано 30 июня, 2015 К сожалению не найду фото до, схематично обрисовал как было визуально видно пломбы на передних зубах (сколько места они занимали) , передние зубы были немного кривоваты, зеленый зуб "находил" на синий, красным отмечены пломбы, у синего зуба задняя стенка вся пломба, виниры поэтому на него не ставили только коронку говорили Ссылка на комментарий
opp8000 Опубликовано 8 июля, 2015 Автор Поделиться Опубликовано 8 июля, 2015 (изменено) В общем на примерке я сказал врачу что цоканье при разговоре и меняется дикция, сходил к другому ортопеду который сказал что культи не правильно отпрепарированы и возможно направлены внутрь от этого все проблемы, сказал что придется извлекать штифты и ставить культевые вкладки, а эта процедура как я вычитал весьма травматична и грозит потерей зуба, довериться теперь набум не могу, теперь я ищу врача который смог бы мне помочь, вот так вот, ищу и в Самаре и в Москве (готов приехать) если есть специалисты которые возьмутся за мой случай я рад, прошу помочь Изменено 8 июля, 2015 пользователем opp8000 Ссылка на комментарий
Рекомендуемые сообщения
Для публикации сообщений создайте учётную запись или авторизуйтесь
Вы должны быть пользователем, чтобы оставить комментарий
Создать аккаунт
Зарегистрируйте новый аккаунт в нашем сообществе. Это очень просто!
Регистрация нового пользователяВойти
Уже есть аккаунт? Войти в систему.
Войти