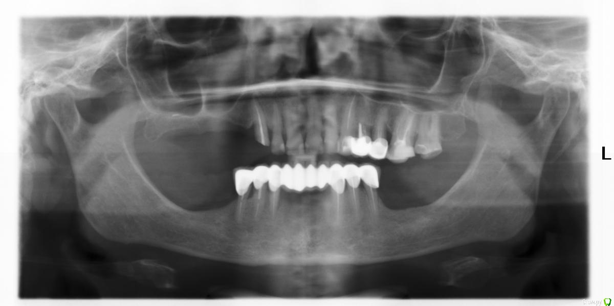
Bratok Опубликовано 26 июня, 2015 Поделиться Опубликовано 26 июня, 2015 (изменено) Коллеги случай не простой, помогите с планом лечения..Пациента интересуют верхние зубы. Внизу есть съемный с ацеталовыми кламерами типа квадротти. Вот как я вижу ее реабилитацию:Верхние зубы 2.4,2.5,2.6 диагностич.преп и либо ревизия либо удаление.У пациента еще запрос на эстетику фронтальных зубов, от металлокерамики отказывается..E.max дорого.. Может преттау?Что бы вы сделали с 1.3, удаление ? Имплантация не рассматривается..(она тут вообще возможна? Особенно нижние) После ревизии и покрытия зубов коронками (все верхние зубы)Бюгельный протез: как на фото с рисунком.. Либо дуга будет идти по всем зубам, не через небо Изменено 26 июня, 2015 пользователем Bratok Ссылка на комментарий
Bratok Опубликовано 27 июня, 2015 Автор Поделиться Опубликовано 27 июня, 2015 Клык здесь был под коронкой (1.3 зуб)..очень агрессивный преп.. Хотя феррул есть..но смущает ситуация на оптг.. Ссылка на комментарий
Ivanov_dentist Опубликовано 27 июня, 2015 Поделиться Опубликовано 27 июня, 2015 Выдвину на суд коллег свой план:1. Удалить 1.3, 2.4, 2.52. Определение ЦС - воск, терапевтическая подготовка3. 1.2-2.2 - Е.макс или диоксид, 1.3- 2.6,2.7 - МК с балкой 4 Бюгельный протез на ВЧ с элементом пелота в области 1.2 PS это только мое предложение, выслушаю советы если есть ошибки моего плана. Ссылка на комментарий
Ivanov_dentist Опубликовано 27 июня, 2015 Поделиться Опубликовано 27 июня, 2015 Напрягает атрофия кости именно в области протезированных зубов на верхней челюсти. Ссылка на комментарий
Bratok Опубликовано 27 июня, 2015 Автор Поделиться Опубликовано 27 июня, 2015 Не хочет она мк.. Мост на дц вместо балки не пойдет? 1.3 тоже думаю что удаление, тк там будет клмер.. Ссылка на комментарий
Ivanov_dentist Опубликовано 29 июня, 2015 Поделиться Опубликовано 29 июня, 2015 Не хочет она мк.. Мост на дц вместо балки не пойдет? 1.3 тоже думаю что удаление, тк там будет клмер..Я стараюсь не превращать 2 сторонний дефект в односторонний если планируется съемное протезирование. 1 Ссылка на комментарий
Доктор Дмитрий Опубликовано 29 июня, 2015 Поделиться Опубликовано 29 июня, 2015 А почему имплантация не рассматривается? Ссылка на комментарий
Bratok Опубликовано 29 июня, 2015 Автор Поделиться Опубликовано 29 июня, 2015 состояние костной ткание не позволяет Ссылка на комментарий
Рекомендуемые сообщения
Для публикации сообщений создайте учётную запись или авторизуйтесь
Вы должны быть пользователем, чтобы оставить комментарий
Создать аккаунт
Зарегистрируйте новый аккаунт в нашем сообществе. Это очень просто!
Регистрация нового пользователяВойти
Уже есть аккаунт? Войти в систему.
Войти