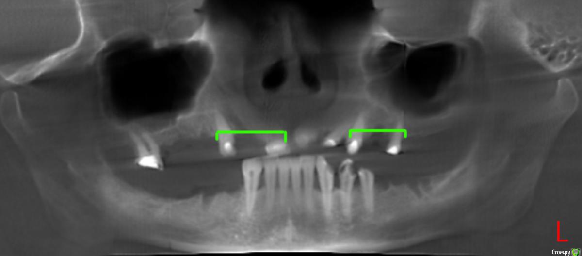
Ксени_Я Опубликовано 26 июня, 2015 Поделиться Опубликовано 26 июня, 2015 Добрый день.Уважаемые врачи, хотелось бы слышать Ваше мнение. Сделала КТ, к доктору идти через два дня.Хочется понимать, что меня ожидает и какой план лечения (а так же очерёдность что за чем делать). А именно:1. Правильно ли я понимаю, сперва пролечить все зубы и только потом имплантация или бюгельные протезы?Можно ли начать установку имплантов в процессе лечения других зубов (смущает, но один доктор говорил, что можно). 2. ВЕРХ. Лечение и протезирование. Насколько я понимаю там коронки и мосты. Или установить сплошной мост. 3. НИЗ. Была у доктора, но без снимка. Переложил обточить и поставить сплошные коронки. Что лучше сплошные или раздельные? 4. Можно ли в моём случае устанавливать импланты— если да то сколько?— нужно ли наращивать кость? Снимок прикрепила, если нужны дополнительные — не вопрос.Очень прошу, не оставьте вопросы без ответа и заранее благодарна)) Ссылка на комментарий
Bier Опубликовано 26 июня, 2015 Поделиться Опубликовано 26 июня, 2015 Снимок у Вас не очень хорошо сделан.1. понимаете не правильно, сначала план лечения, потом все остальное. Верх - никаких сплошных мостов. Возможно даже тотальное удаление и имплантация. Потребуется синуслифтинг. Низ - а зачем там вообще коронки, часть зубов интактные. В любом случае раздельные. В боковых отделах имплантаты. Ссылка на комментарий
Ксени_Я Опубликовано 26 июня, 2015 Автор Поделиться Опубликовано 26 июня, 2015 Bier, спасибо что отозвались))Может я не правильно выразилась. Насколько я понимаю, надо полечить каналы, поставить коронки и т.д, и только после устанавливать импланты? Может снимок и правда не очень. Сделали КТ там целая программа и вряд ли получится её сюда загрузить. ВЕРХ, возможно на снимке плохо видно. Месяц, как лечу зубы, на данный момент доктор сделала удаление и верхние подготовила под коронки. Насколько я поняла там где нет по одному зубу можно мост? Но эта доктор не занимается имплантацией, поэтому через два дня иду к имплантологу и хочется понимать, что меня ожидает. НИЗ, опять таки может плохой снимок. Да, там так сказать живые зубы, но не ровные и один выходит сильно вперёд и на нём десна опушена. Доктор говорит, что они счёсаны. Хочется красоты, поэтому и вопрос, не будут ли на них вредны коронки? Если не сложно, ответьте ещё пожалуйста, на три вопроса, которые я выделила)) Ссылка на комментарий
Bier Опубликовано 26 июня, 2015 Поделиться Опубликовано 26 июня, 2015 Bier, спасибо что отозвались))Может я не правильно выразилась. Насколько я понимаю, надо полечить каналы, поставить коронки и т.д, и только после устанавливать импланты? Может снимок и правда не очень. Сделали КТ там целая программа и вряд ли получится её сюда загрузить. ВЕРХ, возможно на снимке плохо видно. Месяц, как лечу зубы, на данный момент доктор сделала удаление и верхние подготовила под коронки. Насколько я поняла там где нет по одному зубу можно мост? Но эта доктор не занимается имплантацией, поэтому через два дня иду к имплантологу и хочется понимать, что меня ожидает. НИЗ, опять таки может плохой снимок. Да, там так сказать живые зубы, но не ровные и один выходит сильно вперёд и на нём десна опушена. Доктор говорит, что они счёсаны. Хочется красоты, поэтому и вопрос, не будут ли на них вредны коронки? Если не сложно, ответьте ещё пожалуйста, на три вопроса, которые я выделила))неправильно понимаете. Надо сначала составить план лечения, а потом ему следовать. А сейчас вы лечите зубы, которые возможно целесообразнее удалить.Последний вопрос не понял. Ссылка на комментарий
Ксени_Я Опубликовано 26 июня, 2015 Автор Поделиться Опубликовано 26 июня, 2015 (изменено) сначала составить план лечения Bier, может я не правильно изъясняюсь. Именно о плане я спросила в первом сообщении. Меня интересует поочерёдность (что за чем делать) В моём понимании алан следующий:1. Ели нужно удаление2. Лечение каналов3. Протезирование коронками3. ИмплантацияИли я опять не поняла о каком именно плане вы говорите? Последний вопрос не понял. Если на нижние зубы, которые остались, установить коронки не будет ли это вредно? Коронки на них желательны, потому что один выходит сильно вперёд и на нём десна опущена. Доктор говорит, что все нижние зубы счёсаны. Изменено 26 июня, 2015 пользователем Ксени_Я Ссылка на комментарий
Bier Опубликовано 26 июня, 2015 Поделиться Опубликовано 26 июня, 2015 Bier, может я не правильно изъясняюсь. Именно о плане я спросила в первом сообщении. Меня интересует поочерёдность (что за чем делать) В моём понимании алан следующий:1. Ели нужно удаление2. Лечение каналов3. Протезирование коронками3. ИмплантацияИли я опять не поняла о каком именно плане вы говорите? Если на нижние зубы, которые остались, установить коронки не будет ли это вредно? Коронки на них желательны, потому что один выходит сильно вперёд и на нём десна опущена. Доктор говорит, что все нижние зубы счёсаны.я говорю об окончательном плане. Должна быть утверждена окончательная конструкция. Пока не придумали как будете протезироваться -ничего делать нельзя.а когда придумаете, станет все ясно, что зачем делать. Если сделать коронки/виниры из безметалловой керамики с минимальной обработкой на живые зубы - будет хорошо. Разумеется эти коронки раздельные. Ссылка на комментарий
Alejandro Опубликовано 27 июня, 2015 Поделиться Опубликовано 27 июня, 2015 Если вы задумались об имплантации, то почему до сих пор не обратились к доктору, который ей занимается? Он Вам выберет конструкцию будущего протеза и составит план лечения, и будете уже лечить и удалять в соответствии с этим планом. Не трогайте ни одного зуба без такого плана! 1 Ссылка на комментарий
Ксени_Я Опубликовано 27 июня, 2015 Автор Поделиться Опубликовано 27 июня, 2015 (изменено) Bier и Alejandro, спасибо за ответы.Внесу ясность. Я начала лечить зубы. На верхней и нижней челюсти были удалены "плохие" зубы. Во всех верхних были пролечены каналы и установлены временные пломбы. Про низ доктор сказала, что зубы здоровые, там только пару пломб и две коронки. Хотя нижние зубы мне не нравятся, они неровные, в одном из них опущена десна и он немного пошатывается. Повторяю, доктор их исправить отказывается. Т.к. она не устанавливает импланы и на начало лечения я не была к ним готова, доктор предложила бюгельные протезы и объяснила, что если я захочу импланты, в любой момент ними можно заменить протезы. Т.е. вы понимаете, что план лечения есть. На данный момент доктор болеет и я имею то, что вы видите на снимке. ------------------------------------------------------------------------------------------------------------------------------------------- Пока доктор болеет, я поехала на консультацию к доктору, который устанавливает импланты и сделала КТ. Завтра иду на консультацию. Но поскольку я была у него до КТ, по нижним, он сказал что можно установить на передние (восемь штук) сплошные коронки. 1. Соответственно вытекает вопрос делать сплошные или раздельные? 2. И естественно сколько импантов на нижнюю челюсть? Это что касается НИЗА. ВЕРХ. Поскольку там под коронки уже подготовлено меня интересует, как правильно устанавливать их. Насколько я понимаю:3. Там где нет по одному зубу мост на три зуба? Схематически на снимке обвела куда мост на три зуба, а остальные починочные. Так?4. А также интересует, сколько нужно имплантов на верхней челюсти? Всего четыре вопроса, если можно так же по пунктах на них ответьте)) Изменено 27 июня, 2015 пользователем Ксени_Я Ссылка на комментарий
Ксени_Я Опубликовано 28 июня, 2015 Автор Поделиться Опубликовано 28 июня, 2015 Совсем все пропали Ссылка на комментарий
Bier Опубликовано 28 июня, 2015 Поделиться Опубликовано 28 июня, 2015 1. В том виде, что Вам предлагают я бы вообще ничего не делал2. хватит 4х3. Про верх: ерунда получится. Там надо подумать по серьезнее, возможно моделировку сделать. Потом только решение принимать.4. Если все зубы удалить, то 6-8. А пока ничего не ясно. Ссылка на комментарий
Ксени_Я Опубликовано 29 июня, 2015 Автор Поделиться Опубликовано 29 июня, 2015 (изменено) Bier, спасибо)), я поняла ход ваших мыслей. Скажите наращивание кости внизу надо? Возможна установка имплантов во время синус лифтинга? Была у доктора. Он предложил: Верх: установить два моста на 3шт. и 5шт. + по бокам импанты и на семёрку коронку.Низ: сплошные коронки на 8 передних зубов + по бокам ипланты. Верно или вы бы порекомендовали по другому? Изменено 29 июня, 2015 пользователем Ксени_Я Ссылка на комментарий
Bier Опубликовано 29 июня, 2015 Поделиться Опубликовано 29 июня, 2015 мне такой план не нравится, я бы консультировался еще. Ссылка на комментарий
Alejandro Опубликовано 29 июня, 2015 Поделиться Опубликовано 29 июня, 2015 Хотелось бы узнать Ваш возраст и наличие хронических заболеваний.По плану:1. Пока не делал бы никакие коронки на нижние зубы. 2. 4-5 имплантатов.3. Не совсем понятно положение зубов, согласен с коллегой по моделировке.4. Смотрите предыдущий ответ.Ещё вопрос: Вы наблюдались у пародонтолога? Ссылка на комментарий
Ксени_Я Опубликовано 1 июля, 2015 Автор Поделиться Опубликовано 1 июля, 2015 (изменено) Bier и Alejandro, спасибо за ответы.Говорите консультироваться ещё.Была у двух врачей. 1. вариант.ВЕРХ коронки и мосты.НИЗ, пару пломб. Несколько своих зубов не трогать. На низ и верх бюгельные протезы, т.к. доктор не делает имплантацию и/или не может порекомендовать имплантолога. 2. вариант.ВЕРХ мосты 3 + 5 + 1 коронка + импланты по бокам.НИЗ сплошные коронки на 8-мь зубов + импланты по бокам. Во втором варианте доктор объясняет сплошные коронки для низа, тем, что в области нижних зубов мало костной ткани. Да и в верху и внизу зубы немного подвижны. То есть сплошными коронками сделать шинирование. Как по-мне, второй вариант лучше, т.к. нижние зубы внешне мне не нравятся, а с коронками они будут выглядеть эстетично... может я что-то не понимаю?)) Bier, вы говорите консультироваться дальше. А не могли бы вы написать свой план лечения?)) Alejandro, если и вы напишите, какой план лечения предлагаете, тоже буду благодарна)) Изменено 1 июля, 2015 пользователем Ксени_Я Ссылка на комментарий
Bier Опубликовано 1 июля, 2015 Поделиться Опубликовано 1 июля, 2015 Ксения, в каком Вы городе? Вам предлагают мягко говоря очень устаревшие планы. Слитные коронки - это на 95% - металлокерамика с депульпированием всех зубов. Не вижу смысла в шинировании этих зубов. На верхней челюсти у Вас разъехались зубы и если соединить их мостами - зубы получатся непропорциональными. Мы Вам пишем, что первое, что необходимо сделать в Вашем случае - это провести моделирование. Т.е. снять слепки, изготовить модели, на модели техник должен смоделировать зубы из воска и посмотреть что вообще получается. + мне не нравится состояние зубов верхней челюсти (почему Вам и писали, что не надо их лечить, а надо сначала иметь план протезирования воплощенный в воске) возможно лучше их удалить и поставить имплантаты и сделать уже мосты на имплантатах с правильными пропорциями зубов. Ссылка на комментарий
Ксени_Я Опубликовано 1 июля, 2015 Автор Поделиться Опубликовано 1 июля, 2015 Bier, зубы подвижные и внизу мало костной ткани, этим и объясняется надобность в шинировании. А также доктор говорит, что сплошными коронками получится немного исправить прикус. Мдя... о модели из воска только от вас услышала. Ссылка на комментарий
Bier Опубликовано 1 июля, 2015 Поделиться Опубликовано 1 июля, 2015 Ксения - это все слова, без моделей тут ничего не решить. Шинирование затруднит гигиену и вызовет бОльшее воспаление и разрушение костной ткани. Вопрос о целесообразности шинирования должен решать грамотный пародонтолог. Ссылка на комментарий
Ксени_Я Опубликовано 2 июля, 2015 Автор Поделиться Опубликовано 2 июля, 2015 (изменено) Bier, но в любом же случае, зубы надо восстанавливать. По сути варианта два: удалить по максимуму и установить импланты. Оставить свои и добавить импланты. Разница этих двух лечений только в цене. А пока шинирование продлит жизнь тем зубам что есть. Изменено 2 июля, 2015 пользователем Ксени_Я Ссылка на комментарий
Bier Опубликовано 2 июля, 2015 Поделиться Опубликовано 2 июля, 2015 Ксения, я понял, что Вы знаете стоматологию лучше меня. Удачи в лечении. 4 Ссылка на комментарий
Ксени_Я Опубликовано 5 июля, 2015 Автор Поделиться Опубликовано 5 июля, 2015 (изменено) Ксения, я понял, что Вы знаете стоматологию лучше меня. Удачи в лечении. С вами консультируюсь и советуюсь, а вы отвечаете в подобном тоне. Спасибо, что не встретила вас, как стоматолога, в реале))Но видимо вы правы, судя из ваших ответов и их количества на этом форуме и и на вашем сайте, чётко можно понять, что да, вы начитаны, но имеете совсем не большую практику. Хоть бы на своём сайте для приличия показали картинки ДО и ПОСЛЕ. Разговор окончен. Всего хорошего)) Изменено 5 июля, 2015 пользователем Ксени_Я 5 Ссылка на комментарий
ПалСаныч Опубликовано 5 июля, 2015 Поделиться Опубликовано 5 июля, 2015 Фига се поворот!!!! Ссылка на комментарий
kriokov Опубликовано 5 июля, 2015 Поделиться Опубликовано 5 июля, 2015 Фига се поворот!!!!Весна затянулась 3 Ссылка на комментарий
Рекомендуемые сообщения
Для публикации сообщений создайте учётную запись или авторизуйтесь
Вы должны быть пользователем, чтобы оставить комментарий
Создать аккаунт
Зарегистрируйте новый аккаунт в нашем сообществе. Это очень просто!
Регистрация нового пользователяВойти
Уже есть аккаунт? Войти в систему.
Войти