Garotta Опубликовано 25 июня, 2015 Поделиться Опубликовано 25 июня, 2015 (изменено) Здравствуйте! Прошу совета по такой проблеме: год назад начала эпопею с имлантацией. По плану нужно было установить 7 имплантов. Первый был установлен одномоментно с удалением зуба (верхняя правая 7-ка) - выпал через месяц без болей и воспалений. Повторно установлен через 1,5 мес, прижился. Далее проведен синус-лифтинг, установлен имплант верхняя правая 5-ка. Простоял 6 мес, воспалился за 2 дня, был удален. Установлен повторно, пока стоит. С левой стороны верх прошел без таких приключений: синус-лифтинг и установка имплантов 6-ка и 7-ка. В октябре 2014 г в одно посещение удалены левые нижние 5-ка и 7-ка с одномоментной установкой имплантов. 7-ка прижилась, 5-ка в январе 2015г воспалилась и выпала. Установлена повторно в мае, пока стоит, но начинает побаливать. В ноябре 2014 установлен имплант на место отсутствующей пару лет нижней правой 6-ки. Стоял хорошо, не беспокоил, не качался. На днях воспалился буквально за 2 дня, сегодня был удален. Вопрос: как сделать так ,чтобы данная ситуация перестала быть бесконечной? Возможно, надо пройти какие то обследования? Пока по анализам крови остеопороза, проблем с щитовидкой или сахарного диабета не выявлено. Буду благодарна за любые советы. Снимки пока не выкладываю - все равно на любом из них картина будет неактуальна. Изменено 25 июня, 2015 пользователем Garotta Ссылка на комментарий
Bier Опубликовано 25 июня, 2015 Поделиться Опубликовано 25 июня, 2015 возможно имплантаты не приживались по объективным причинам, а Вы нам дали только субъективные. По этому либо снимки до/после либо тема будет закрыта. Ссылка на комментарий
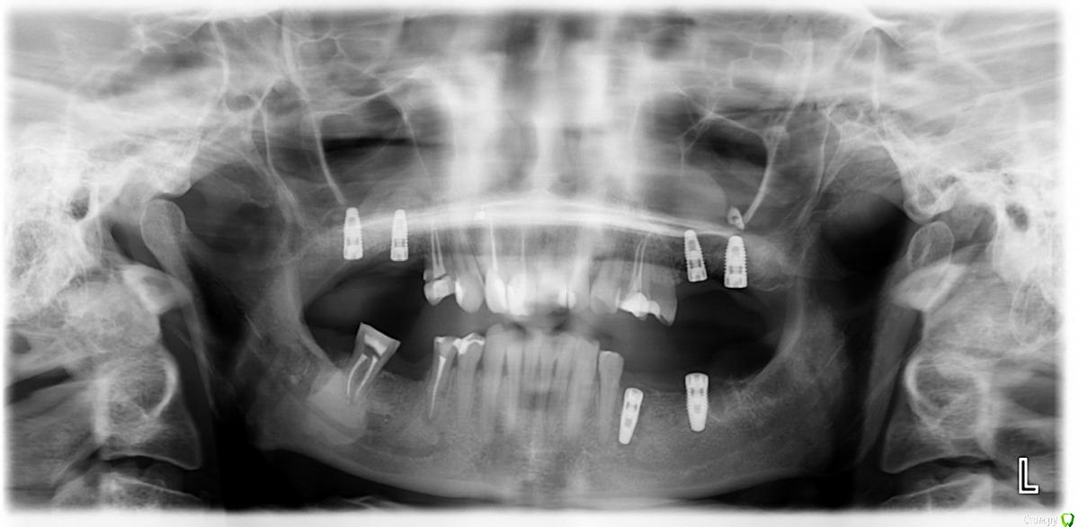
Garotta Опубликовано 25 июня, 2015 Автор Поделиться Опубликовано 25 июня, 2015 Мне казалось, что причин как раз я никаких не называю, я их пытаюсь найти.А ортопантограмму прямо сейчас я выкладываю промежуточную: из представленных имплантов два уже переустановлены, а один на тот момент (который удалили сегодня) еще не был установлен. Ссылка на комментарий
Bier Опубликовано 26 июня, 2015 Поделиться Опубликовано 26 июня, 2015 Спасибо, снимка достаточно. Все ясно. Врача поменяйте. 2 Ссылка на комментарий
Garotta Опубликовано 26 июня, 2015 Автор Поделиться Опубликовано 26 июня, 2015 Дополнительно выкладываю срез КТ от 08.01.2015. Шестерке остается жить 5,5 мес. Пятерке - меньше месяца. Импланты Nobelпотерянная шестерка.pdfпотерянная пятерка.pdf Ссылка на комментарий
Bier Опубликовано 26 июня, 2015 Поделиться Опубликовано 26 июня, 2015 комментарий тот же Ссылка на комментарий
Garotta Опубликовано 28 июня, 2015 Автор Поделиться Опубликовано 28 июня, 2015 (изменено) Наверное Вы правы, тем более, что сегодня утром я сама вынула очередной имплант, повторно установленный 15 мая в нижнюю левую 5-ку, который сам за одну ночь вышел из десны наполовину. Хотя, мне кажется, что какие то дополнительные обследования не помешают, например, на аллергию или аутоимунные заболевания. Что думаете? Изменено 28 июня, 2015 пользователем Garotta Ссылка на комментарий
Bier Опубликовано 28 июня, 2015 Поделиться Опубликовано 28 июня, 2015 нет таких анализов, которые с уверенностью говорили бы нам приживутся имплантаты или нет. Ссылка на комментарий
Рекомендуемые сообщения
Для публикации сообщений создайте учётную запись или авторизуйтесь
Вы должны быть пользователем, чтобы оставить комментарий
Создать аккаунт
Зарегистрируйте новый аккаунт в нашем сообществе. Это очень просто!
Регистрация нового пользователяВойти
Уже есть аккаунт? Войти в систему.
Войти