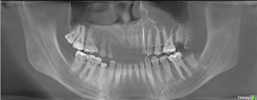
veraprok Опубликовано 25 июня, 2015 Поделиться Опубликовано 25 июня, 2015 У сына зубы разрушаются безболезненно. При этом на зубах какие-то белые "шапочки", которые видны на снимках, которые я прикрепила к сообщению.Зуб разрушается так, как будто кто-то снимает с него всю эмаль, оставляя только то, что в середине.Один только раз у него была боль, но болел висок, и он обращался к невропатологу, и его лечили от невралгии лицевого нерва, а это был зуб верхней челюси, когда его пролечили, боль прошла.Но во всех остальных случаях он не замечает разрушения зубов, так как зуб может быть разрушен до основания, но не болит.У него проблемы со щитовидной железой. Не знаю, влияет ли это, но на всякий случай сообщаю.Что это и как с этим бороться? Потому что разрушение всех зубов идет быстрыми темпами., и я боюсь, что он потеряет все зубы. Ссылка на комментарий
faity Опубликовано 25 июня, 2015 Поделиться Опубликовано 25 июня, 2015 белые шапочки на снимках это и есть эмаль, при болезнях щитовидной железы бывают проблемы с зубами,но это индивидуально. не надо ждать пока заболят зубы, посещайте стоматолога раз в полгода или чаще, делайте диагностические снимки и обследования, и брекеты поставьте. тогда и сустав перестанет болеть и зубы крошиться, гипернагрузка это плохо Ссылка на комментарий
veraprok Опубликовано 25 июня, 2015 Автор Поделиться Опубликовано 25 июня, 2015 Да нет же, я такого никогда не видела - чтобы эмаль была нестественно белого цвета! Причем, если зуб "помечен" такой шапочкой, но еще не начал разрушаться - это уже как метка, что очень скоро разрушится.Извините, я ждала конструктивного ответа, а не общих слов. Ссылка на комментарий
red_butler Опубликовано 25 июня, 2015 Поделиться Опубликовано 25 июня, 2015 Извините, я ждала конструктивного ответа, а не общих слов. сделайте фото Ссылка на комментарий
faity Опубликовано 25 июня, 2015 Поделиться Опубликовано 25 июня, 2015 Да нет же, я такого никогда не видела - чтобы эмаль была нестественно белого цвета! Причем, если зуб "помечен" такой шапочкой, но еще не начал разрушаться - это уже как метка, что очень скоро разрушится.Извините, я ждала конструктивного ответа, а не общих слов.а вы много зубов видел? я достаточно для того чтобы сделать такие выводы по снимку, как это выглядит во рту я не знаю, вы же снимки из полости рта не выложили. Извините, я ждала конструктивного ответа, а не общих слов. брекеты поставьте. тогда и сустав перестанет болеть и зубы крошиться, гипернагрузка это плохо Ссылка на комментарий
veraprok Опубликовано 25 июня, 2015 Автор Поделиться Опубликовано 25 июня, 2015 Целых три фото прикреплено!!! Вы разве их не видите?! Ссылка на комментарий
faity Опубликовано 25 июня, 2015 Поделиться Опубликовано 25 июня, 2015 Целых три фото прикреплено!!! Вы разве их не видите?! я вижу 3 рентгеновских снимка и ни одной фотографии!!! вы разве не прочитали то, что вам написал я и мой коллега?! Ссылка на комментарий
Scrabble Опубликовано 25 июня, 2015 Поделиться Опубликовано 25 июня, 2015 Белые шапочки на рентгене-это эмаль. Сфотографируйте зубы в полости рта. Сколько лет сыну? Ссылка на комментарий
Рекомендуемые сообщения
Для публикации сообщений создайте учётную запись или авторизуйтесь
Вы должны быть пользователем, чтобы оставить комментарий
Создать аккаунт
Зарегистрируйте новый аккаунт в нашем сообществе. Это очень просто!
Регистрация нового пользователяВойти
Уже есть аккаунт? Войти в систему.
Войти