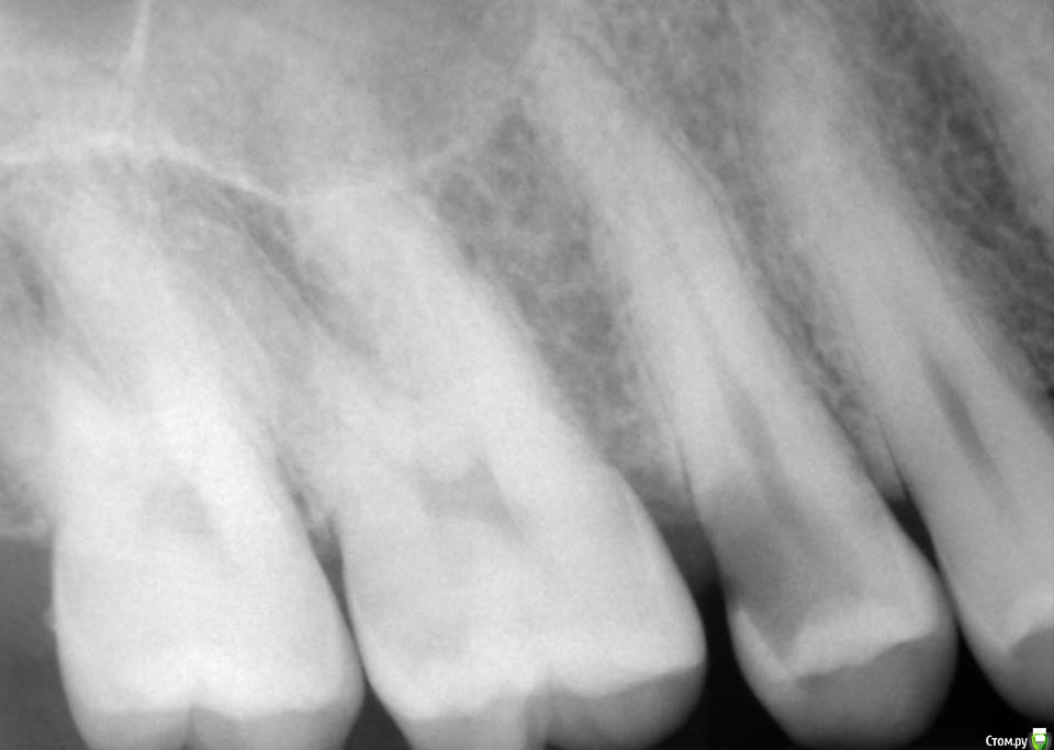
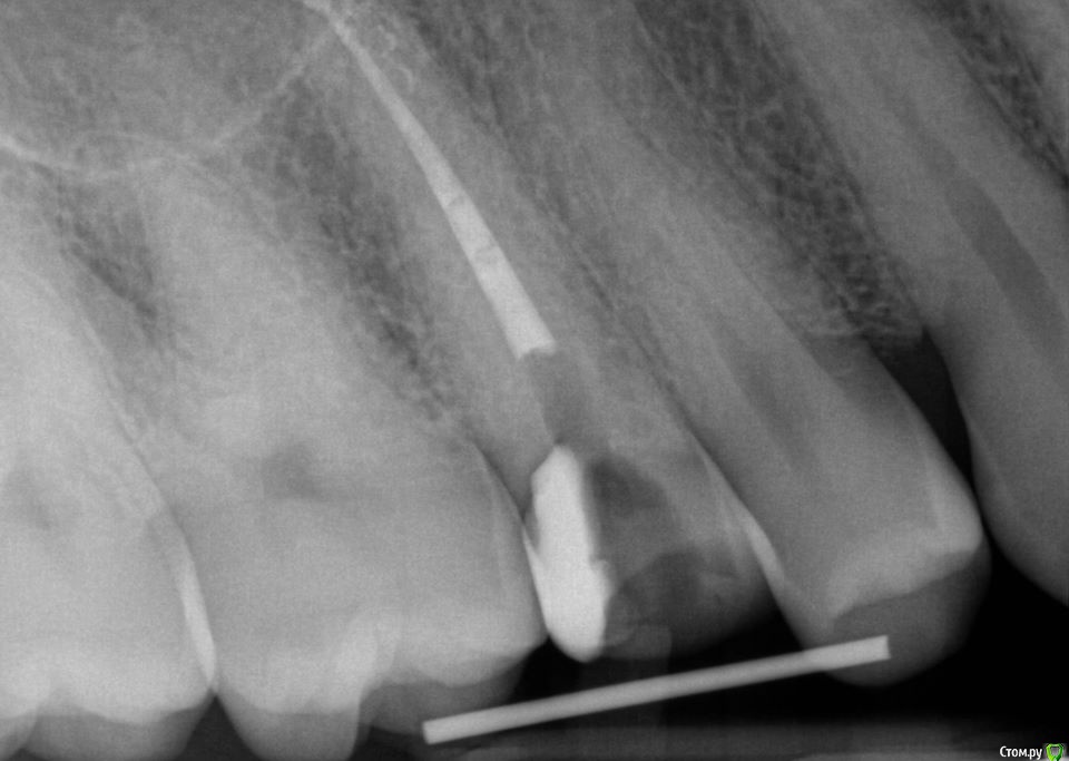
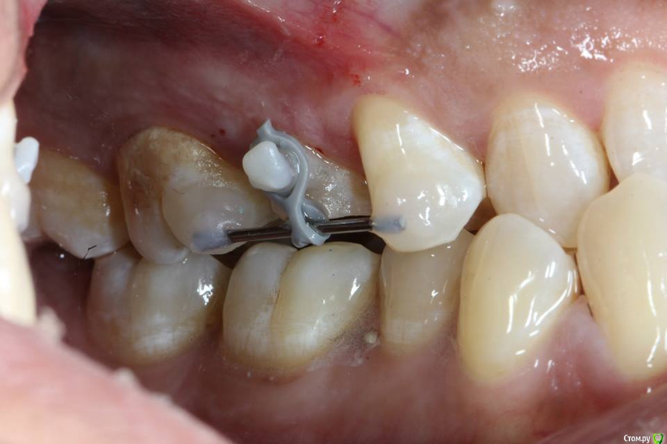
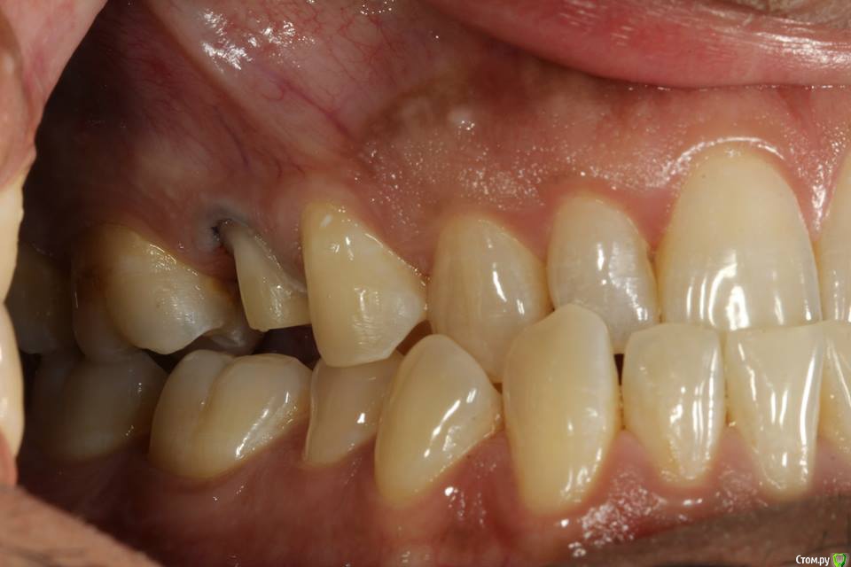
Kolchanov Опубликовано 23 июня, 2015 Поделиться Опубликовано 23 июня, 2015 Экструзия одиночного зуба для получения хоть какого-нибудь феррула. Подозреваю, что процедура не очень сложна и вполне модет быть освоена простым терапевтишкой, т.е. мной. Был бы очень благодарен, если бы кто-нибудь накидал своих мыслей по этому поводу, а еще лучше и фоток. И, конечно же, перечисление материалов. В одной из клиник, где я работаю, делают так иногда.После удаления штифтового зуба имеем поддесневой дефектhttp://s010.radikal.ru/i311/1506/49/4f3a03a5b53b.jpghttp://s010.radikal.ru/i313/1506/55/c752a532f478.jpgПациентка пожелала зуб сохранить. Теперь его тянут. И пятерочку еще в придачу.http://s014.radikal.ru/i327/1506/75/e9897bfb0e24.jpghttp://i024.radikal.ru/1506/99/1f1453b881ef.jpghttp://s017.radikal.ru/i434/1506/ea/caf4284659b4.jpghttp://s018.radikal.ru/i522/1506/ae/b2b54bddcdb8.jpghttp://s015.radikal.ru/i331/1506/7c/0efe752f8c35.jpgПока ничего сложного не вижу.У меня сейчас есть похожий случай. Но, послать в Москву... Не поедут. А на местного ортодонта как-то надежды мало. Я потом залью сюда фотки со своими мыслями. Может кто что присоветует...Спасибо! 1 Ссылка на комментарий
krokomot Опубликовано 23 июня, 2015 Поделиться Опубликовано 23 июня, 2015 Экструзия одиночного зуба для получения хоть какого-нибудь феррула. Подозреваю, что процедура не очень сложна и вполне модет быть освоена простым терапевтишкой, т.е. мной. Был бы очень благодарен, если бы кто-нибудь накидал своих мыслей по этому поводу, а еще лучше и фоток. И, конечно же, перечисление материалов. В одной из клиник, где я работаю, делают так иногда.После удаления штифтового зуба имеем поддесневой дефект Пациентка пожелала зуб сохранить. Теперь его тянут. И пятерочку еще в придачу. Пока ничего сложного не вижу.У меня сейчас есть похожий случай. Но, послать в Москву... Не поедут. А на местного ортодонта как-то надежды мало. Я потом залью сюда фотки со своими мыслями. Может кто что присоветует...Спасибо!Ох и любят у нас врачи заниматься вот таким лепиловом)))) Инженера в себе не скроешь)) Почему не с бреккетами? Приклеили несколько, дугу, цепочку проволку, что угодно, все же проще и предсказуемее (и быстрее) Ссылка на комментарий
molchanoff Опубликовано 23 июня, 2015 Поделиться Опубликовано 23 июня, 2015 а куда там бреккет клеить?топикстартер и че двигается?а то я тока хир удлинение юзаю. Ссылка на комментарий
krokomot Опубликовано 23 июня, 2015 Поделиться Опубликовано 23 июня, 2015 а куда там бреккет клеить?топикстартер и че двигается?а то я тока хир удлинение юзаю. Приклеить всегда можно было бы желание, а на счет хирургического то оно тут и понадобится по ходу выдвижения зуба. Ссылка на комментарий
Kolchanov Опубликовано 23 июня, 2015 Автор Поделиться Опубликовано 23 июня, 2015 топикстартер и че двигается? Ей таким макаром вытянули латеральный, что на ретейнере. Вообще, не вижу зла, которое разглядел krokomot Если бы он еще написал какие там брекеты, проволока, куда и как приклеить, то был бы ему респект безмерный. Ссылка на комментарий
krokomot Опубликовано 23 июня, 2015 Поделиться Опубликовано 23 июня, 2015 Ей таким макаром вытянули латеральный, что на ретейнере. Вообще, не вижу зла, которое разглядел krokomot Если бы он еще написал какие там брекеты, проволока, куда и как приклеить, то был бы ему респект безмерный.Так уж и зло?)) Можно еще проще приклеить на зуб не бреккет а кнопку как для экструзии http://image.made-in-china.com/43f34j10kMEQDnYwCWob/Orthodontic-Lingual-Button.jpgретинированных, ну и тянуть за нееhttp://s017.radikal.ru/i426/1506/4e/0eadeb4e1920.jpgвот кстати вариант без бреккетов которые вы наверно недолюбливаете)))http://www.dr-surkin.ru/articles/Extrusion/Extrusion.htm 3 Ссылка на комментарий
Kolchanov Опубликовано 23 июня, 2015 Автор Поделиться Опубликовано 23 июня, 2015 Нет, к брекетам отношусь весьма ровно. За ссылку спасибо! Метод с кручком мне не нравится. Его вытаскивать потом надо. Так и нафиг он тогда нужен, если все равно проволоку к зубам клеить. Проще уж тогда зацепы эти из композитария сделать. Спилить их куда проще.На сколько зубов брекеты клеить для экструзии той же пятерки? 6го и 4го хватит? Ссылка на комментарий
krokomot Опубликовано 23 июня, 2015 Поделиться Опубликовано 23 июня, 2015 Нет, к брекетам отношусь весьма ровно. За ссылку спасибо! Метод с кручком мне не нравится. Его вытаскивать потом надо. Так и нафиг он тогда нужен, если все равно проволоку к зубам клеить. Проще уж тогда зацепы эти из композитария сделать. Спилить их куда проще.На сколько зубов брекеты клеить для экструзии той же пятерки? 6го и 4го хватиткрючек не обязательно сам принцип. Я думаю нужно не меньше 2-х с каждой стороны чтоб не поехали, можно и по одному , но нужно чтоб 100% сила была вертикальной, а это достижимо, если проволка на соседних зубах крепится не жестко, то есть при деформации прогиба она не должна смещать соседние зубы в сторону дефектаhttp://s017.radikal.ru/i410/1506/75/b2ecfc92b62d.pngда и следите чтоб аппроксимальных контактов небыло, иначе все затормозится)) Ссылка на комментарий
Kolchanov Опубликовано 23 июня, 2015 Автор Поделиться Опубликовано 23 июня, 2015 Спасибо! Что насчет каких-нибудь пружин? Это я так, чтобы инженера в себе не убивать Ссылка на комментарий
krokomot Опубликовано 23 июня, 2015 Поделиться Опубликовано 23 июня, 2015 Спасибо! Что насчет каких-нибудь пружин? Это я так, чтобы инженера в себе не убиватьС пружинами сложнее для экструзии нужны не маленькие силы и тут только с минииплантами)) Можно конечно и ортодонтический аппарат соорудить поработать крампонами и сделать пластинку с пружиной и кламером чтоб предупредить наклон, но надо модель покрутить)) Чисто из инженерных побуждений Ссылка на комментарий
Kolchanov Опубликовано 25 июня, 2015 Автор Поделиться Опубликовано 25 июня, 2015 (изменено) Пружиныhttp://s019.radikal.ru/i602/1506/1a/68ff1d6b2956.jpghttp://s42.radikal.ru/i097/1506/44/ec9fbdcb431c.jpg Изменено 25 июня, 2015 пользователем Kolchanov Ссылка на комментарий
krokomot Опубликовано 25 июня, 2015 Поделиться Опубликовано 25 июня, 2015 Пружинысомневаюсь что данная конструкция будет эффективна , по мне так с таким плечём диаметр проволоки должен быть больше. С неба по-моему и то толще. Но это я так размышляю))) Ссылка на комментарий
krokomot Опубликовано 25 июня, 2015 Поделиться Опубликовано 25 июня, 2015 (изменено) а вот вам моя идея: через 2 проволочные балки сверху ортодонтическую цепочку за ваши зацепы))http://s017.radikal.ru/i431/1506/b6/5d74d8cbbd5a.jpgплюс конструкциив выравнивании силы оральной и вестибулярной)) Изменено 25 июня, 2015 пользователем krokomot Ссылка на комментарий
Romanson Опубликовано 25 июня, 2015 Поделиться Опубликовано 25 июня, 2015 Интересная тема, спасибо Колчанов за её создание. Вопрос такой - при ортоэкструзии обязательно нужно каждую неделю "подрезать" круговую связку? По теме есть вот такой кейс, автора к сожалению не помню. 2 Ссылка на комментарий
Romanson Опубликовано 25 июня, 2015 Поделиться Опубликовано 25 июня, 2015 И вот такой небольшой раздел из книжки 2011 года. Ссылка на комментарий
Kolchanov Опубликовано 25 июня, 2015 Автор Поделиться Опубликовано 25 июня, 2015 а вот вам моя идея: через 2 проволочные балкиВот! Именно так я и собирался сделать, если ортодонт местный сольется. Только я не знаю что такое цепочка ортодонтическая. Хотел просто тягу эластичную какую-нибудь кинуть. Типа кольца сепарационного. Ссылка на комментарий
Kolchanov Опубликовано 25 июня, 2015 Автор Поделиться Опубликовано 25 июня, 2015 (изменено) Вопрос такой - при ортоэкструзии обязательно нужно каждую неделю "подрезать" круговую связку? По теме есть вот такой кейс, автора к сожалению не помню.Это Григория (ForestDent) кейс. Связку надо обязательно резать, чтобы без кости вытягивался. Изменено 25 июня, 2015 пользователем Kolchanov 1 Ссылка на комментарий
krokomot Опубликовано 25 июня, 2015 Поделиться Опубликовано 25 июня, 2015 Вот! Именно так я и собирался сделать, если ортодонт местный сольется. Только я не знаю что такое цепочка ортодонтическая. Хотел просто тягу эластичную какую-нибудь кинуть. Типа кольца сепарационного.http://shop.vetstom.ru/upload/iblock/1fd/d1_86_d0_b5_d0_bf_d1_8c.jpeg Ссылка на комментарий
Kolchanov Опубликовано 25 июня, 2015 Автор Поделиться Опубликовано 25 июня, 2015 Ага, эластичная штуковина. Попробую достать маленько. Спасибо! Ссылка на комментарий
krokomot Опубликовано 25 июня, 2015 Поделиться Опубликовано 25 июня, 2015 Хощ на 2 кльца растяни, хош на 5 регулировка силы вытяжения."Да не будут удалены вытягиваемые вами зубы. Аминь" Ссылка на комментарий
krokomot Опубликовано 25 июня, 2015 Поделиться Опубликовано 25 июня, 2015 еще такой вариант есть))http://www.tresgriferia.com/novaweb-imatges_productes/grans/9134746051.jpg 2 Ссылка на комментарий
Kolchanov Опубликовано 25 июня, 2015 Автор Поделиться Опубликовано 25 июня, 2015 Обязательно натянем! Никуда не денутся. У нас народ простой. Раз доктор сказал надо, то сиди и не рыпайся. Не пойдет на эластичной тяге, привяжем к зубу гирю на 16кг и будем через блок тянуть. Как скелетное вытяжение. Больничный выпишем. 2 Ссылка на комментарий
krokomot Опубликовано 25 июня, 2015 Поделиться Опубликовано 25 июня, 2015 на 16 многовато можно челюсть из головы вытянуть))) Очень смеялся с вашего последнего поста Ссылка на комментарий
Tymchynskyi Опубликовано 25 июня, 2015 Поделиться Опубликовано 25 июня, 2015 Метод с кручком мне не нравится. Его вытаскивать потом надо. Так и нафиг он тогда нужен, если все равно проволоку к зубам клеить. Проще уж тогда зацепы эти из композитария сделать. Спилить их куда проще. А к чему вы зацепы приклеете если ферулла ноль и корень в ровень с десной? К вопросу о тяге с помощью крючка: из чего этот крючек скручен и какая проволока используется для фиксации на соседних зубах.ПС, тоже хочу овладеть этим величайшим исскуством ШАОЛИНЬ)))) Ссылка на комментарий
Kolchanov Опубликовано 25 июня, 2015 Автор Поделиться Опубликовано 25 июня, 2015 Рубаете десну. Изолируете, билдапите со штифтами и тянете. Ну или вот кручОк прредлагают в канал зацементировать.Проволока не знаю какая. Спрошу завтра. Английскую булавку покупаете, обкусываете и к зубу. Чего там... Ссылка на комментарий
Рекомендуемые сообщения
Для публикации сообщений создайте учётную запись или авторизуйтесь
Вы должны быть пользователем, чтобы оставить комментарий
Создать аккаунт
Зарегистрируйте новый аккаунт в нашем сообществе. Это очень просто!
Регистрация нового пользователяВойти
Уже есть аккаунт? Войти в систему.
Войти