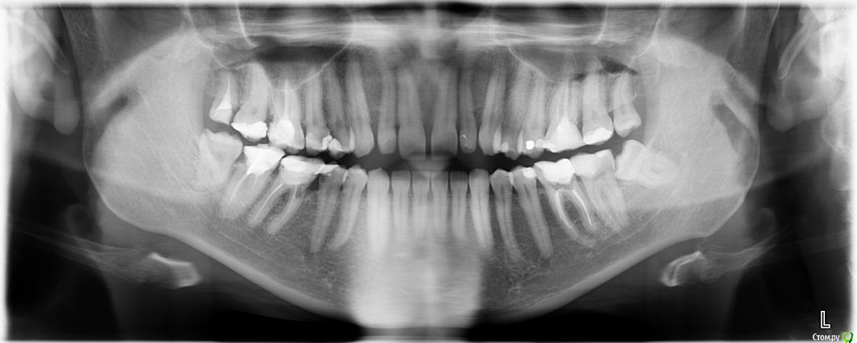
alex0814 Опубликовано 19 июня, 2015 Поделиться Опубликовано 19 июня, 2015 Здравствуйте! Собрался протезировать сильно разрушенные жевательные зубы. Прошу консультации: какие зубы, по вашему мнению, уже не вылечить, а только удалять и имплантировать? И имеет ли смысл оставлять какие-нибудь из восьмерок? P.S. Очно консультировался в одной клинике, там предлагают удалять и потом имплантировать 26, 45, 46, 47. Ну и все восьмерки долой. Ссылка на комментарий
Bier Опубликовано 19 июня, 2015 Поделиться Опубликовано 19 июня, 2015 Судя по снимку удалять все восьмерки и 46з. Остальное по снимку вроде как можно сохранить, возможно чего то на снимке не видно. 3 Ссылка на комментарий
Гарриевич Опубликовано 21 июня, 2015 Поделиться Опубликовано 21 июня, 2015 46 и 47 и 26 по снимку действительно плохи, но надо еще прицельные снимки посмотреть45 нормально, тем более что 46 на удалениевосьмерки на удаление Ссылка на комментарий
Рекомендуемые сообщения
Для публикации сообщений создайте учётную запись или авторизуйтесь
Вы должны быть пользователем, чтобы оставить комментарий
Создать аккаунт
Зарегистрируйте новый аккаунт в нашем сообществе. Это очень просто!
Регистрация нового пользователяВойти
Уже есть аккаунт? Войти в систему.
Войти