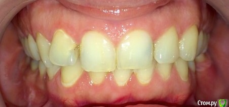
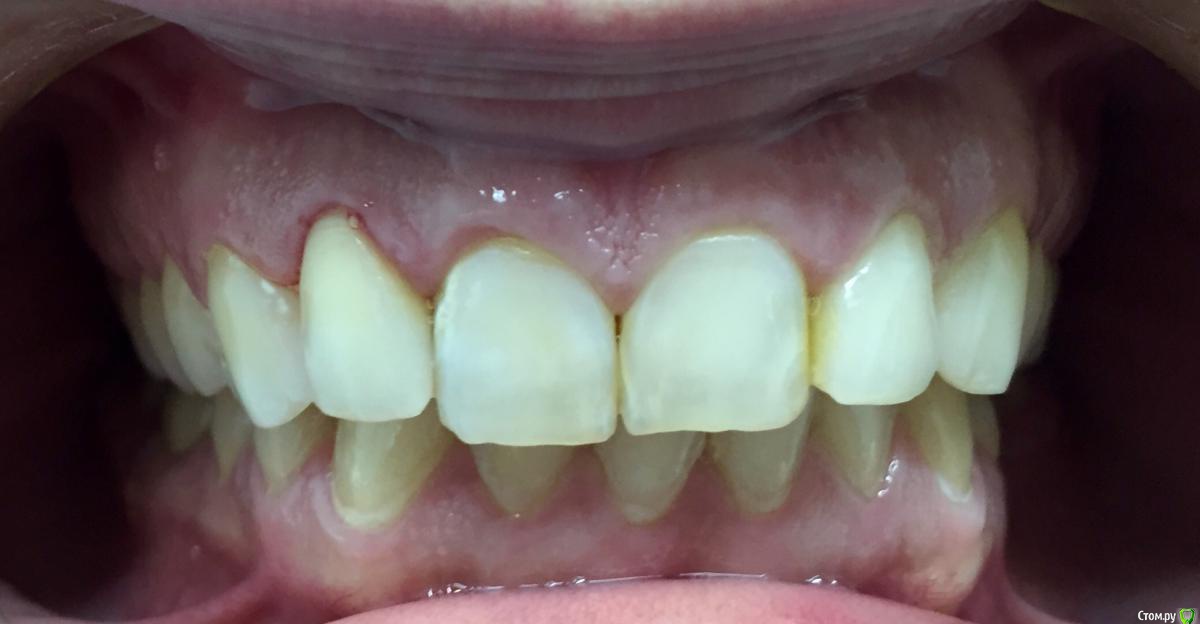
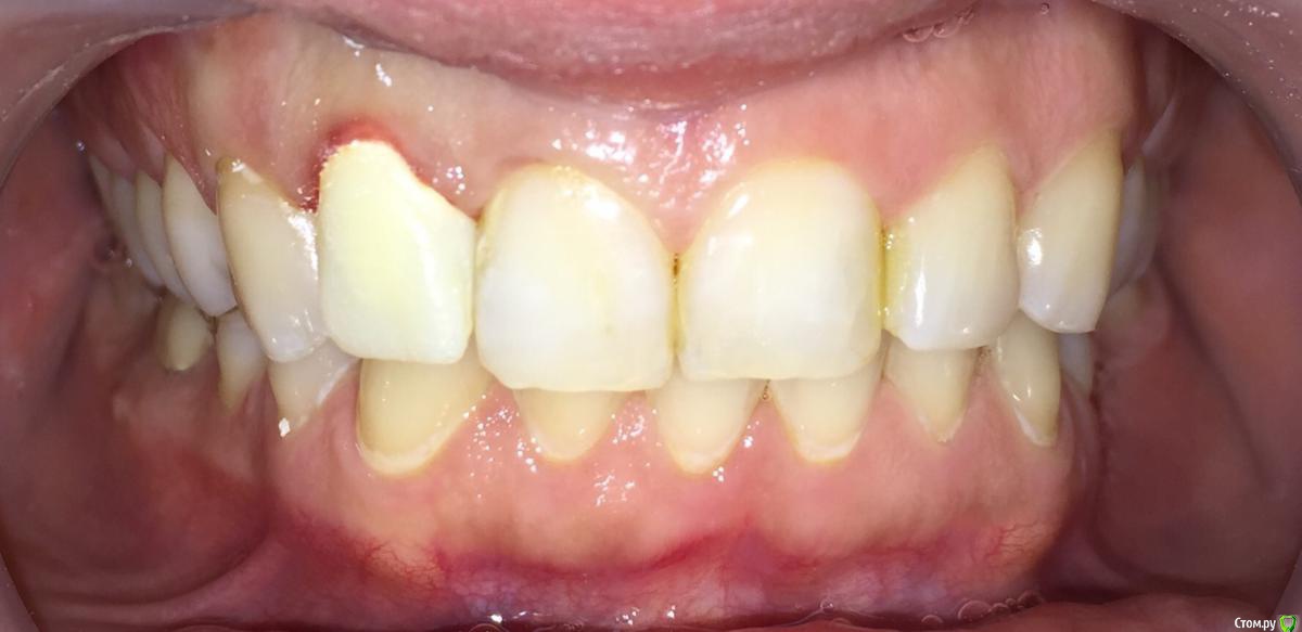
Jenechkin Опубликовано 18 июня, 2015 Поделиться Опубликовано 18 июня, 2015 Добрый день, уважаемые доктора! Выкладываю на обозрение мой кейс - зуб 12 был ранее лечен по причине осложнения кариеса, канал запломбирован до апекса, мной был поставлен свш. Далее wax up, mock up, препарирование тв тканей з12, временная коронка, примерка и адгезивная фиксация готовой работы, полировка. П с: за фото сильно не ругать))) 5 Ссылка на комментарий
Aquarius Опубликовано 18 июня, 2015 Поделиться Опубликовано 18 июня, 2015 Запилено конечно сильно, а в остальном очень даже ничего)) 1 Ссылка на комментарий
AmbiDexter Опубликовано 18 июня, 2015 Поделиться Опубликовано 18 июня, 2015 Отличный результат! Ссылка на комментарий
Jenechkin Опубликовано 22 июня, 2015 Автор Поделиться Опубликовано 22 июня, 2015 Отличный результат! спасибо! Ссылка на комментарий
Rumata Опубликовано 4 июля, 2015 Поделиться Опубликовано 4 июля, 2015 Недурно. Только джинджипак не люблю). Сколько пациент носил временную до снятия оттиска? Ссылка на комментарий
PLAY Опубликовано 4 июля, 2015 Поделиться Опубликовано 4 июля, 2015 модели некрасивые под имакс сильно много тканей снято, пломбу на резце можно было поменять. Работа симпатичная, протокольная Ссылка на комментарий
Doc.IQ Опубликовано 4 июля, 2015 Поделиться Опубликовано 4 июля, 2015 Согласен про сильный запил с предыдущими докторами,хотя у самого на первых парах было намного хуже...на что и как фиксировали свш?адгезивно?.не оторвет ли коронка всю вашу надстройку??спрашиваю,потому что скептически отношусь к свш и опыта работы с ними никакого..вопрос задан с целью проанализировать самого себя и провести аналогию за и против.. Что касаемо вашей работы,очень симпотично.. 1 Ссылка на комментарий
Рекомендуемые сообщения
Для публикации сообщений создайте учётную запись или авторизуйтесь
Вы должны быть пользователем, чтобы оставить комментарий
Создать аккаунт
Зарегистрируйте новый аккаунт в нашем сообществе. Это очень просто!
Регистрация нового пользователяВойти
Уже есть аккаунт? Войти в систему.
Войти