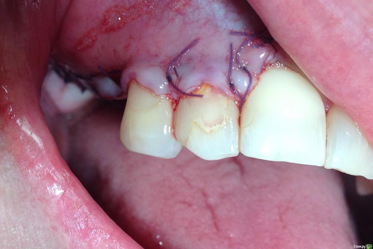
Глеб Митрофанов Опубликовано 17 июня, 2015 Поделиться Опубликовано 17 июня, 2015 Синус-лифтинг с попутным закрытием рецессии в смежной зоне , 2 месяца - полет нормальный ! Ссылка на комментарий
Глеб Митрофанов Опубликовано 17 июня, 2015 Автор Поделиться Опубликовано 17 июня, 2015 Закрепил фото в ответе , не разобрался пока с форумом 3 Ссылка на комментарий
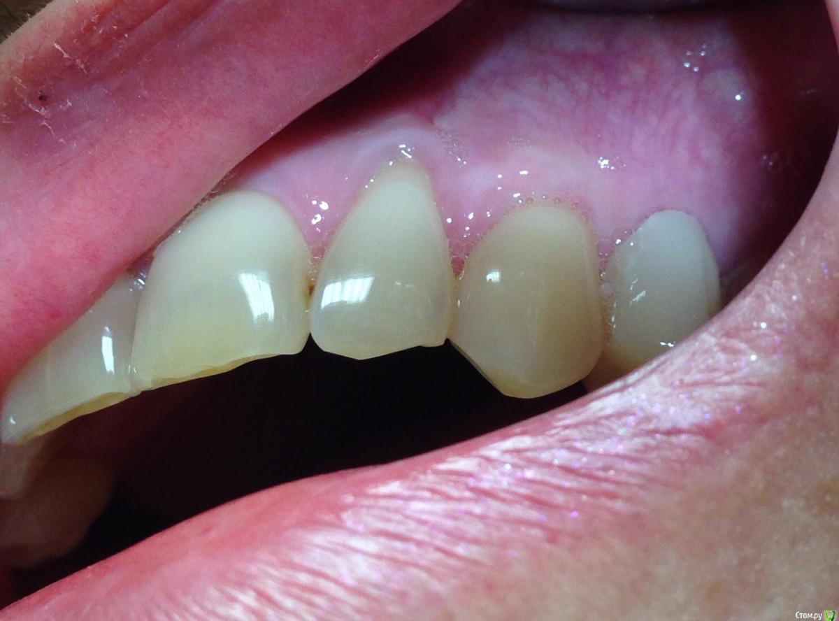
Глеб Митрофанов Опубликовано 17 июня, 2015 Автор Поделиться Опубликовано 17 июня, 2015 Тоже самое и с другой стороны Ссылка на комментарий
Bier Опубликовано 17 июня, 2015 Поделиться Опубликовано 17 июня, 2015 я не разрезаю сосочки, откидываю полный лоскут и смещаю его коронарно с подсадкой ССТ. 1 Ссылка на комментарий
Глеб Митрофанов Опубликовано 17 июня, 2015 Автор Поделиться Опубликовано 17 июня, 2015 я не разрезаю сосочки, откидываю полный лоскут и смещаю его коронарно с подсадкой ССТ. здесь без ССТ Ссылка на комментарий
Bier Опубликовано 17 июня, 2015 Поделиться Опубликовано 17 июня, 2015 Тогда ждите рецидива и что вам мешало взять ССТ с нёбного лоскута? 1 Ссылка на комментарий
lonely_jack Опубликовано 17 июня, 2015 Поделиться Опубликовано 17 июня, 2015 я не разрезаю сосочки, откидываю полный лоскут и смещаю его коронарно с подсадкой ССТ.Сст на кость? Ссылка на комментарий
Евгений Ходыкин Опубликовано 18 июня, 2015 Поделиться Опубликовано 18 июня, 2015 Сст на кость?Ну а куда ж ещё... 2 Ссылка на комментарий
Доктор Хаус Опубликовано 18 июня, 2015 Поделиться Опубликовано 18 июня, 2015 Сст на кость?главное чтобы лоскут полностью перекрывал ССТ , и за шиться хорошо 1 Ссылка на комментарий
syrovovec Опубликовано 18 июня, 2015 Поделиться Опубликовано 18 июня, 2015 Пломбы нужно было поменять 2 Ссылка на комментарий
Bier Опубликовано 18 июня, 2015 Поделиться Опубликовано 18 июня, 2015 ССТ на корни оголенные укладывается. Ссылка на комментарий
lonely_jack Опубликовано 18 июня, 2015 Поделиться Опубликовано 18 июня, 2015 ССТ на корни оголенные укладывается.спс Ссылка на комментарий
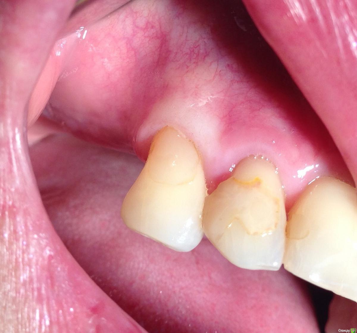
Глеб Митрофанов Опубликовано 19 июня, 2015 Автор Поделиться Опубликовано 19 июня, 2015 Закрытие рецессией с пациенткой не обсуждалось , сделал попутно , бонусом Ссылка на комментарий
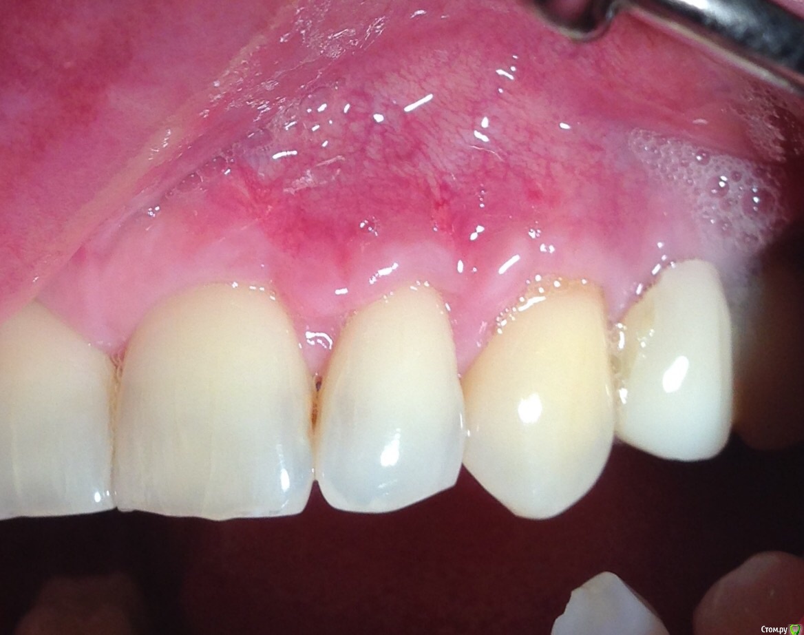
Bier Опубликовано 19 июня, 2015 Поделиться Опубликовано 19 июня, 2015 Закрытие рецессией с пациенткой не обсуждалось , сделал попутно , бонусомя обычно делаю одну сторону бонусом, говорю: - "вот смотрите, как я вам закрыл рецессию. Хотите и с другой стороны так?"уже платно 5 Ссылка на комментарий
JDS Опубликовано 19 июня, 2015 Поделиться Опубликовано 19 июня, 2015 я не разрезаю сосочки, откидываю полный лоскут и смещаю его коронарно с подсадкой ССТ.А швы обвивные делаете?? Если да, ССТ стабилизируете дополнительно швами?? ССТ полностью под лоскутом?? Ссылка на комментарий
Bier Опубликовано 19 июня, 2015 Поделиться Опубликовано 19 июня, 2015 А швы обвивные делаете?? Если да, ССТ стабилизируете дополнительно швами?? ССТ полностью под лоскутом?? ССТ полностью под лоскутом. Фиксирую все насквозь к нёбному лоскуту. Просто надо мобилизировать покрывной лоскут и он сам ложится как надо. Ссылка на комментарий
Sahan Опубликовано 20 июня, 2015 Поделиться Опубликовано 20 июня, 2015 А я раньше тоже фиксировал ССТ насквозь через покрывной лоскут, а сейчас фиксирую отдельно. Так ССТ перекрывать более контролируемо. Только на ССТ обвивной лоскут завожу с неба. 2 Ссылка на комментарий
zzkz Опубликовано 22 июня, 2015 Поделиться Опубликовано 22 июня, 2015 А я раньше тоже фиксировал ССТ насквозь через покрывной лоскут, а сейчас фиксирую отдельно. Так ССТ перекрывать более контролируемо. Только на ССТ обвивной лоскут завожу с неба.узелки от швов с небной стороны, правильно понимаю? Ссылка на комментарий
JDS Опубликовано 22 июня, 2015 Поделиться Опубликовано 22 июня, 2015 ССТ полностью под лоскутом. Фиксирую все насквозь к нёбному лоскуту. Просто надо мобилизировать покрывной лоскут и он сам ложится как надо.Спасибо!!! Ссылка на комментарий
Рекомендуемые сообщения
Для публикации сообщений создайте учётную запись или авторизуйтесь
Вы должны быть пользователем, чтобы оставить комментарий
Создать аккаунт
Зарегистрируйте новый аккаунт в нашем сообществе. Это очень просто!
Регистрация нового пользователяВойти
Уже есть аккаунт? Войти в систему.
Войти