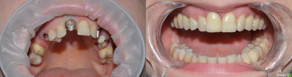
NazranDantist Опубликовано 17 июня, 2015 Поделиться Опубликовано 17 июня, 2015 Всем здравствуйте. Очень часто в нашей практике приходится заниматься перепротезированием. Волнует следующий вопрос, кто как борется с проблемой оверпрепа предыдущим ортопедом. Вот например в этой работе все зубы, кроме 16 были обточены до меня, 24 (или 25) - имплантат. Взять для примера центральный резец, явный оверпреп, но при этом твердых тканей зуба достаточно, зуб восстановлен штифтовой конструкцией, вынимать штифт и ставить вкладку - мне кажется и нет смысла и большие риски, единственное что приходит в голову - довосстановить все композитом, так чтобы коронка соприкасалась с твердыми тканями зуба только по уступу, но даст ли это какой-нибудь плюс для прогноза? Ссылка на комментарий
Stomart Опубликовано 17 июня, 2015 Поделиться Опубликовано 17 июня, 2015 ... вынимать штифт и ставить вкладку - мне кажется и нет смысла и большие риски ...Риски надо оценивать, например по рентгенснимку. Но я бы сделал именно так, достал бы штифт и поставил вкв. 1 Ссылка на комментарий
Rumata Опубликовано 17 июня, 2015 Поделиться Опубликовано 17 июня, 2015 Определенно есть смысл поставить вкладку. Т.о. создадите оптимальные условия для ретенции коронки и намного улучшите прогноз. 2 Ссылка на комментарий
Доктор Андрей Опубликовано 18 июня, 2015 Поделиться Опубликовано 18 июня, 2015 Всем здравствуйте. Очень часто в нашей практике приходится заниматься перепротезированием. Волнует следующий вопрос, кто как борется с проблемой оверпрепа предыдущим ортопедом. Вот например в этой работе все зубы, кроме 16 были обточены до меня, 24 (или 25) - имплантат. Взять для примера центральный резец, явный оверпреп, но при этом твердых тканей зуба достаточно, зуб восстановлен штифтовой конструкцией, вынимать штифт и ставить вкладку - мне кажется и нет смысла и большие риски, единственное что приходит в голову - довосстановить все композитом, так чтобы коронка соприкасалась с твердыми тканями зуба только по уступу, но даст ли это какой-нибудь плюс для прогноза? до и после (11).jpgШтифт заменить на штифтовую вкладку, короткая врем.коронка на Фуджи, брекет у десны и на соседние зубы, ортодонтическое вытяжение на 3 мм, допреп феррула до десны, постоянная коронка. Без вытяжения зуб малополезен, имхо. 2 Ссылка на комментарий
Евгений Ходыкин Опубликовано 18 июня, 2015 Поделиться Опубликовано 18 июня, 2015 Штифт заменить на штифтовую вкладку, короткая врем.коронка на Фуджи, брекет у десны и на соседние зубы, ортодонтическое вытяжение на 3 мм, допреп феррула до десны, постоянная коронка. Без вытяжения зуб малополезен, имхо.Соглашусь. Вариант с вкв в принципе можно и опустить, если будет получен полноценный феррул. Пусть этот штифт и стоит там дальше... 1 Ссылка на комментарий
DR.P Опубликовано 18 июня, 2015 Поделиться Опубликовано 18 июня, 2015 Я стараюсь штифты никогда не оставлять, ретритмент есть ретритмент. Вынимаю штифт проверяю качество пломбирования корневого канала. Ведь на снимке может быть красиво все, а в канале паста.... Перелечиваю канал и потом уже вкв. Ссылка на комментарий
Евгений Ходыкин Опубликовано 20 июня, 2015 Поделиться Опубликовано 20 июня, 2015 Я стараюсь штифты никогда не оставлять, ретритмент есть ретритмент. Вынимаю штифт проверяю качество пломбирования корневого канала. Ведь на снимке может быть красиво все, а в канале паста.... Перелечиваю канал и потом уже вкв.Критерий оценки качества эндо - данные КТ. Если спустя несколько лет очагов нет, реставрация в порядке, то пусть хоть сопли в канале, лезть туда не буду... 3 Ссылка на комментарий
Гарриевич Опубликовано 20 июня, 2015 Поделиться Опубликовано 20 июня, 2015 Критерий оценки качества эндо - данные КТ. Если спустя несколько лет очагов нет, реставрация в порядке, то пусть хоть сопли в канале, лезть туда не буду... есть такой момент, как микропрдтеканияДопустим стояла на этом зубе какая то хилая пломба или коронка, стояла не герметично и получился у МО с организмом хозяина некий баланс. И на снимках все спокойно и симптоматика отсутствует. И тут Вы делает качественную герметичную реставрацию. Условия изменились, баланс нарушен 1 Ссылка на комментарий
Евгений Ходыкин Опубликовано 20 июня, 2015 Поделиться Опубликовано 20 июня, 2015 есть такой момент, как микропрдтеканияДопустим стояла на этом зубе какая то хилая пломба или коронка, стояла не герметично и получился у МО с организмом хозяина некий баланс. И на снимках все спокойно и симптоматика отсутствует. И тут Вы делает качественную герметичную реставрацию. Условия изменились, баланс нарушенТ.е., если я правильно понял, мы делаем более классную по фиту коронку, к примеру, то в этом случае быть периапикальному процессу, коего ранее не было?? Верно?) Ссылка на комментарий
Гарриевич Опубликовано 20 июня, 2015 Поделиться Опубликовано 20 июня, 2015 Т.е., если я правильно понял, мы делаем более классную по фиту коронку, к примеру, то в этом случае быть периапикальному процессу, коего ранее не было?? Верно?) с поправкой на "может" Ссылка на комментарий
Евгений Ходыкин Опубликовано 20 июня, 2015 Поделиться Опубликовано 20 июня, 2015 с поправкой на "может" Видимо надо на деле просто столкнуться Ссылка на комментарий
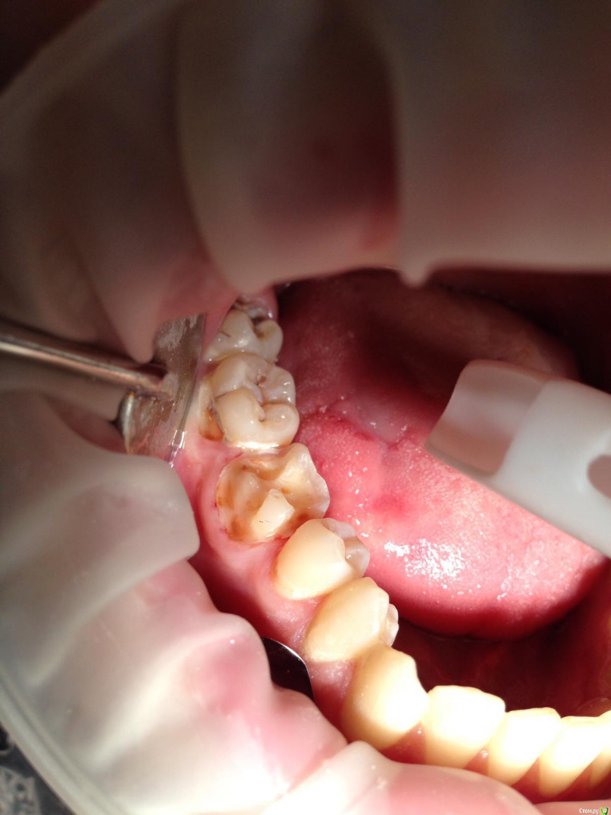
Bratok Опубликовано 21 июня, 2015 Поделиться Опубликовано 21 июня, 2015 Кстати на счет оверпрепа..вот так выглядит зуб после предварительной некрэктомии..что делать дальше? дно плотное. Нить почти не лезет под десну с щечной стороны..как проснять зауступное если делать emax? Ссылка на комментарий
Чертков Александр Опубликовано 22 июня, 2015 Поделиться Опубликовано 22 июня, 2015 .что делать дальше? ...откинуть лоскут и срезать край альвеолы или "закрытым" методом - если владеете Ссылка на комментарий
NazranDantist Опубликовано 22 июня, 2015 Автор Поделиться Опубликовано 22 июня, 2015 Кстати на счет оверпрепа..вот так выглядит зуб после предварительной некрэктомии..что делать дальше? дно плотное. Нить почти не лезет под десну с щечной стороны..как проснять зауступное если делать emax?Если вы о 6-ом зубе, то не вижу проблем немного коагулировать десну, но по опыту могу сказать, что это совсем не глубоко, нить должна заходить и проблем проснять зауступное пространство быть не должно. Ссылка на комментарий
NazranDantist Опубликовано 22 июня, 2015 Автор Поделиться Опубликовано 22 июня, 2015 Я стараюсь штифты никогда не оставлять, ретритмент есть ретритмент. Вынимаю штифт проверяю качество пломбирования корневого канала. Ведь на снимке может быть красиво все, а в канале паста.... Перелечиваю канал и потом уже вкв.В канале все хорошо, лечил знакомый терапевт в другой клинике, штифт тоже стоит адекватно, вынимать его нету никаких показаний, к тому же это всегда риск осложнений. Единственное показание все это делать - это оверпреп. Но нужны ли такие риски и проживет ли зуб с вкладкой больше чем зуб в таком виде, как есть, вот в чем вопрос? Единственное что мне пришло в голову - облить все сверху композитом и обточить по новой. Ссылка на комментарий
Гарриевич Опубликовано 23 июня, 2015 Поделиться Опубликовано 23 июня, 2015 Вот как проблему оверпрепа решает один не самый плохой врач http://maksimov.pro/p2779.html Ссылка на комментарий
NazranDantist Опубликовано 23 июня, 2015 Автор Поделиться Опубликовано 23 июня, 2015 Вот как проблему оверпрепа решает один не самый плохой врач http://maksimov.pro/p2779.htmlДа, я тоже думал об этом. Только не уверен в возможности наших литейщиков. Литье должно быть на 5+ . Композитом исполнить такую затею намного проще, как мне кажется. Ссылка на комментарий
Чертков Александр Опубликовано 23 июня, 2015 Поделиться Опубликовано 23 июня, 2015 (изменено) Вот как проблему оверпрепа решает один не самый плохой врач http://maksimov.pro/p2779.htmlЮра, ща тебе "вкатят" за рекламу "неугодных"... Изменено 23 июня, 2015 пользователем Чертков Александр Ссылка на комментарий
Гарриевич Опубликовано 24 июня, 2015 Поделиться Опубликовано 24 июня, 2015 Юра, ща тебе "вкатят" за рекламу "неугодных"...Да ладно, я думаю все как раз наоборот:-)Сам , конда есть ферул, восстанавливаю объем пакуемым эстелайтом, под ключом или контролем ортопеда, а он потом заново точит Ссылка на комментарий
Паращук Роман Опубликовано 24 июня, 2015 Поделиться Опубликовано 24 июня, 2015 пытаюсь подобрать прозрачный колпачек от ТОР и с помощью кора перекрыть,потом доработать . Ссылка на комментарий
Евгений Ходыкин Опубликовано 25 июня, 2015 Поделиться Опубликовано 25 июня, 2015 Да ладно, я думаю все как раз наоборот:-)Сам , конда есть ферул, восстанавливаю объем пакуемым эстелайтом, под ключом или контролем ортопеда, а он потом заново точитА когда иго нет, то и смысл городить? Импланты тоже жить хотят Ссылка на комментарий
Bratok Опубликовано 25 июня, 2015 Поделиться Опубликовано 25 июня, 2015 У меня в клинике есть ортопед со стажем ) я когда вижу сомнительный зб..провожу диагностическое препарирование и если феррула нет отдаю этому ортопеду он берется почти за все случаи ))) удобно, вроде пауиенту и про удаление говорить не надо )) просто говорю я восстановить не смогу..Кстати феррул обязательно должен быть круговым? Если 10% на уровне десны,2-3% чуть род десну такой зуб на удаление? Ссылка на комментарий
art700 Опубликовано 25 июня, 2015 Поделиться Опубликовано 25 июня, 2015 У меня в клинике есть ортопед со стажем ) я когда вижу сомнительный зб..провожу диагностическое препарирование и если феррула нет отдаю этому ортопеду он берется почти за все случаи ))) удобно, вроде пауиенту и про удаление говорить не надо )) просто говорю я восстановить не смогу..Кстати феррул обязательно должен быть круговым? Если 10% на уровне десны,2-3% чуть род десну такой зуб на удаление?Во всех клиниках есть такой ортопед Иногда удлинение делаю, если это возможно. Пока все хорошо. Ссылка на комментарий
Гарриевич Опубликовано 26 июня, 2015 Поделиться Опубликовано 26 июня, 2015 А когда иго нет, то и смысл городить? Импланты тоже жить хотят Когла его вообще нет, то вквНо это мое, личное, мнение Ссылка на комментарий
Рекомендуемые сообщения
Для публикации сообщений создайте учётную запись или авторизуйтесь
Вы должны быть пользователем, чтобы оставить комментарий
Создать аккаунт
Зарегистрируйте новый аккаунт в нашем сообществе. Это очень просто!
Регистрация нового пользователяВойти
Уже есть аккаунт? Войти в систему.
Войти