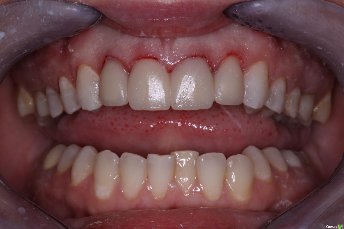
AmbiDexter Опубликовано 15 июня, 2015 Поделиться Опубликовано 15 июня, 2015 Первая работа с винирами. ТРИ года назад. Фронт. 1.1 ,2.1 , 1.2 , 2.2 . Ссылка на комментарий
AmbiDexter Опубликовано 15 июня, 2015 Автор Поделиться Опубликовано 15 июня, 2015 (изменено) Спустя три года. http://s020.radikal.ru/i721/1506/90/f0e5e4acfe3a.jpg http://s008.radikal.ru/i306/1506/33/5c05b108a8ec.jpg http://s018.radikal.ru/i510/1506/05/b90ba45128ce.jpg Изменено 15 июня, 2015 пользователем Большой Зеленый 12 Ссылка на комментарий
Alberto Опубликовано 15 июня, 2015 Поделиться Опубликовано 15 июня, 2015 Отличная работа для первого раза). Как временные фиксировали ? Как Александр на курсе рассказывал? Ссылка на комментарий
AmbiDexter Опубликовано 15 июня, 2015 Автор Поделиться Опубликовано 15 июня, 2015 Да. 1 Ссылка на комментарий
timvanaxel Опубликовано 15 июня, 2015 Поделиться Опубликовано 15 июня, 2015 Техническую часть сами выполняли?работа класс) Ссылка на комментарий
Рекомендуемые сообщения
Для публикации сообщений создайте учётную запись или авторизуйтесь
Вы должны быть пользователем, чтобы оставить комментарий
Создать аккаунт
Зарегистрируйте новый аккаунт в нашем сообществе. Это очень просто!
Регистрация нового пользователяВойти
Уже есть аккаунт? Войти в систему.
Войти