Большой Зеленый Опубликовано 16 июня, 2015 Поделиться Опубликовано 16 июня, 2015 а кт не делали? ))) вопрос чувствую с загвоздкой Работе чуть больше 4 лет.Пациентку ничего не беспокоит. Кт делал.Они просто рядом Ссылка на комментарий
девять Опубликовано 2 июля, 2015 Поделиться Опубликовано 2 июля, 2015 а если имплант близко к депульпированному зубу, но стенка альвеолы не задета и через три дня появились боли при накусывании на депульпированный зуб. слизистая без явных признаков воспаления. отделяемого из-под лоскута нет. Ссылка на комментарий
cezar1492 Опубликовано 3 июля, 2015 Поделиться Опубликовано 3 июля, 2015 Сделайте кт, может апексы имплантата с зубом под разными угламиполностью согласен Ссылка на комментарий
Doctor Vlad Опубликовано 14 апреля, 2020 Поделиться Опубликовано 14 апреля, 2020 Вчера одномоментно. кт только сегодня. Жалоб нет. Хотя там и сст с неба. конечно клык не сверленый, но близость напрягает. Съехал он при установке. Поленился снимок делать после установки, ушил лунку с трансплантатом, во рту норм выглядел. А потом на рг не очень) контроль кт Оставить? убрать недели через 3? Ссылка на комментарий
L.E.S.I.K. Опубликовано 14 апреля, 2020 Поделиться Опубликовано 14 апреля, 2020 (изменено) Вчера одномоментно. кт только сегодня. Жалоб нет. Хотя там и сст с неба. конечно клык не сверленый, но близость напрягает. Съехал он при установке. Поленился снимок делать после установки, ушил лунку с трансплантатом, во рту норм выглядел. А потом на рг не очень) контроль кт Оставить? убрать недели через 3?Я бы убрал сейчас. Что даст ожидание 3 недели? Даже если не будет проблем с клыком, то после протезирования из-за периимплантной резорбции потеряете кость вокруг зуба. Изменено 14 апреля, 2020 пользователем L.E.S.I.K. Ссылка на комментарий
Тимур86 Опубликовано 14 апреля, 2020 Поделиться Опубликовано 14 апреля, 2020 Вчера одномоментно. кт только сегодня. Жалоб нет. Хотя там и сст с неба. конечно клык не сверленый, но близость напрягает. Съехал он при установке. Поленился снимок делать после установки, ушил лунку с трансплантатом, во рту норм выглядел. А потом на рг не очень) контроль кт Оставить? убрать недели через 3?Какие показания к удалению? Я бы оставил, не вижу проблемы Ссылка на комментарий
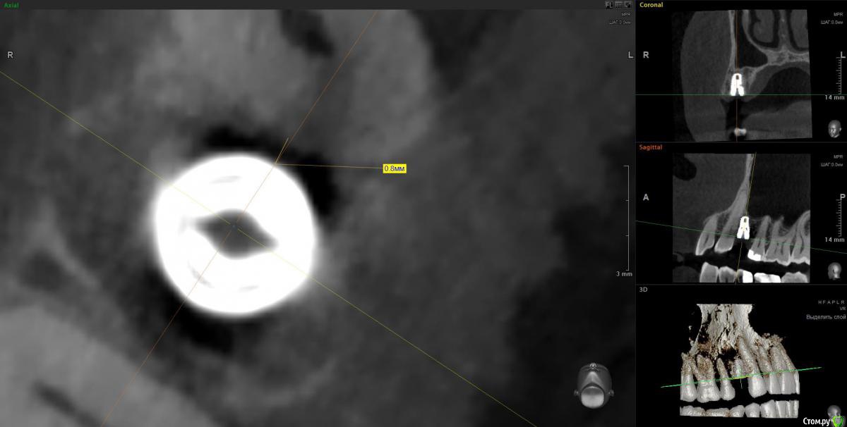
It'sGeorgy Опубликовано 14 апреля, 2020 Поделиться Опубликовано 14 апреля, 2020 Вчера одномоментно. кт только сегодня. Жалоб нет. Хотя там и сст с неба. конечно клык не сверленый, но близость напрягает. Съехал он при установке. Поленился снимок делать после установки, ушил лунку с трансплантатом, во рту норм выглядел. А потом на рг не очень) контроль кт Оставить? убрать недели через 3?Если есть уверенность, что в следующий раз получится поставить лучше и успешно провести ЗСЛ - я бы убрал. Какие показания к удалению? Я бы оставил, не вижу проблемы 0.7 мм рисково между зубов и винтом, на мой взгляд оставлять. Ну и по глубине тоже, ябдокрутил. Ссылка на комментарий
Doctor Vlad Опубликовано 14 апреля, 2020 Поделиться Опубликовано 14 апреля, 2020 Я бы убрал сейчас. Что даст ожидание 3 недели? Даже если не будет проблем с клыком, то после протезирования из-за периимплантной резорбции потеряете кость вокруг зуба.3 недели дадут зажить десне, и сст Ссылка на комментарий
Doctor Vlad Опубликовано 14 апреля, 2020 Поделиться Опубликовано 14 апреля, 2020 Если есть уверенность, что в следующий раз получится поставить лучше и успешно провести ЗСЛ - я бы убрал. 0.7 мм рисково между зубов и винтом, на мой взгляд оставлять. Ну и по глубине тоже, ябдокрутил. было такое в практике, чем опасно? Ссылка на комментарий
Irouil Опубликовано 14 апреля, 2020 Поделиться Опубликовано 14 апреля, 2020 А фронтальный срез есть? Ссылка на комментарий
Doctor Vlad Опубликовано 14 апреля, 2020 Поделиться Опубликовано 14 апреля, 2020 А фронтальный срез есть? Ссылка на комментарий
Irouil Опубликовано 14 апреля, 2020 Поделиться Опубликовано 14 апреля, 2020 Да, конечно выкручивать Ссылка на комментарий
Doctor Vlad Опубликовано 14 апреля, 2020 Поделиться Опубликовано 14 апреля, 2020 Имплант с полированной шейкой, по замерам мм на 2 ниже вестибулярной пластинки Ссылка на комментарий
Doctor Vlad Опубликовано 14 апреля, 2020 Поделиться Опубликовано 14 апреля, 2020 Да, конечно выкручиватьглубины мало? Ссылка на комментарий
It'sGeorgy Опубликовано 14 апреля, 2020 Поделиться Опубликовано 14 апреля, 2020 было такое в практике, чем опасно? Конечно. Выкручивал при одномоментной тоже на 1.4, тоже спустя пару недель после установки, тоже было близко к корню соседа. У пациента жалоб не было, но у меня засыпать спокойно не получалось. Винт - диллеру, говоришь, периимплантит, винт меняют на новый. Через 2 мес после выкручивания - кт и повторная установка. Единственное, что у меня пазуха высоко была, а в вашем случае, не миновать зсл скорее всего.По итогу, я сплю спокойно, финансовых потерь нет, а пациент запротезирован. Ссылка на комментарий
Doctor Vlad Опубликовано 14 апреля, 2020 Поделиться Опубликовано 14 апреля, 2020 Конечно. Выкручивал при одномоментной тоже на 1.4, тоже спустя пару недель после установки, тоже было близко к корню соседа. У пациента жалоб не было, но у меня засыпать спокойно не получалось. Винт - диллеру, говоришь, периимплантит, винт меняют на новый. Через 2 мес после выкручивания - кт и повторная установка. Единственное, что у меня пазуха высоко была, а в вашем случае, не миновать зсл скорее всего.По итогу, я сплю спокойно, финансовых потерь нет, а пациент запротезирован.Вот у меня такой план родился после рентгенснимка в день операции, я его даже озвучил пациенту. не было бы там городьбы из мягкой ткани и швов, позднего времени сразу бы переставил. кт бы еще сразу.но сейчас задумался, а что если не трогать. понаблюдать заживление. да спится не очень. за клык переживаю немного. но там контактно и без особого давления Ссылка на комментарий
It'sGeorgy Опубликовано 14 апреля, 2020 Поделиться Опубликовано 14 апреля, 2020 но сейчас задумался, а что если не трогать. понаблюдать заживление. так все хорошо заживет и имплантат вполне себе интегрируется. Тут вопрос в долгосрочной перспективе же. Ссылка на комментарий
Doctor Vlad Опубликовано 14 апреля, 2020 Поделиться Опубликовано 14 апреля, 2020 так все хорошо заживет и имплантат вполне себе интегрируется. Тут вопрос в долгосрочной перспективе жепосмотрю, может заживать не оч будет, тут и все ясно станет. но в плане 3 недели не меньше Ссылка на комментарий
It'sGeorgy Опубликовано 14 апреля, 2020 Поделиться Опубликовано 14 апреля, 2020 Отпишитесь потом, когда результат будет. Интересно. 1 Ссылка на комментарий
Irouil Опубликовано 14 апреля, 2020 Поделиться Опубликовано 14 апреля, 2020 глубины мало?Платформа впритык к зубу, риск формирования кармана очень велик 1 Ссылка на комментарий
Doctor Vlad Опубликовано 15 апреля, 2020 Поделиться Опубликовано 15 апреля, 2020 Платформа впритык к зубу, риск формирования кармана очень великуберу через 3 недели или раньше. пока заживает десна норм. в конверте. дам ей время Ссылка на комментарий
Тимур86 Опубликовано 15 апреля, 2020 Поделиться Опубликовано 15 апреля, 2020 Объясните-в чем опасность? Не понимаю... Ссылка на комментарий
Irouil Опубликовано 15 апреля, 2020 Поделиться Опубликовано 15 апреля, 2020 Объясните-в чем опасность? Не понимаю...На уровне шейки, на мой взгляд, будет карман. По вертикали не хватит тканей чтобы обеспечить биологическую ширину Ссылка на комментарий
Doctor Vlad Опубликовано 16 апреля, 2020 Поделиться Опубликовано 16 апреля, 2020 Объясните-в чем опасность? Не понимаю...С зубом проблем не будет, имплант без компрессии там лежит и не травмирует. Но в плане протезирования и долгосрочной перспективы хочется видеть его ровней и на равном удалении от зубов. следующий имплант будет уже. ось его на центр выходит между 13 и 15 но 1 мм от платформы до 13 зуба маловато. Опыта в таких случаях нет. В нижних резцах тоже бывает меньше мм 1 остается и все норм. Хотелось бы поглубже. Сейчас он на мм 2 заглублен от кортикалки и мм 3.5 по десне. но пройдет ремоделировка и будет меньше, а может и нет. Если бы я его протезировал может быть оставил бы посмотреть. Ссылка на комментарий
Рекомендуемые сообщения
Для публикации сообщений создайте учётную запись или авторизуйтесь
Вы должны быть пользователем, чтобы оставить комментарий
Создать аккаунт
Зарегистрируйте новый аккаунт в нашем сообществе. Это очень просто!
Регистрация нового пользователяВойти
Уже есть аккаунт? Войти в систему.
Войти