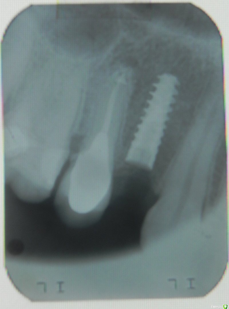
Tensergeyh Опубликовано 13 июня, 2015 Поделиться Опубликовано 13 июня, 2015 (изменено) Уважаемые коллеги, вот такая ситуация с имплантом в области 36. Ваше мнение, какие прогнозы? Хотел переустановить, пациентка категорически против, её ничего не беспокоит. Как поступить? http://s019.radikal.ru/i619/1506/19/267d0a7a6515.png Изменено 13 июня, 2015 пользователем Большой Зеленый Ссылка на комментарий
Большой Зеленый Опубликовано 13 июня, 2015 Поделиться Опубликовано 13 июня, 2015 Да все хорошо. 5 Ссылка на комментарий
red_butler Опубликовано 13 июня, 2015 Поделиться Опубликовано 13 июня, 2015 сделайте несколько прицельных снимков, они Вас успокоят 2 Ссылка на комментарий
Tensergeyh Опубликовано 13 июня, 2015 Автор Поделиться Опубликовано 13 июня, 2015 сделайте несколько прицельных снимков, они Вас успокоят Ссылка на комментарий
red_butler Опубликовано 13 июня, 2015 Поделиться Опубликовано 13 июня, 2015 Есть симптоматика со стороны зуба? Ссылка на комментарий
ILGAMSA Опубликовано 13 июня, 2015 Поделиться Опубликовано 13 июня, 2015 сделайте несколько прицельных снимков, они Вас успокоятне успокоили... 1 Ссылка на комментарий
red_butler Опубликовано 13 июня, 2015 Поделиться Опубликовано 13 июня, 2015 не успокоили... надежда умирает постедней Ссылка на комментарий
Tensergeyh Опубликовано 13 июня, 2015 Автор Поделиться Опубликовано 13 июня, 2015 Со стороны зуба ничего не беспокоит Ссылка на комментарий
red_butler Опубликовано 13 июня, 2015 Поделиться Опубликовано 13 июня, 2015 Я бы убрал. 1 1 Ссылка на комментарий
Tensergeyh Опубликовано 13 июня, 2015 Автор Поделиться Опубликовано 13 июня, 2015 Я бы тоже, а придётся наблюдать и надеяться) Ссылка на комментарий
Tensergeyh Опубликовано 13 июня, 2015 Автор Поделиться Опубликовано 13 июня, 2015 Час уговаривал пациентку, отказывается, мотивирует тем что у нее все будет хорошо Ссылка на комментарий
алекс 100 Опубликовано 13 июня, 2015 Поделиться Опубликовано 13 июня, 2015 Не вижу проблем.Пац-ка настроена позитивно,сделал бы мост на винтовой,всегда можно удалить премоляр и сделать консоль. 1 1 Ссылка на комментарий
red_butler Опубликовано 13 июня, 2015 Поделиться Опубликовано 13 июня, 2015 всегда можно удалить премоляр и сделать консоль. Ссылка на комментарий
АнтонТЛТ Опубликовано 13 июня, 2015 Поделиться Опубликовано 13 июня, 2015 Сделайте кт, может апексы имплантата с зубом под разными углами 2 Ссылка на комментарий
MotorDantist Опубликовано 13 июня, 2015 Поделиться Опубликовано 13 июня, 2015 Сделайте кт, может апексы имплантата с зубом под разными угламиПОДСКАЖИТЕ - У меня месяц назад была аналогичная ситуация! около недели пациент жаловался на боль при накусывании потом боль прошла. КАКАЯ перспектива? Ссылка на комментарий
АнтонТЛТ Опубликовано 13 июня, 2015 Поделиться Опубликовано 13 июня, 2015 ПОДСКАЖИТЕ - У меня месяц назад была аналогичная ситуация! около недели пациент жаловался на боль при накусывании потом боль прошла. КАКАЯ перспектива?Снимок покажите? Перспективы разные Ссылка на комментарий
Bier Опубликовано 13 июня, 2015 Поделиться Опубликовано 13 июня, 2015 если со стороны зуба жалоб нет, то показаний к удалению имплантата нет никаких абсолютно. В коронарной части расстояние достаточное, а апикально - главное чтобы хитрута не было и все. 3 Ссылка на комментарий
CToMaToJlor Опубликовано 13 июня, 2015 Поделиться Опубликовано 13 июня, 2015 А что такое хитрут? Ссылка на комментарий
MotorDantist Опубликовано 14 июня, 2015 Поделиться Опубликовано 14 июня, 2015 спасибо! снимок скину Ссылка на комментарий
rivezico Опубликовано 14 июня, 2015 Поделиться Опубликовано 14 июня, 2015 Я бы убрал.[блак хумо]имплантат?[/блак хумо] Ссылка на комментарий
Rafael_Gogyan Опубликовано 14 июня, 2015 Поделиться Опубликовано 14 июня, 2015 В данном случае не вижу особых проблем. Убирать имплантат (ИМХО) показаний нет. Ссылка на комментарий
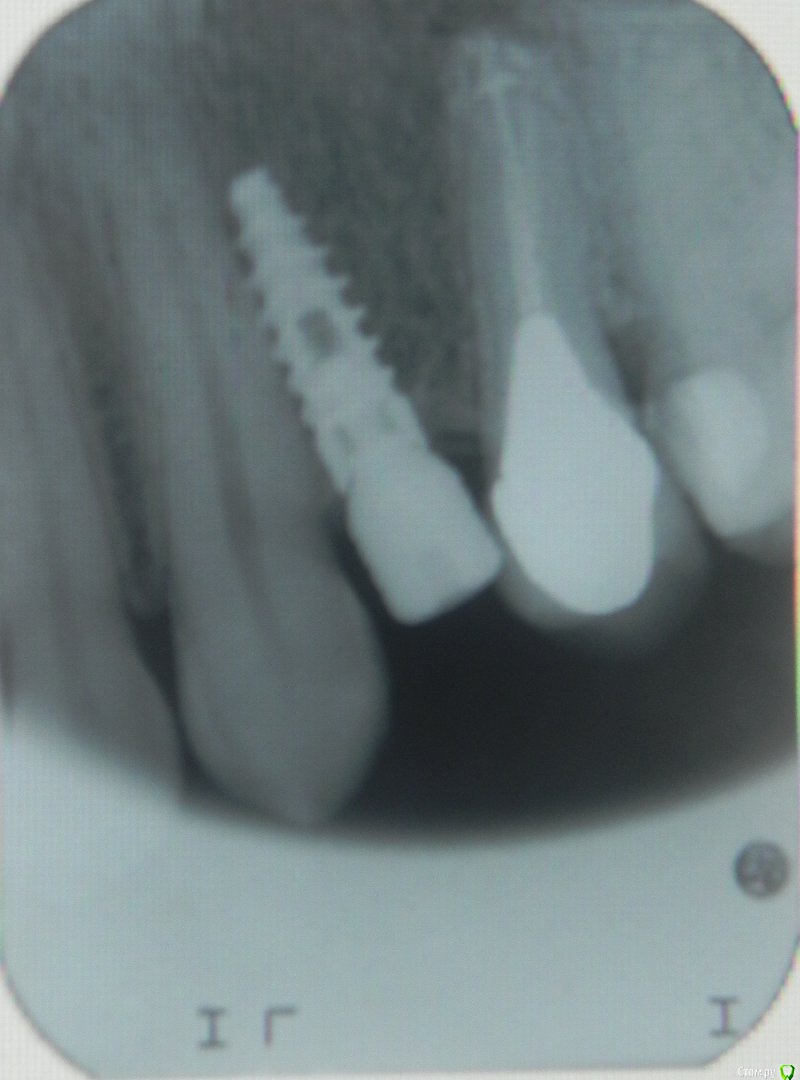
Большой Зеленый Опубликовано 15 июня, 2015 Поделиться Опубликовано 15 июня, 2015 А здесь есть показания?http://s020.radikal.ru/i704/1506/e3/b272f8325772.png 1 Ссылка на комментарий
Kostoprav Опубликовано 15 июня, 2015 Поделиться Опубликовано 15 июня, 2015 тоже был случай, выкрутил) хотя жалоб и не было Ссылка на комментарий
Kostoprav Опубликовано 15 июня, 2015 Поделиться Опубликовано 15 июня, 2015 и вот)переустановил на следующий день Ссылка на комментарий
Kovalov Igor Опубликовано 16 июня, 2015 Поделиться Опубликовано 16 июня, 2015 А здесь есть показания? а кт не делали? ))) вопрос чувствую с загвоздкой Ссылка на комментарий
Рекомендуемые сообщения
Для публикации сообщений создайте учётную запись или авторизуйтесь
Вы должны быть пользователем, чтобы оставить комментарий
Создать аккаунт
Зарегистрируйте новый аккаунт в нашем сообществе. Это очень просто!
Регистрация нового пользователяВойти
Уже есть аккаунт? Войти в систему.
Войти