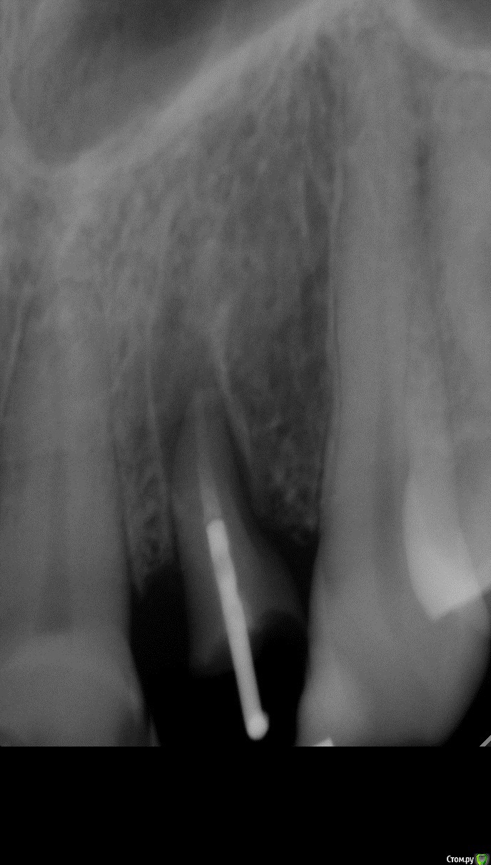
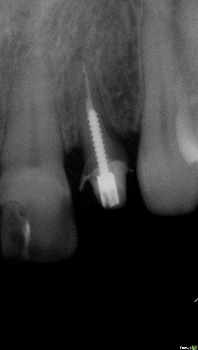
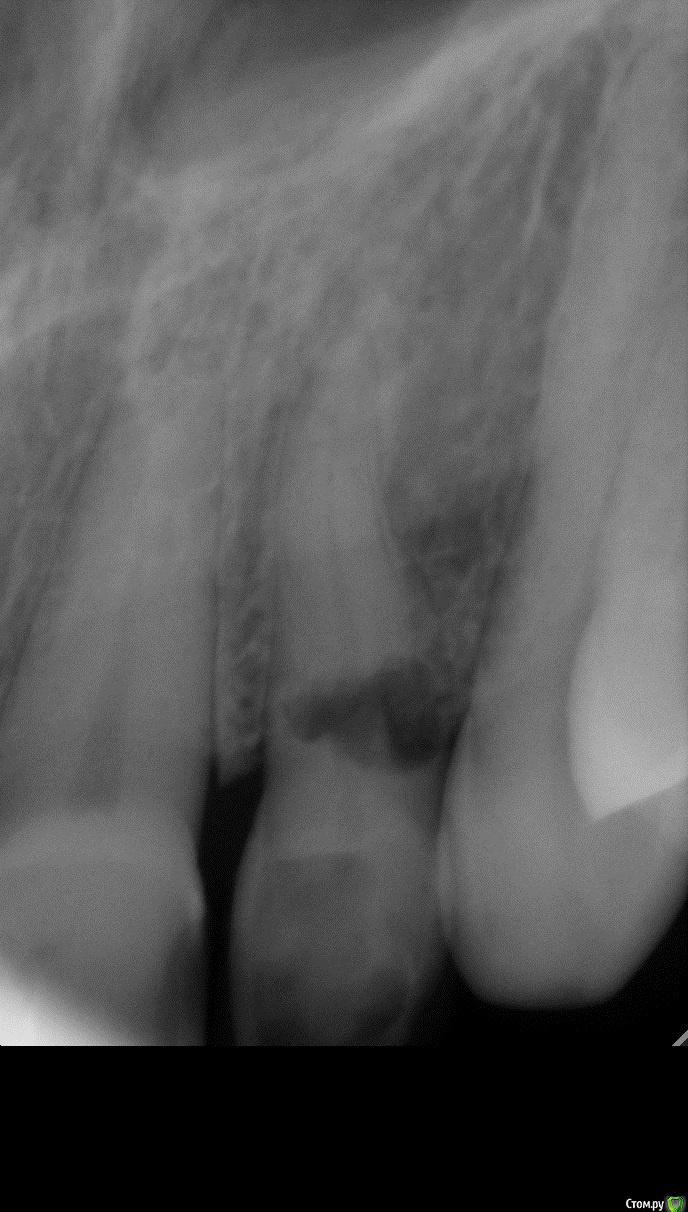
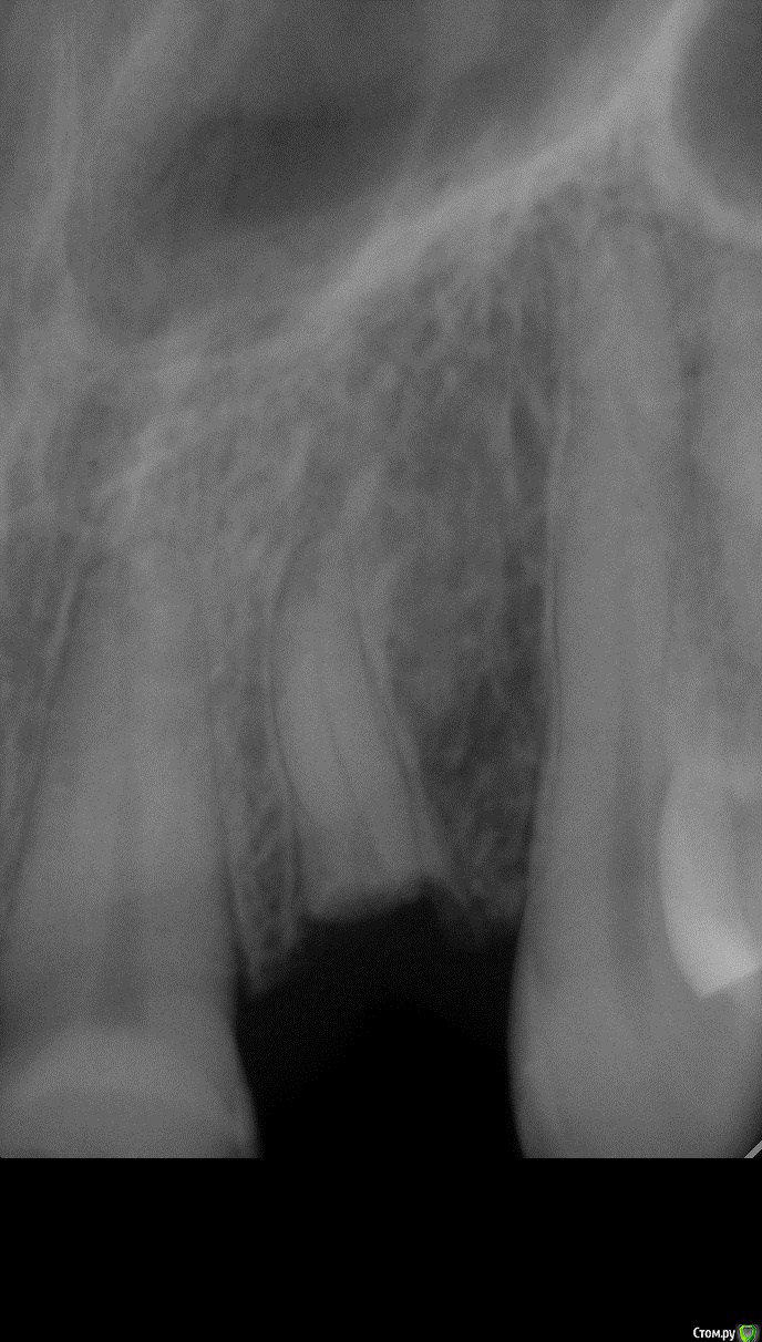
Sundance Опубликовано 9 июня, 2015 Поделиться Опубликовано 9 июня, 2015 Пациент категорически против удаления но пришлось временно удалить )))) и зафиксировать на мес. в новом положении через год с времянк ой 14 Ссылка на комментарий
Bier Опубликовано 9 июня, 2015 Поделиться Опубликовано 9 июня, 2015 да ладно, мы так делаем ) 1 Ссылка на комментарий
anvladd Опубликовано 9 июня, 2015 Поделиться Опубликовано 9 июня, 2015 Че правда? Ссылка на комментарий
Alexey Doc Опубликовано 9 июня, 2015 Поделиться Опубликовано 9 июня, 2015 Видимо да! Ссылка на комментарий
DR.P Опубликовано 9 июня, 2015 Поделиться Опубликовано 9 июня, 2015 А в какой среде был зуб или его вообще не вынимали? Связок же уже не будет, будет "жесткое соединение" зуб-кость? Ссылка на комментарий
diesel87 Опубликовано 9 июня, 2015 Поделиться Опубликовано 9 июня, 2015 На сколько я понял, это банальное ортодонтическое удлинение Ссылка на комментарий
zzkz Опубликовано 10 июня, 2015 Поделиться Опубликовано 10 июня, 2015 трансплантация написано вроде Ссылка на комментарий
doca Опубликовано 10 июня, 2015 Поделиться Опубликовано 10 июня, 2015 да ладно, мы так делаем )резорбции корня не происходит? Ссылка на комментарий
Bier Опубликовано 10 июня, 2015 Поделиться Опубликовано 10 июня, 2015 Долгосрочных результатов нет у нас, но вообще, если зуб не вынимать целиком или сразу вставить обратно и жестко не шинировать, то связка восстанавливается. Ссылка на комментарий
lonely_jack Опубликовано 10 июня, 2015 Поделиться Опубликовано 10 июня, 2015 У нас есть отдаленные результаты, корни со временем начинают рассасываться, а удаление таких зубов очень геморное зачастую из за анкилоза Ссылка на комментарий
Sundance Опубликовано 10 июня, 2015 Автор Поделиться Опубликовано 10 июня, 2015 А в какой среде был зуб или его вообще не вынимали? Связок же уже не будет, будет "жесткое соединение" зуб-кость?удаляется полностю и ставится в том положение в каком надо ) самое важное атравматично и неприкасатся к остаткам связочного апарата на корне, они потом регенерируют Ссылка на комментарий
Sundance Опубликовано 10 июня, 2015 Автор Поделиться Опубликовано 10 июня, 2015 На сколько я понял, это банальное ортодонтическое удлинениездесь хирургическая екструзия Ссылка на комментарий
zzkz Опубликовано 10 июня, 2015 Поделиться Опубликовано 10 июня, 2015 здесь хирургическая екструзия как удаляли, периотомом связку то рвем? Ссылка на комментарий
Sundance Опубликовано 10 июня, 2015 Автор Поделиться Опубликовано 10 июня, 2015 как удаляли, периотомом связку то рвем?да но на корне остаются места со связкой и чем их больше тем больше шансов что будет полное востановление приодонта , правда в етом случаи другая ситуация корень уходил под кость на 2 мм пришлось на недельку поставить ортодонтическую тягу и только после етого удалять Ссылка на комментарий
ПалСаныч Опубликовано 10 июня, 2015 Поделиться Опубликовано 10 июня, 2015 Тогда зачем удалять, если можно вытянуть? 1 Ссылка на комментарий
anvladd Опубликовано 10 июня, 2015 Поделиться Опубликовано 10 июня, 2015 Интересно конечно, но для чего это всё? 1 Ссылка на комментарий
Sundance Опубликовано 10 июня, 2015 Автор Поделиться Опубликовано 10 июня, 2015 Тогда зачем удалять, если можно вытянуть?результат почти одинаковій но здесь у корня еще дефект дистально нада было ево повернуть + так еще быстрее Ссылка на комментарий
syrovovec Опубликовано 10 июня, 2015 Поделиться Опубликовано 10 июня, 2015 И сколько по времени? Ссылка на комментарий
Sundance Опубликовано 10 июня, 2015 Автор Поделиться Опубликовано 10 июня, 2015 Интересно конечно, но для чего это всё?пациент хотел спасти этот зуб))) робота имено в этом клиническом случаи експерементальная но в целом в аутотрансплантации результат 99% 1 Ссылка на комментарий
johniola Опубликовано 10 июня, 2015 Поделиться Опубликовано 10 июня, 2015 А ИМПЛАНТЫ Я НАЗАД ОТДАМ? 4 Ссылка на комментарий
Sundance Опубликовано 10 июня, 2015 Автор Поделиться Опубликовано 10 июня, 2015 И сколько по времени? при хирургической екструзии через 3 недели после удаления можно нагружать Ссылка на комментарий
Romanson Опубликовано 10 июня, 2015 Поделиться Опубликовано 10 июня, 2015 Как такие зубы шинируются, и через какое время шина снимается? Ссылка на комментарий
Рекомендуемые сообщения
Для публикации сообщений создайте учётную запись или авторизуйтесь
Вы должны быть пользователем, чтобы оставить комментарий
Создать аккаунт
Зарегистрируйте новый аккаунт в нашем сообществе. Это очень просто!
Регистрация нового пользователяВойти
Уже есть аккаунт? Войти в систему.
Войти