Перейти к содержанию
Стоматология для всех

замена коронки повлияла на внсч?


prohor

Рекомендуемые сообщения

Добрый день!

 

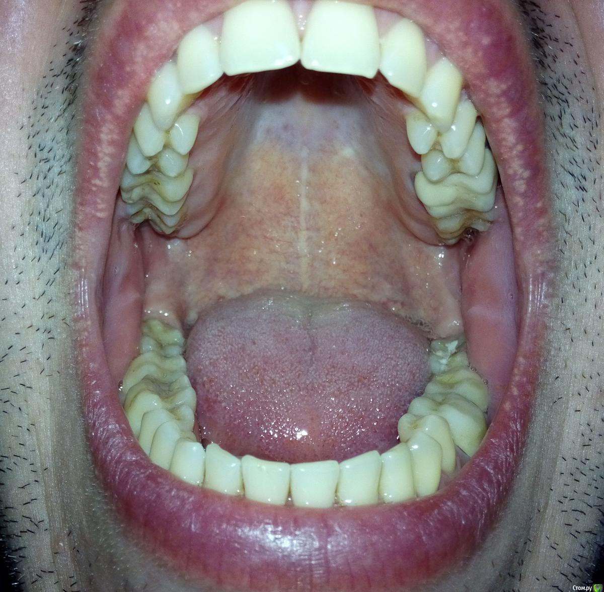
Мне 34 года. В связи с необходимостью перелечивания корней 36 и 37 зубов пришлось заменить металлокерамическую коронку. Однако, она мне не подошла: через несколько дней при смыкании нижняя челюсть начала какбы съезжать впред и влево, начали соприкасаться (ранее такого не было) передние левые зубы. Доктор объяснил это занижнием коронки в области 36 зуба. Сделали новую коронку, которую я носил неделю, но она мне тоже была неудобна (как бы завышала). Ее опять изменили, немного занизили. В результате почти месяц, ношения разных вариантов и в итоге:

* Ни с одним вариантом мне не было удобно. Сейчас не могу сомкнуть зубы, чтоб было удобно сразу и справа и слева как до лечения.

* Дней 14 назад появились боли в жевательных мышцах с обоих сторон. Сейчас болей нет (наверное, благодаря упражнениям описанным ниже), но в внчс справа появились неприятные ощущения и пощелкивания, а слева (где стоит коронка) - похрустывания. Основной дискомфорт в внчс противовположном коронке.

* раньше, со старыми коронками, жевать на эту сторону (где короник) было не совсем удобно. Сейчас, вроде бы, удобнее (субъективно).

* Безболезненно широко открывается рот. Но (!) траектория открытия делает небольшой изгиб отклонение вправо (противовположно коронке и в сторону проблемного сустава). Этот сдвиг происходит при зазоре зазоре 1 см между зубами. Ранее за этим не следил.

* Зубы сомкнутыми не держу и ночью тоже (по крайней мере так думаю).

 

 На днях был на кафедре ортодонтии в стомат_академии (Полтава) у доцента. Объяснил, что у меня такое строение нижней челюсти, что слева,где стоит коронка, кость (ветвь челюсти, я так понял) короче (по снимку якобы на 5 мм). Это, и замена коронки дала толчок к тому, что произошло.  Дискомфорт в внчс объяснил напряжнием мышц. Рекомендовал:

1. Препараты для расслабления мышц

2. Упраженния для расслабления мышц (открывание рта с поднятым языком, щелканье языком и т.д)

3. Массаж жевательных, височных, затылочных и мышц воротниковой зоны.

4. Следить за осанкой и укреплять ее упражнениями.

5. Форма теперешних коронок его устроила.

6. Если не помогут упржнения, то  расслабляющая капа.

 

Подскажите, что было быправильным в дальнейшем предпринимать?

1. Продолжить лечение и упражнения для суставов, а потом, если надо, изменять форму коронки.

2. Срочно менять форму коронки с которой будет удобно. Возможно искать другую клинику/техника, чтоб коронку делали на хорошем артикуляторе с учетом моих особенностей. Так как теперешние коронки делают (как мне объяснили) на оклюдаторе. Возможно из-за этого проблема. (?)

 

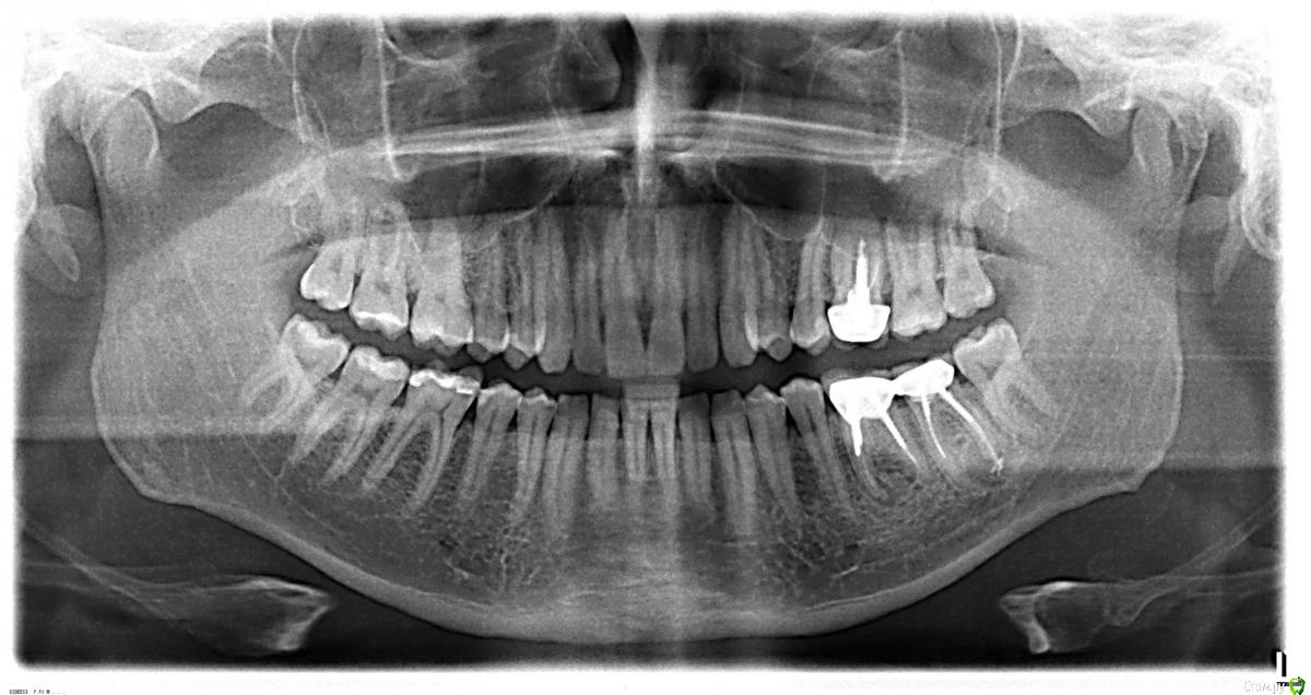
ЗЫ. Снимок ВНЧС (по просьбе доктора) сделан в "неудобном" положении смыкания.

 

ЗЗЫ. Переживаю, чтобы не предпринять действий, последствия которых не смогу изменить, и что не сделаю того, что нужно сейчас срочно сделать.

 

Заранее спасибо за потраченое не меня время.

post-43519-0-83841800-1433850088_thumb.jpg

post-43519-0-83354200-1433850113_thumb.jpg

post-43519-0-83025200-1433850150_thumb.jpg

post-43519-0-10876300-1433850172_thumb.jpg

post-43519-0-81061700-1433850199_thumb.jpg

post-43519-0-42457600-1433850379_thumb.jpg

Изменено пользователем prohor
Ссылка на комментарий

-когда делали снимок с открытым ртом, на сколько рот открыли????  

на снимки головки чрезмерно вперед ушли. 

 

-если есть нарушения функции сустава, то "щелканье языком" не поможет!)) 

- померила линейкой ветви - разницы не нашла, тем более в 5 мм. 

- дисфункция сустава у Вас была уже давно, но в момент замены коронки  она себя проявила. 

-судя по бугристости на углах нижней челюсти и фасеткам стираемости  на многих зубах , Вы- бруксист! и еще тот!)  отсюда и симптоматика, и боли в мышцах. 

Ссылка на комментарий

-когда делали снимок с открытым ртом, на сколько рот открыли????  

Очень широко - как бегемот :-)

Изменено пользователем prohor
Ссылка на комментарий

>> -если есть нарушения функции сустава, то "щелканье языком" не поможет!)) 

Я как бы и не спорю. :) Но как я понял, упор был не просто на щелканья языком. А на комплексное соблюдение всех вышеописанных мероприятий (и четко и правильно выполнять упражнения) Так же меня удивило, что она это напрямую свзывает именно с тем, что я имею проблему с осанкой (да это так, возможно у меня и есть скалиоз, никогда не обращал на это внимание, но близкие это отмечают), ассиметрю в строении ветвей нижней челюсти (якобы по ее словам) и нервное беспокойство или перенепряжение на этом фоне.

Собственно замкнутый круг какой-то :)

 

>>- померила линейкой ветви - разницы не нашла, тем более в 5 мм. 

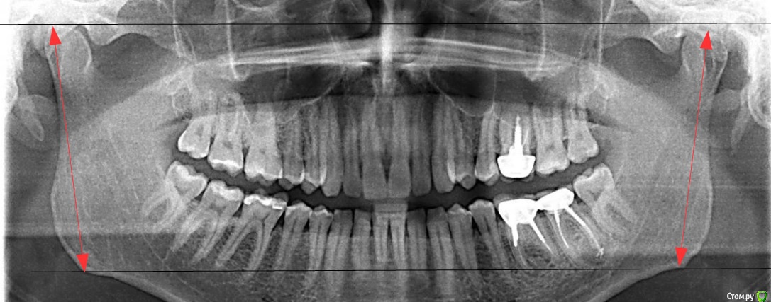
А если посмотреть как на вложенном ниже рисунке?

 

>>-судя по бугристости на углах нижней челюсти и фасеткам стираемости  на многих >>зубах , Вы- бруксист! и еще тот!)  отсюда и симптоматика, и боли в мышцах. 

Дело в том, что жена (человек спящий со мной бок о бок более 10 лет) ни разу не отмечала скрежет во сне. По утрам никогда не болели мышцы. У меня обычно другая проблема -  могу спать с полуоткрытоым ртом так, что (простите за подробность) вытекают слюни и мокнет подушка :-)

Так же могу отметить, что форма старых 36 и 37 металлокерамичких коронок и старых зубов была плоскими (почти ровная площадка), стоматологи это свзязывали с тем, что зубы антагонисты соприкасались бугор-бугор, а не бугор-впадина. Самое инетерсное, что сейчас мне сделали бугры на коронке, которые попадают в впадины, но этот доцент, не зная какими были ранее зубы и коронки, констатировала, что ранее они были плоскими. Может стОит вернуться к старым формам? :wacko:

 

Посоветуйте, с чего начать?  Проблема с внчс была и вылезла из-за коронок, это факт. Но что теперь делать с коронками? Они могут усугублять проблему? Если да, как "искать" нужную мне форму?

post-43519-0-70022800-1434093271_thumb.jpg

Изменено пользователем prohor
Ссылка на комментарий

 

 

>>-судя по бугристости на углах нижней челюсти и фасеткам стираемости  на многих >>зубах , Вы- бруксист! и еще тот!)  отсюда и симптоматика, и боли в мышцах. 

Дело в том, что жена (человек спящий со мной бок о бок более 10 лет) ни разу не отмечала скрежет во сне. По утрам никогда не болели мышцы. 

 

может потому что она тоже спит???)))) Вы же не на всю квартиру скрепите)

мышцы не обязательно должны болеть. (Как бруксер, сужу по себе)

Ссылка на комментарий

 

>>- померила линейкой ветви - разницы не нашла, тем более в 5 мм. 

А если посмотреть как на вложенном ниже рисунке?

 

 

измерила по Вашим стрелочкам. разница в 1 мм (и то погрешность может быть)

может у меня линейка  не такая? :)

 

сколько времени прошло после последней коронки? есть сейчас реальные проблемы?  

все мы не идеальны и не бывает абсолютно здоровых людей. Некоторые проблемы с ВНЧС могут появляться и  со временем исчезать. не торопитесь во все тяжкие , понаблюдайте еще за собой, появятся ли какие-нибудь еще жалобы. 

Ссылка на комментарий

измерила по Вашим стрелочкам. разница в 1 мм (и то погрешность может быть)

может у меня линейка  не такая? :)

 

сколько времени прошло после последней коронки? есть сейчас реальные проблемы?  

все мы не идеальны и не бывает абсолютно здоровых людей. Некоторые проблемы с ВНЧС могут появляться и  со временем исчезать. не торопитесь во все тяжкие , понаблюдайте еще за собой, появятся ли какие-нибудь еще жалобы. 

Насчет разницы в длинне ветвей спорить не могу - возможно Вы правы.

 

После последней замены коронки (это 36 и 37 зуб) прошло около 3 с лишним недель. Из реальных проблем это:

* с правой стороны: легкая заложенность в ухе (ощущение как попала вода или как в

  самолете при наборе высоты); а при жевании, чистке зубов, полоскнии рта возникает звук

  и чувсвто как быто какойто хрящик в области уха "скачет" туда-сюда, боли нет, но очень

  необычно и неприятно както;

* слева при открытии рта в области внчс слышно потрескивания или похрустывания;

* при смыкании зубов не могу сомкнуть так, чтоб было удобно и слева и справа.

* иногда раз в несколько дней может возникать чувство что мышцы (ощущается в области

  середины ветвей челюсти и гдето внутри за ухом) слева и справа как бы очень напряжены,

  словно "каменеют". После этого не могу сомкнуть зубы чтоб было хоть как то удобно, зубы

  как бы не находят места.

* иногда в течении дня могу заметить, что самопроизвольно могу сомкнуть челюсть только

  передними и нижними  зубами (ставлю верх на низ), как только это замечаю, сразу

  прекращаю так деалать. Ранее такого не замечал.

 

Ходил давеча на консультатцию к профессору на кафедру хирургической стоматологии тут в Полтаве. После осмотра он сказал, что у меня подвывих сустава. Сделал нехитрую манипуляцию (я открыл рот, он его резко закрыл, при этом вектор силы шел от левой части подбородка к правому суставу) и сказал, что "выставил" сустав на место. Спросил, чувствую ли улучшения - по-моему изменений не было. Приказал явиться через неделю, до этого не открывать широко рот. После этого "поигрывания хрящика" как описал выше прошли. Хотя может это все субъективно или эффект плацебо. Но после жевания во время ужина "поигрывания хрящика" вернулись :-(. Насчет того, что делать с коронкой он не знает - сказал иди к ортопедам.

 

Таким образом, мне совсем ничего не понятно. Есть дисфункция и коронка неправильной формы. Что делать? Лечить сустав, а если форма коронки неправильная, то сустав будет неправильно функционировать и толку от лечения? Если менять коронку, то как, ведь сустав сейчас неправильно работает и как подбирать ее форму?

Или я не прав?

 

ЗЫ. Поменял, блин, короночку называется  :(

Изменено пользователем prohor
Ссылка на комментарий

Для публикации сообщений создайте учётную запись или авторизуйтесь

Вы должны быть пользователем, чтобы оставить комментарий

Создать аккаунт

Зарегистрируйте новый аккаунт в нашем сообществе. Это очень просто!

Регистрация нового пользователя

Войти

Уже есть аккаунт? Войти в систему.

Войти
×
×
  • Создать...
Вверх