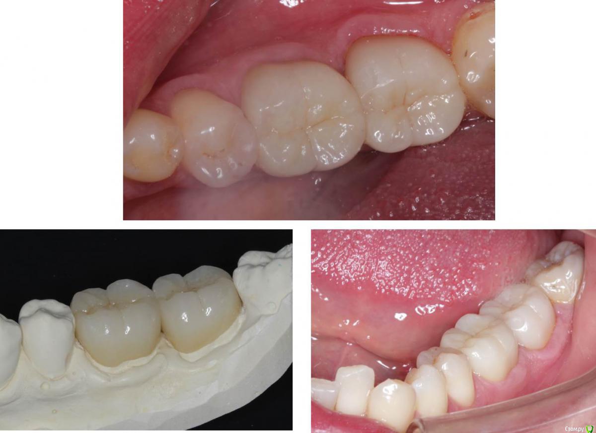
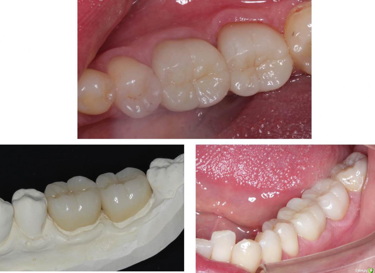
Хью Крейн Опубликовано 8 июня, 2015 Поделиться Опубликовано 8 июня, 2015 С данным видом коронок еще не работал. ТТХ почитал в интернете. А вот как правильно под них препарировать, найти не могу Спецы, помогайте! Ссылка на комментарий
Larnary Опубликовано 8 июня, 2015 Поделиться Опубликовано 8 июня, 2015 (изменено) Я препарирую с уступом чуть больше,чем под emax, примерно 0,5-0,7мм.но делаю преттау очень редко,в основном когда низкая клиническая коронка. Изменено 8 июня, 2015 пользователем Larnary Ссылка на комментарий
Паращук Роман Опубликовано 9 июня, 2015 Поделиться Опубликовано 9 июня, 2015 Делал только пару раз. Уступ 0.6,07.По коронке -1-1,4 мм. Был экстремальный случай где места по жеватке было местами не более 0,5. Три года в эксплуатации пока все ок. Ссылка на комментарий
Rumata Опубликовано 9 июня, 2015 Поделиться Опубликовано 9 июня, 2015 Встречал информацию, что цельноциркониевые коронки приводят в большинстве случаев к трещинам эмали антагонистов(если антагонисты интактные). А что касаемо препа, по моему все стандартно. Ссылка на комментарий
Evikrol Опубликовано 9 июня, 2015 Поделиться Опубликовано 9 июня, 2015 Только сегодня сдал две такие коронки претау. Первый раз. Ничего особенного. Ссылка на комментарий
DR.P Опубликовано 9 июня, 2015 Поделиться Опубликовано 9 июня, 2015 А действительно будет ли физиологическая стираемость у коронок претау? Ведь облицовки нет! На сколько мне известно любая керамика имеет схожее свойство истираться как у эмали зубов. Ссылка на комментарий
Mailze Опубликовано 10 июня, 2015 Поделиться Опубликовано 10 июня, 2015 А действительно будет ли физиологическая стираемость у коронок претау? Ведь облицовки нет! На сколько мне известно любая керамика имеет схожее свойство истираться как у эмали зубов. Ни разу не видел, чтобы классическая керамика стерлась (может быть просто плохо смотрел). Если не считать, что стирание керамики осуществляется путем отслоения крупных осколков. :D А эмаль антагонистов стертую керамикой вижу постоянно. Классическая керамика более абразивная, эмаль с нею не справляется. Ссылка на комментарий
molchanoff Опубликовано 10 июня, 2015 Поделиться Опубликовано 10 июня, 2015 А действительно будет ли физиологическая стираемость у коронок претау? Ведь облицовки нет! На сколько мне известно любая керамика имеет схожее свойство истираться как у эмали зубов.вроде твердость керамики выше эмали Ссылка на комментарий
StomV Опубликовано 1 июля, 2015 Поделиться Опубликовано 1 июля, 2015 А кто какие коронки предпочитает ставить при антагонистах интактнвх или около того? Ссылка на комментарий
Doc.IQ Опубликовано 3 июля, 2015 Поделиться Опубликовано 3 июля, 2015 Я думаю,все зависит от конкретного клинического случая..работаю и с Е-мах и ДЦ..предпочтение отдаю E-max..ДЦ как по мне он "скользкий" чтоли и что самое главное,его не приклеишь..делаю его в случаях,с низкой клинической коронкой,с обЯзательным ретенционым пропилом(для подстраховки)..или когда в области жеват.зубов делается вкв кхс,т.к.ДЦ любой металл скроет,работает в таких случаях отлично..по поводу препарирования под цельноцирконивую коронку,Сдесь ничего особенного нет,главное дать толщину 0,5..не меньше..что касается истирания антогонистов,никогда не видел,чтобы у керамики была такая же стираемость как и у эмали..ДЦ в этом плане я думаю поагрессивнее будет по отношению интактного зуба.. Ссылка на комментарий
StomV Опубликовано 24 ноября, 2015 Поделиться Опубликовано 24 ноября, 2015 Е-махА кто-нибудь делал пресс e.max в полную анатомию при антагоничтах интактных,насколько быстро стирает эмаль? Ссылка на комментарий
Сева северный Опубликовано 24 ноября, 2015 Поделиться Опубликовано 24 ноября, 2015 А кто-нибудь делал пресс e.max в полную анатомию при антагоничтах интактных,насколько быстро стирает эмаль?Делаю и ДЦ и e max Причем сам. Стирать антогонисты.....будет и то и другое . Если нужно уменьшить, сей фактор делайте поливошпат. 1 Ссылка на комментарий
Сева северный Опубликовано 24 ноября, 2015 Поделиться Опубликовано 24 ноября, 2015 А кто-нибудь делал пресс e.max в полную анатомию при антагоничтах интактных,насколько быстро стирает эмаль?Делаю и ДЦ и e max . Стирать антогонисты.....будет и то и другое . Если нужно уменьшить, сей фактор делайте поливошпат. Ссылка на комментарий
chervoncevdaniil Опубликовано 24 ноября, 2015 Поделиться Опубликовано 24 ноября, 2015 В чем разница(преимущества/недостатки)технологии Prettay по сравнению с другими технологиями изготовления коронок из циркона? Ссылка на комментарий
Сева северный Опубликовано 25 ноября, 2015 Поделиться Опубликовано 25 ноября, 2015 В чем разница(преимущества/недостатки)технологии Prettay по сравнению с другими технологиями изготовления коронок из циркона?Предпочитаю делать коронки из претау, в полную анатомию, в зонах повышенной жевательной нагрузки… на мой взгляд это практически единственный вариант протезирования.. при бруксизме. Из преимуществ: прочность, минимальный преп.. ( ведь керамика не наносится) .. неплохая эстетика ( антериор по проницаемости , сравним с LT- e max) … Цифра. Отлично на имплантатах. В общем…хороший вариант для демократичных работ, как ... альтернатива индивидуальным. + из него можно выйти в редукцию ..облицевав необходимую поверхность керамикой. Ссылка на комментарий
chervoncevdaniil Опубликовано 25 ноября, 2015 Поделиться Опубликовано 25 ноября, 2015 Предпочитаю делать коронки из претау, в полную анатомию, в зонах повышенной жевательной нагрузки… на мой взгляд это практически единственный вариант протезирования.. при бруксизме. Из преимуществ: прочность, минимальный преп.. ( ведь керамика не наносится) .. неплохая эстетика ( антериор по проницаемости , сравним с LT- e max) … Цифра. Отлично на имплантатах. В общем…хороший вариант для демократичных работ, как ... альтернатива индивидуальным. + из него можно выйти в редукцию ..облицевав необходимую поверхность керамикой.Другие системы не позволяют делать циркон в полную анатомию или прочность ниже? Ссылка на комментарий
Сева северный Опубликовано 25 ноября, 2015 Поделиться Опубликовано 25 ноября, 2015 Другие системы не позволяют делать циркон в полную анатомию или прочность ниже?Позволяют ...но про Prettay... вы сами спросили Ссылка на комментарий
chervoncevdaniil Опубликовано 25 ноября, 2015 Поделиться Опубликовано 25 ноября, 2015 Просто претау на слуху,а других систем я даже вспомнить не могу,вот и задался вопросом-это грамотный пиар и маркетинг или они действительно лучшие,как например в случае пресс керамики от ivoclar Ссылка на комментарий
StomV Опубликовано 25 ноября, 2015 Поделиться Опубликовано 25 ноября, 2015 Цирконий в полную анатомию очень быстро должен стереть антагонисты. Ссылка на комментарий
molchanoff Опубликовано 25 ноября, 2015 Поделиться Опубликовано 25 ноября, 2015 циркон не фиксируется адгезивно+ за E.max Ссылка на комментарий
Сева северный Опубликовано 25 ноября, 2015 Поделиться Опубликовано 25 ноября, 2015 Цирконий в полную анатомию очень быстро должен стереть антагонисты.Не сотрет если антогонисты ...тоже цельный цирконий. 1 Ссылка на комментарий
Сева северный Опубликовано 25 ноября, 2015 Поделиться Опубликовано 25 ноября, 2015 циркон не фиксируется адгезивно+ за E.max E.max противопоказан при бруксизме. Ссылка на комментарий
molchanoff Опубликовано 26 ноября, 2015 Поделиться Опубликовано 26 ноября, 2015 ну дык если идет речь о протезировании, то нормализация окклюзии избавит от бруксизма Ссылка на комментарий
Сева северный Опубликовано 28 ноября, 2015 Поделиться Опубликовано 28 ноября, 2015 ну дык если идет речь о протезировании, то нормализация окклюзии избавит от бруксизмаВы можете гарантировать это ...со 100% уверенностью??? Ссылка на комментарий
Рекомендуемые сообщения
Для публикации сообщений создайте учётную запись или авторизуйтесь
Вы должны быть пользователем, чтобы оставить комментарий
Создать аккаунт
Зарегистрируйте новый аккаунт в нашем сообществе. Это очень просто!
Регистрация нового пользователяВойти
Уже есть аккаунт? Войти в систему.
Войти