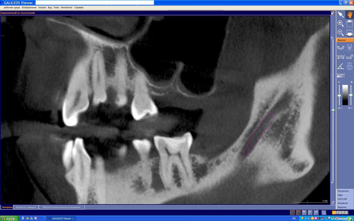
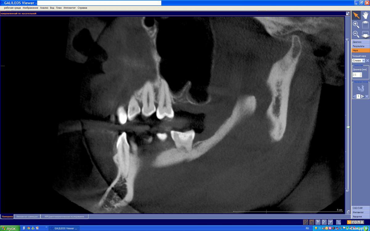
Azara Опубликовано 7 июня, 2015 Поделиться Опубликовано 7 июня, 2015 Здравствуйте, уважаемые специалисты. На консультации хирург-имплантолог изучив снимки КТ сказал, что случай сложный и из-за строения практически отсутствующей кости верхней челюсти нужно заполнять 2 полости, для чего потребуется сделать 2 окна в кости через которые будут проводится 2 операции по заполнению, и возможно что через год потребуется повторное заполнение. Ввиду физиологического строения, нехватку данного зуба я довольно остро ощущаю. Но к сожалению я морально не готова перенести такое добровольное "издевательство" над своим организмом. Врач сказал что на раздумья у меня полгода. Есть ли какая то другая возможность по восстановлению данного зуба без имплантации? Если все же только имплантация то другой способ синус-лифтинга? Зуб удален год назад. Заранее спасибо за ваше мнение. Ссылка на папку со снимками КТ https://yadi.sk/d/OksbhWPth8JVw И скриншоты с КТ Ссылка на комментарий
Mane Опубликовано 7 июня, 2015 Поделиться Опубликовано 7 июня, 2015 Ваш врач прав про два окна для доступа. Но это обычное дело. Хоть три. Кость никуда не рассосется если сделать правильно. Иного варианта нет. И уж извольте, это не издевательство хоть и в кавычках, а способ заиметь зубы в третий раз! 3 Ссылка на комментарий
doca Опубликовано 7 июня, 2015 Поделиться Опубликовано 7 июня, 2015 Без имплантации только съемный протез. По ощущениям, что одно окно,что два почти одинаковое издевательство Ссылка на комментарий
Azara Опубликовано 8 июня, 2015 Автор Поделиться Опубликовано 8 июня, 2015 Спасибо за ваши ответы, а по времени у меня действительно не более полугода на раздумья? Еще возник вопрос а через сколько после операции можно заниматься дайвингом??? И как обстоят дела с другими водными видами спорта??? Ссылка на комментарий
Bier Опубликовано 8 июня, 2015 Поделиться Опубликовано 8 июня, 2015 через 6 недель примерно Ссылка на комментарий
Рекомендуемые сообщения
Для публикации сообщений создайте учётную запись или авторизуйтесь
Вы должны быть пользователем, чтобы оставить комментарий
Создать аккаунт
Зарегистрируйте новый аккаунт в нашем сообществе. Это очень просто!
Регистрация нового пользователяВойти
Уже есть аккаунт? Войти в систему.
Войти