Юми Опубликовано 6 июня, 2015 Поделиться Опубликовано 6 июня, 2015 http://s017.radikal.ru/i416/1506/81/8bb1761d14c5.jpg24,25 зубы что можно сделать Ссылка на комментарий
Scrabble Опубликовано 6 июня, 2015 Поделиться Опубликовано 6 июня, 2015 (изменено) Перелечить. Хотя 24-не исключено, что треснул. Изменено 6 июня, 2015 пользователем Scrabble Ссылка на комментарий
Юми Опубликовано 6 июня, 2015 Автор Поделиться Опубликовано 6 июня, 2015 Спасибо, врач тоже предположил что есть трещинаКТ сделаю завтра, но к врачу только во вторник попаду (а зуб 25 болит и температура(() Ссылка на комментарий
Паращук Роман Опубликовано 6 июня, 2015 Поделиться Опубликовано 6 июня, 2015 Спасибо, врач тоже предположил что есть трещинаКТ сделаю завтра, но к врачу только во вторник попаду (а зуб 25 болит и температура(()кт трещину не покажет,если она не в палец.ПиСи 4,5,и лучше 6 переделать Ссылка на комментарий
Юми Опубликовано 6 июня, 2015 Автор Поделиться Опубликовано 6 июня, 2015 Что же делать? А если вынуть вкладку (если получится) ? Ссылка на комментарий
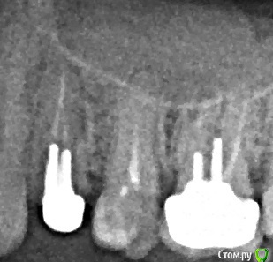
Юми Опубликовано 6 июня, 2015 Автор Поделиться Опубликовано 6 июня, 2015 Есть еще такой снимок Ссылка на комментарий
Scrabble Опубликовано 6 июня, 2015 Поделиться Опубликовано 6 июня, 2015 (изменено) Если температура-не ждите до вторника, это для организма целая вечность. Прямо завтра с утра идите. Да, 24 трещина на 99,9% Изменено 6 июня, 2015 пользователем Scrabble Ссылка на комментарий
Юми Опубликовано 6 июня, 2015 Автор Поделиться Опубликовано 6 июня, 2015 Спасибо, я перезаписалась уже на завтра (но примут только на "посмотреть КТ") Ссылка на комментарий
Юми Опубликовано 6 июня, 2015 Автор Поделиться Опубликовано 6 июня, 2015 Трещина в этом месте? Ссылка на комментарий
Scrabble Опубликовано 6 июня, 2015 Поделиться Опубликовано 6 июня, 2015 (изменено) По острой боли нужно сделать что-то, а не посмотреть. Думаю, Вас в беде не оставят. Трещина не обязательно там. Изменено 6 июня, 2015 пользователем Scrabble Ссылка на комментарий
Юми Опубликовано 6 июня, 2015 Автор Поделиться Опубликовано 6 июня, 2015 Да нет, завтра времени на меня не будет...Если только в другую клинику записаться сразу на удаление? Ссылка на комментарий
shishok Опубликовано 6 июня, 2015 Поделиться Опубликовано 6 июня, 2015 В другую,но на лечение. Ссылка на комментарий
Scrabble Опубликовано 6 июня, 2015 Поделиться Опубликовано 6 июня, 2015 Конечно. С воспалительной реакцией шутки плохи. Ссылка на комментарий
Юми Опубликовано 6 июня, 2015 Автор Поделиться Опубликовано 6 июня, 2015 Если я запишусь на лечение, то могу опять потерять времяЗавтра в 11 - КТ - потом к хирургу тогда Там хоть имплант можно поставить будет? Ссылка на комментарий
Scrabble Опубликовано 6 июня, 2015 Поделиться Опубликовано 6 июня, 2015 Имплантат всегда можно. Завтра поинтересуйтесь, когда именно. И обратите внимание на пазуху-там есть пролиферативный процесс(скорее всего, одонтогенный) Спросите врача, не стоит ли посетить лора. Ссылка на комментарий
Юми Опубликовано 6 июня, 2015 Автор Поделиться Опубликовано 6 июня, 2015 Вот лора именно с этим вопросом я и посещала, он сказал что с зубами это не связано, после чего все равно поехала сделала орто и врач (в этой же клинике) сказала, что нет, у меня простуда, а так как у меня была температура, лечение зубов посоветовали отложить (ну а я затянула с этим) Ссылка на комментарий
Юми Опубликовано 6 июня, 2015 Автор Поделиться Опубликовано 6 июня, 2015 Все, к хирургу тоже завтра не попадаю(( Ссылка на комментарий
Юми Опубликовано 6 июня, 2015 Автор Поделиться Опубликовано 6 июня, 2015 А можно ли будет удалить зуб и сразу же имплант поставить? Ссылка на комментарий
Юми Опубликовано 6 июня, 2015 Автор Поделиться Опубликовано 6 июня, 2015 Есть еще такой снимок, от ЛОРа, правда с наложением Ссылка на комментарий
Гарриевич Опубликовано 6 июня, 2015 Поделиться Опубликовано 6 июня, 2015 не торопитесь удалять зубдля постановки диагноза трещина корня, одного снимка маловато Ссылка на комментарий
Юми Опубликовано 6 июня, 2015 Автор Поделиться Опубликовано 6 июня, 2015 Пожалуй, заеду завтра еще к ЛОРу, у меня воспаление как-то вверх пошло, на гайморову пазуху нажимать больно(( Ссылка на комментарий
Юми Опубликовано 6 июня, 2015 Автор Поделиться Опубликовано 6 июня, 2015 Ну и как бы... если не спешить удалять, то что делать? Боль терпеть уже невозможно(( Ссылка на комментарий
Юми Опубликовано 7 июня, 2015 Автор Поделиться Опубликовано 7 июня, 2015 Проснулась с раздутой щекой, мне к хирургу? Ссылка на комментарий
Юми Опубликовано 7 июня, 2015 Автор Поделиться Опубликовано 7 июня, 2015 ясно спасибо Ссылка на комментарий
Рекомендуемые сообщения
Для публикации сообщений создайте учётную запись или авторизуйтесь
Вы должны быть пользователем, чтобы оставить комментарий
Создать аккаунт
Зарегистрируйте новый аккаунт в нашем сообществе. Это очень просто!
Регистрация нового пользователяВойти
Уже есть аккаунт? Войти в систему.
Войти