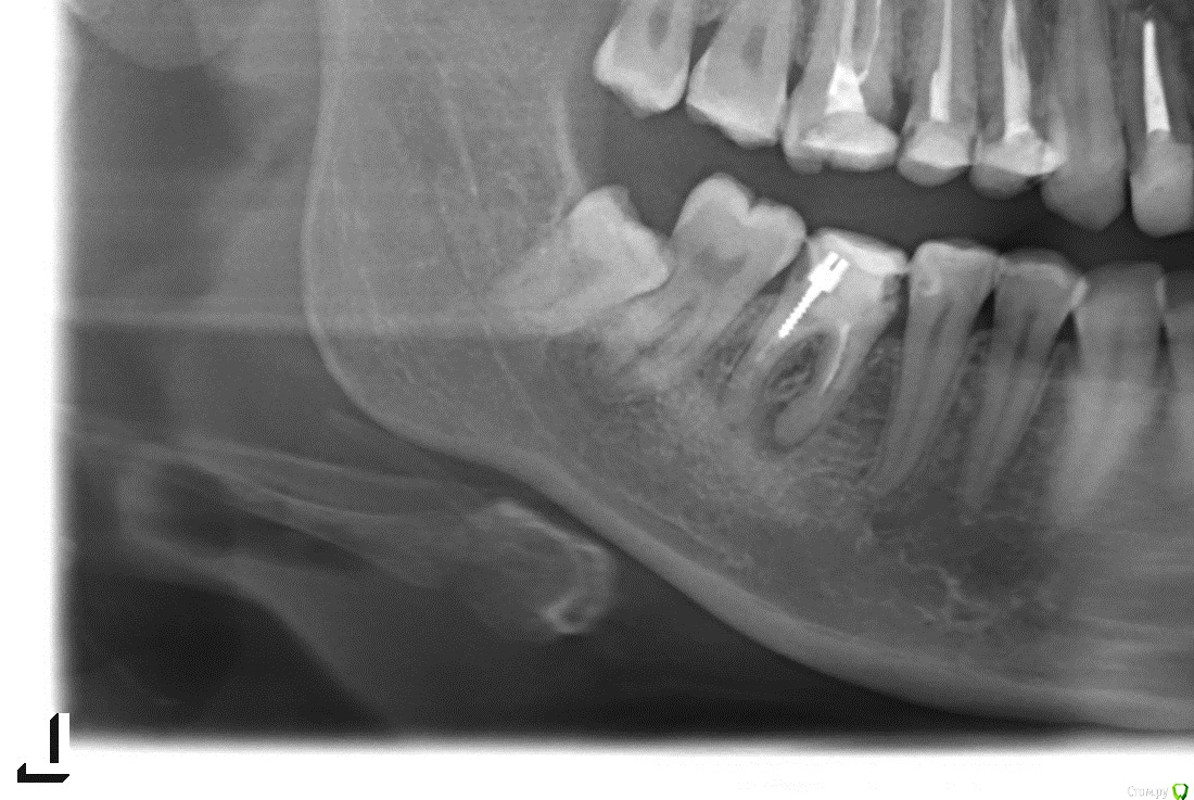
Анна 1986 Опубликовано 5 июня, 2015 Поделиться Опубликовано 5 июня, 2015 Посмотрите пожалуйста по снимку на шестерку, там киста и мнение врачей в моем городе разделилось, кто-то говорит лечить (но дорого и долго), кто-то не маяться ("спасать тут нечего - и каналы плохо залечены и от пломбы ничего не осталось") и удалять и ставить имплант Ваше мнение? Ссылка на комментарий
Bier Опубликовано 5 июня, 2015 Поделиться Опубликовано 5 июня, 2015 я бы отправил на лечение. Но терапевт должен быть сильным. Есть ли в Вашем городе такой - неизвестно. Можете и просто выбросить деньги. Ссылка на комментарий
red_butler Опубликовано 5 июня, 2015 Поделиться Опубликовано 5 июня, 2015 Начать с диагностического препарирования, снять пломбу и убрать пораженные кариесом ткани. Ссылка на комментарий
diesel87 Опубликовано 5 июня, 2015 Поделиться Опубликовано 5 июня, 2015 (изменено) Я б удалил, восьмерку! Изменено 5 июня, 2015 пользователем diesel87 Ссылка на комментарий
Гарриевич Опубликовано 5 июня, 2015 Поделиться Опубликовано 5 июня, 2015 Я бы лечил Ссылка на комментарий
red_butler Опубликовано 5 июня, 2015 Поделиться Опубликовано 5 июня, 2015 Я б удалил, восьмерку! Я бы обе убрал Ссылка на комментарий
red_butler Опубликовано 5 июня, 2015 Поделиться Опубликовано 5 июня, 2015 Я бы лечилменя фуркация смущает, уж больно разбита Ссылка на комментарий
Гарриевич Опубликовано 5 июня, 2015 Поделиться Опубликовано 5 июня, 2015 меня фуркация смущает, уж больно разбитаЗуб вообще потрепанный,Но при адекватном лечении думаю выживетЕстественно если в реале все как минимум так же, как на снимке Ссылка на комментарий
diesel87 Опубликовано 5 июня, 2015 Поделиться Опубликовано 5 июня, 2015 Я бы обе убралсогласен!) Ссылка на комментарий
Анна 1986 Опубликовано 5 июня, 2015 Автор Поделиться Опубликовано 5 июня, 2015 А зачем восьмерку удалять? Она никак не тревожит (или это временное затишье?) Ссылка на комментарий
red_butler Опубликовано 6 июня, 2015 Поделиться Опубликовано 6 июня, 2015 А зачем восьмерку удалять? для того, что бы не потерять седьмой зуб Ссылка на комментарий
Alejandro Опубликовано 8 июня, 2015 Поделиться Опубликовано 8 июня, 2015 Я бы обе убрал +1 Ссылка на комментарий
cor Опубликовано 12 июня, 2015 Поделиться Опубликовано 12 июня, 2015 Я бы попробовал лечить. Начало работы - без гарантий(пока не понятно что будет), ну и без денег соответсвенно. Ссылка на комментарий
Рекомендуемые сообщения
Для публикации сообщений создайте учётную запись или авторизуйтесь
Вы должны быть пользователем, чтобы оставить комментарий
Создать аккаунт
Зарегистрируйте новый аккаунт в нашем сообществе. Это очень просто!
Регистрация нового пользователяВойти
Уже есть аккаунт? Войти в систему.
Войти