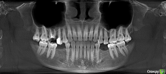
marilinka Опубликовано 4 июня, 2015 Поделиться Опубликовано 4 июня, 2015 Добрый вечер, уважаемые стоматологи!На данный момент верхняя челюсть 1 зуб, 16 под удаление......хотелось бы имплантировать, но очень боюсь, что близко к гайморовой пазухе.....в данном случае, а именно в верхней челюсти, не обойтись без синуслифтинга?И как лучше его делать непосредственно при удалении или по прошествии какого то времени?Нижняя челюсть, первичная адентия(надеюсь правильно выразилась)двух пятерок, зубов там нет даже не помню сколько лет, но лет 15-17 точно, была у 2 хирургов и оба говорят, что в местах отсутствующих зубов очень большие промежутки, то есть для 1 зуба много места, а для 2 мало.Мне бы самой очень хотелось восстановить на данный момент нижний ряд, т.к. состояние рядом находящихся зубов меня очень беспокоит. Насколько вообще возможна там имплантация, хватит ли костной ткани, возможно ли с помощью ортодонта чуть-чуть сдвинуть зубки, чтобы был 1 полноценный зуб, а не полтора? Какое время эта процедура займет?Еще 1 хирург сказал, что по моей челюсти вообще плачет ортодонт, что все у меня криво, челюсти разные и верхняя челюсть выпирает, что все это нужно исправлять....честно первый раз такое услышала...Какие варианты-схемы имплантации возможны в моем случае?Очень надеюсь на советы. На врачей в своем городе к сожалению не могу понадеяться, была у 2 и об обоих не сложилось впечатление достаточно компетентных врачей в этом вопросе. Ссылка на комментарий
AlexanderGudkov Опубликовано 4 июня, 2015 Поделиться Опубликовано 4 июня, 2015 (изменено) По какому поводу решили удалять 16? Вы же хотели сохранять в предыдущей теме Изменено 4 июня, 2015 пользователем AlexanderGudkov Ссылка на комментарий
marilinka Опубликовано 4 июня, 2015 Автор Поделиться Опубликовано 4 июня, 2015 По какому поводу решили удалять 16? Вы же хотели сохранять в предыдущей теме2 стоматолог сказал,что все высверлится и от зуба ничего не останется, что она бы не взялась за это, а мне как то уже и боязно и страшно,что я столько времени с кистой хожу.Думаю конечно пока, думаю ищу эндодонтиста, но как то убедил меня этот хирург, что восстанавливать его, дело дрянь Ссылка на комментарий
Bier Опубликовано 4 июня, 2015 Поделиться Опубликовано 4 июня, 2015 надо лечить Ссылка на комментарий
faity Опубликовано 5 июня, 2015 Поделиться Опубликовано 5 июня, 2015 согласен с предыдущими высказываниями: надо лечить. Ссылка на комментарий
marilinka Опубликовано 5 июня, 2015 Автор Поделиться Опубликовано 5 июня, 2015 а вот так...поизвращалась как могла Ссылка на комментарий
Bier Опубликовано 5 июня, 2015 Поделиться Опубликовано 5 июня, 2015 засуньте в рот зеркало и попросите сфотографировать отражение, можно его подсветить фонариком Ссылка на комментарий
Рекомендуемые сообщения
Для публикации сообщений создайте учётную запись или авторизуйтесь
Вы должны быть пользователем, чтобы оставить комментарий
Создать аккаунт
Зарегистрируйте новый аккаунт в нашем сообществе. Это очень просто!
Регистрация нового пользователяВойти
Уже есть аккаунт? Войти в систему.
Войти