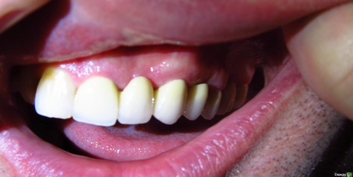
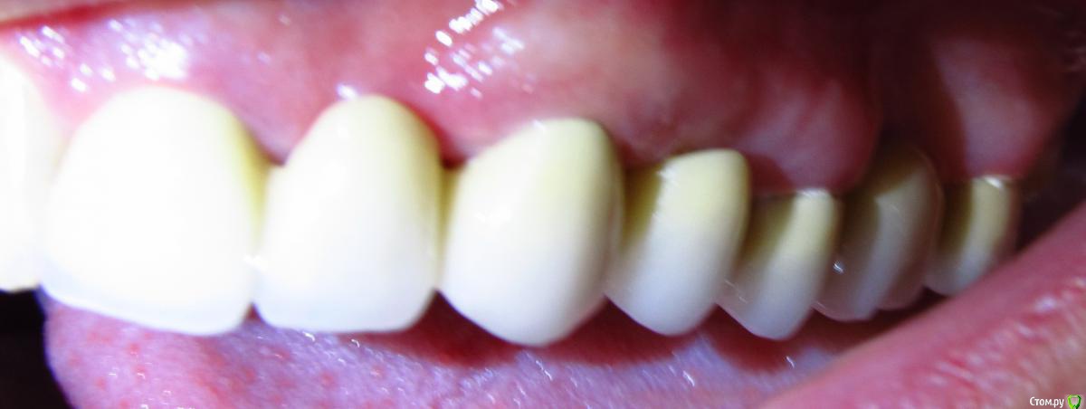
kolokol Опубликовано 4 июня, 2015 Поделиться Опубликовано 4 июня, 2015 Здравствуйте.Поставили мне на днях на временный цемент мост из 7 МК-коронок верхний ряд (зубы с 1 по 7). Мост установлен на вкладках и на обточенных зубах, вкладки установлены на 1-м и 3-м зубах, обточены 5-й и 7-й зубы, удалены 2-й, 4-й и 6-й зубы. Проблема в том, что присутствуют довольно таки большие боковые щели (зазоры) между коронкой и десной на 2-й и 4-й коронках, там где отсутствуют (были удалены) зубы, 6-ю коронку на фото плохо видно, но по ощущениям там примерно то же самое. Причем на 2-й коронке щель снаружи и изнутри самая большая, получается практичечки сквозная дыра. Пища застревает в этих щелях между коронками и деснами и очень трудно ее выковырять-промыть, очень большой дискомфорт из-за этого. На примерке я этого то ли не заметил, то ли не так было как-то, не понимаю, честно говоря. Вообще я знаю, что должно быть промывочное пространство, но не такое же большое. Вобщем, подскажите пожалуйста, это нормально, и если это не нормально, то что лучше сделать в этой ситуации, настаивать на переделке протеза или как то по-другому делается? Извиняюсь за качество фото, сфотографировал как смог, лучше не получается сфоткать. Ссылка на комментарий
kolokol Опубликовано 5 июня, 2015 Автор Поделиться Опубликовано 5 июня, 2015 Доброе утро! Просьба к специалистам, прокомментируйте пожалуйста мою ситуацию. Ссылка на комментарий
kolokol Опубликовано 5 июня, 2015 Автор Поделиться Опубликовано 5 июня, 2015 (изменено) up Изменено 5 июня, 2015 пользователем kolokol Ссылка на комментарий
kolokol Опубликовано 6 июня, 2015 Автор Поделиться Опубликовано 6 июня, 2015 Спасибо всем за советы, я смотрю у вас очень отзывчивый форум профессионалов! Ссылка на комментарий
red_butler Опубликовано 6 июня, 2015 Поделиться Опубликовано 6 июня, 2015 Спасибо всем за советы, я смотрю у вас очень отзывчивый форум профессионалов! терпение и Вам ответят 1 Ссылка на комментарий
Гарриевич Опубликовано 6 июня, 2015 Поделиться Опубликовано 6 июня, 2015 Если Вас это не устраивает, поговорите с доктором, я думаю решение найдется Ссылка на комментарий
M@estro Опубликовано 7 июня, 2015 Поделиться Опубликовано 7 июня, 2015 Решение проблемы застревания пищи есть, но обычно так делают мост сразу. Хотя поговорить стоит. И да,профессионалы работают по 12-14 часов. Ссылка на комментарий
kolokol Опубликовано 7 июня, 2015 Автор Поделиться Опубликовано 7 июня, 2015 Да я пошутил же! Извиняюсь, если кого обидел. Я сам работаю по 10-14 часов в сутки. С доктором своим я конечно разговаривал уже, предлагает добавить керамики там где щели-зазоры. Это нормально или нет? Я бы не стал создавать эту тему, если бы был уверен на 100% в предлагаемом врачом решении. Доктор молодой, вроде хороший спец, но насколько опытный, не знаю. У нас не очень большой город, и нет большого количества специалистов. Да и я до этого протезировался только один раз, очень давно (больше 10 лет назад), и ставили мне тогда только две коронки (коронка+протез), поэтому нет уверенности, как оно должно быть лучше. Поэтому и хотел спросить совета у других специалистов. Как-то так в общем. Ссылка на комментарий
doca Опубликовано 10 июня, 2015 Поделиться Опубликовано 10 июня, 2015 Да я пошутил же! Извиняюсь, если кого обидел. Я сам работаю по 10-14 часов в сутки. С доктором своим я конечно разговаривал уже, предлагает добавить керамики там где щели-зазоры. Это нормально или нет? Я бы не стал создавать эту тему, если бы был уверен на 100% в предлагаемом врачом решении. Доктор молодой, вроде хороший спец, но насколько опытный, не знаю. У нас не очень большой город, и нет большого количества специалистов. Да и я до этого протезировался только один раз, очень давно (больше 10 лет назад), и ставили мне тогда только две коронки (коронка+протез), поэтому нет уверенности, как оно должно быть лучше. Поэтому и хотел спросить совета у других специалистов. Как-то так в общем.да,можно добавить керамики Ссылка на комментарий
Рекомендуемые сообщения
Для публикации сообщений создайте учётную запись или авторизуйтесь
Вы должны быть пользователем, чтобы оставить комментарий
Создать аккаунт
Зарегистрируйте новый аккаунт в нашем сообществе. Это очень просто!
Регистрация нового пользователяВойти
Уже есть аккаунт? Войти в систему.
Войти