Перейти к содержанию
Стоматология для всех

смещение центра зубов


Елена46

Рекомендуемые сообщения

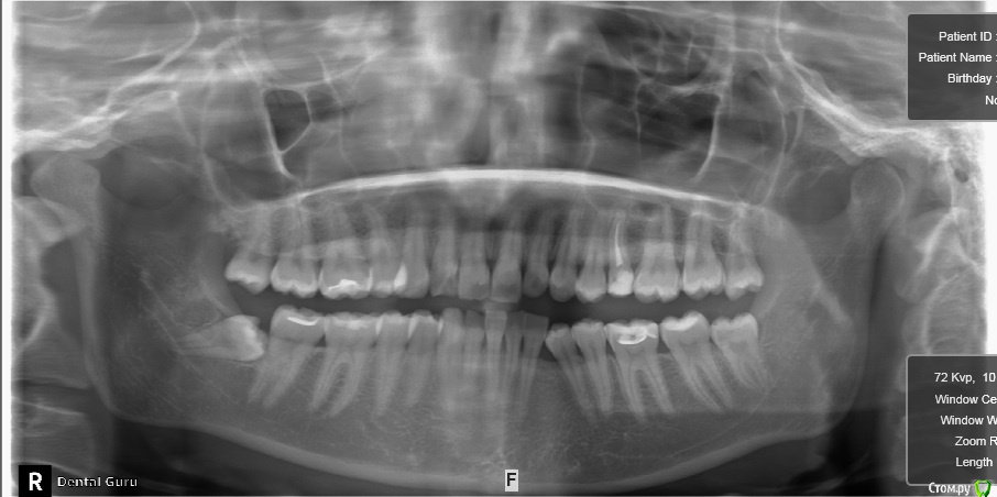
Здравстуйте! Мне 23 года.  У меня смещен центр верхней челюсти вправо и нижней влево. Больше беспокоит меня верх. На верхней челюсти, справа, отсутствует второй премоляр. На нижней клык слева. Премоляр мне в детстве удалили, он рос сверху зуба. Про нижний клык не помню. Проходила лечение не пластинке, не помню, к сожалению, почему. Очень хочу исправить эту ситуацию с зубами, но боюсь решиться, хочется получить гарантию от доктора, что все будет хорошо. Была на 3-х консультациях. На двух сказали что центр сместить нельзя. На одной доктор сказала, что нужно удалить сверху премоляр слева и снизу клык справа. Меня  интересует можно ли это исправить и каким методом, обязательно ли с удалением. Буду очень благодарна за помощь!!

post-43461-0-11136500-1433426624_thumb.jpg

post-43461-0-51373800-1433426625_thumb.jpg

post-43461-0-63657600-1433426626_thumb.jpg

post-43461-0-51033100-1433426627_thumb.jpg

post-43461-0-60355300-1433426628_thumb.jpg

post-43461-0-57034400-1433426629_thumb.jpg

post-43461-0-88100100-1433426630_thumb.jpg

post-43461-0-34744200-1433426632_thumb.jpg

Ссылка на комментарий

1. с какой целью Вы хотите лечиться? только из-за средней линии??? это не мотивация к долгому трудному и недешевому лечению.  Ситуация в полости рта , конечно,  далека от идеальных зубных взаимоотношений , но с этим можно жить!  если нет явных жалоб на функцию, то часто оставляют как есть, природа сама всё скомпенсировала.  

2. если все-таки хотите лечиться, то всё реально, только нужно запастись терпением.  Удалить все восьмерки, выставить средние линии, и  поставить импланты в область недостающих зубов.  Это вариант - максимум.

3. если хотите вариант минимум и просто что-то удалить наверху ради средней линии - то я бы не рекомендовала бы вообще тогда что-либо делать! сейчас у Вас всё скомпенсировано, а после ТАКИХ удалений очень высокая вероятность что начнутся уже реальные проблемы! да и с эстетической точки результатом Вы вряд ли останетесь довольны. 

  • Поддерживаю 1
Ссылка на комментарий

спасибо за ответы! я очень хочу красивую улыбку и, в связи с этим, решительно настроена на лечение. Если кто то может посоветовать мне ортодонта в Москве, буду очень признательна! У себя в Орле я доктора не нашла.

Ссылка на комментарий

 

 

Если кто то может посоветовать мне ортодонта в Москве, буду очень признательна! У себя в Орле я доктора не нашла.

 http://forum.stom.ru/topic/4747-posovetujte-ortodonta-v-gorode-n/напишите сюда

Ссылка на комментарий

Для публикации сообщений создайте учётную запись или авторизуйтесь

Вы должны быть пользователем, чтобы оставить комментарий

Создать аккаунт

Зарегистрируйте новый аккаунт в нашем сообществе. Это очень просто!

Регистрация нового пользователя

Войти

Уже есть аккаунт? Войти в систему.

Войти
×
×
  • Создать...
Вверх