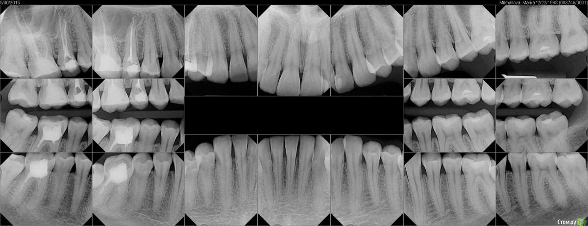
finitezza Опубликовано 3 июня, 2015 Поделиться Опубликовано 3 июня, 2015 Всем привет, подскажите пжта!Что это за потемнение около 26 зуба, в левом верхнем углу на снимке?Его лечила лет 5 назад, а 25, на днях лечила ( на снимке временная пл.). Ссылка на комментарий
red_butler Опубликовано 3 июня, 2015 Поделиться Опубликовано 3 июня, 2015 Это верхнечелюстной синус (гайморова пазуха) Ссылка на комментарий
finitezza Опубликовано 3 июня, 2015 Автор Поделиться Опубликовано 3 июня, 2015 Это верхнечелюстной синус (гайморова пазуха)А на другой стороне вроде нет этого, это нормально? Ссылка на комментарий
red_butler Опубликовано 3 июня, 2015 Поделиться Опубликовано 3 июня, 2015 А на другой стороне вроде нет этого, это нормально?на другой тоже есть, это нормально Ссылка на комментарий
finitezza Опубликовано 3 июня, 2015 Автор Поделиться Опубликовано 3 июня, 2015 на другой тоже есть, это нормальноСпасибо огромное, за ответ!Еще вопрос, что можно сказать по снимку? Мне говорит доктор каналы лечить на других 2х зубах, и ставить коронки, коронки конечно нужны, но нижний зуб 36 вроде, давно лечили, и все нормально, правда по снимку видно, что один канал не совсем заполнен. Может все таки так можно походить пока?Как вы считаете? Ссылка на комментарий
red_butler Опубликовано 3 июня, 2015 Поделиться Опубликовано 3 июня, 2015 Как вы считаете? Ваш врач прав, 3.6 перелечить и три зуба протезировать Ссылка на комментарий
finitezza Опубликовано 3 июня, 2015 Автор Поделиться Опубликовано 3 июня, 2015 Ваш врач прав, 3.6 перелечить и три зуба протезировать Протезировать вы имеете ввиду коронки? Ссылка на комментарий
red_butler Опубликовано 4 июня, 2015 Поделиться Опубликовано 4 июня, 2015 Протезировать вы имеете ввиду коронки?Да Ссылка на комментарий
Рекомендуемые сообщения
Для публикации сообщений создайте учётную запись или авторизуйтесь
Вы должны быть пользователем, чтобы оставить комментарий
Создать аккаунт
Зарегистрируйте новый аккаунт в нашем сообществе. Это очень просто!
Регистрация нового пользователяВойти
Уже есть аккаунт? Войти в систему.
Войти