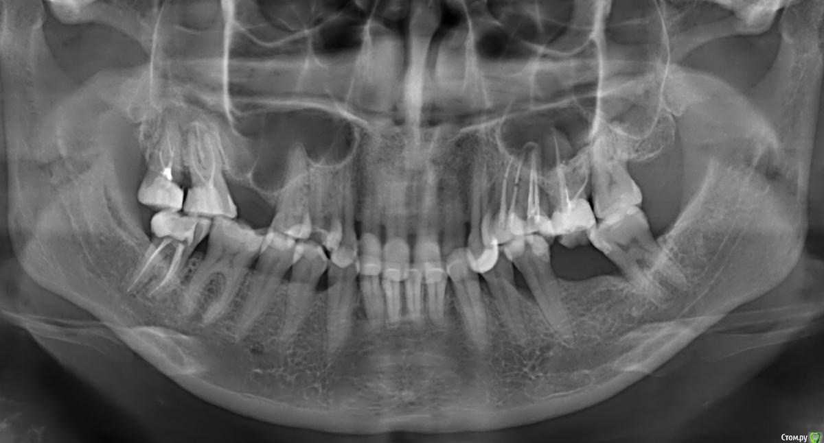
Нади999 Опубликовано 2 июня, 2015 Поделиться Опубликовано 2 июня, 2015 Помогите, пожалуйста с планом лечения и выбором специалистов: 1. Снижен прикус (2-3 мм.). 5 месяцев ношу капу (на ночь) для проверки реакции ВНЧС - с капой комфортно. - Возможно ли поднять прикус на 2 мм. на имплантах + пломбировочный материал или возможен только вариант импланты + коронки? 2. Проблема на верхней челюсти (7,8 на снимке слева). Образовалось киста. На месте предполагаемой имплантации (6-ка слева на снимке) недостаточно костного материала мене 1 мм. -Возможно ли сохранить последние зубы на верхней челюсти (7,8 на снимке слева) и сделать синус-лифтинг только на месте 6-го верхнего зуба. Или необходимо удалить последние, выждать время, сделать синус-лифтинг над гайморовой пазухой и поставить 2 импланта. Будут ли держаться!? 3. На нижней челюсти отсутствует зуб справа на снимке.Достаточно ли кости для имплантации? Могли бы посоветовать хороших специалистов с успешной практикой (не начинающих) по доступным ценам, к которым можно обратится по этим вопросам. Нужна ли в моем случае консультация Гнатолога!? P.S.Заранее приношу извинение за возможную некорректную нумерацию зубов - я не стоматолог!)))Благодарю за помощь! Ссылка на комментарий
Bier Опубликовано 2 июня, 2015 Поделиться Опубликовано 2 июня, 2015 Не плодите темы. Вам же уже посоветовали 2 Ссылка на комментарий
Рекомендуемые сообщения