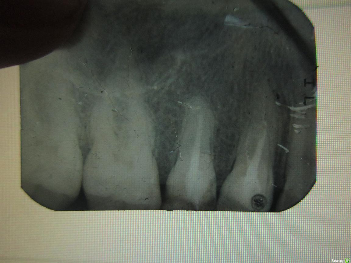
мухит Опубликовано 2 июня, 2015 Поделиться Опубликовано 2 июня, 2015 (изменено) Пломбировал два зуба с разницей в год ,( один месяц назад) Зуб начал беспокоить , пошел к другому стамотологу , он сказал надо удалять два зуба т.к воспаление корня. Действительно ли нет выхода или стоит обратиться в область? На фото 2 зуба справа ( а так они 14 .15). Второй стоматолог сказал что зубы вылечены не до конца. И второй вопрос у меня уже 5 кариес за два месяца. Связано ли это что я пол года назад переехал в другую страну? Изменено 2 июня, 2015 пользователем мухит Ссылка на комментарий
AlexanderGudkov Опубликовано 2 июня, 2015 Поделиться Опубликовано 2 июня, 2015 Удалять не нужно. Нужен грамотный терапевт с микроскопом и тогда есть хорошие шансы на излечение обоих зубов 1 Ссылка на комментарий
red_butler Опубликовано 2 июня, 2015 Поделиться Опубликовано 2 июня, 2015 + 1 перелечить и протезировать И второй вопрос у меня уже 5 кариес за два месяца. Связано ли это что я пол года назад переехал в другую страну? нет, скорее всего проглядели 1 Ссылка на комментарий
anvladd Опубликовано 2 июня, 2015 Поделиться Опубликовано 2 июня, 2015 Перелечивать, можно и без микроскопа пробовать. 1 Ссылка на комментарий
kladoffka Опубликовано 2 июня, 2015 Поделиться Опубликовано 2 июня, 2015 Перелечивать, можно и без микроскопа пробовать. в четверке, как мне кажется, инструменты в кк, без скопа достанут? Ссылка на комментарий
anvladd Опубликовано 2 июня, 2015 Поделиться Опубликовано 2 июня, 2015 Каналонаполнители.Не вижу проблемы. Ссылка на комментарий
мухит Опубликовано 3 июня, 2015 Автор Поделиться Опубликовано 3 июня, 2015 Удалять не нужно. Нужен грамотный терапевт с микроскопом и тогда есть хорошие шансы на излечение обоих зубов + 1 перелечить и протезировать нет, скорее всего проглядели Каналонаполнители.Не вижу проблемы. Спасибо всем, а вот там на снимке на одном из зубов какая то спираль, она там не будет гнить? Ссылка на комментарий
anvladd Опубликовано 3 июня, 2015 Поделиться Опубликовано 3 июня, 2015 Это каналонаполнитель и его нужно и можно вытащить. 1 Ссылка на комментарий
Рекомендуемые сообщения
Для публикации сообщений создайте учётную запись или авторизуйтесь
Вы должны быть пользователем, чтобы оставить комментарий
Создать аккаунт
Зарегистрируйте новый аккаунт в нашем сообществе. Это очень просто!
Регистрация нового пользователяВойти
Уже есть аккаунт? Войти в систему.
Войти