Перейти к содержанию
Стоматология для всех

Растущий 8ой зуб двигает 4ый и 3ий


Zetel

Рекомендуемые сообщения

Добрый день.

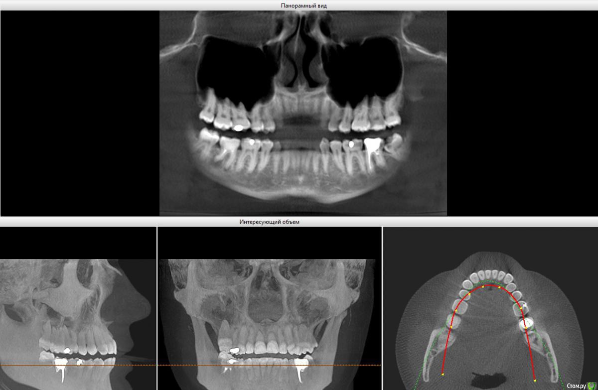
Мне 25 лет. Три месяца назад на НЧ начал расти восьмой зуб с левой стороны. Все проходило без осложнений. Но примерно две недели назад я заметила, что 3 и 4 зубы с той строны начали кривиться. До этого жалоб на прикус никогда не было, зубы были нормальные.

Паралельно с этим два месяца назад было начато лечение 7ого зуба с той же стороны.  Зуб с проблемными каналами в которых, как обнаружилось в ходе лечения, предыдущий врач оставил зацементированый инструмент.  Когда я сообщила доктору о проблеме с искривлением, был назначен прием с присутствием ортодонта.

Стоматолог предлагал вариант удаления проблемной мертвой 7ки и вытягивание на его место 8ки(она здорова и в хорошем состоянии, из десны торчит половинка), но ортодонт категорично ответила, что это невозможно.

 

Вердикт ортодонта - имеется легкая скученность спереди, удалить обе 8ки на НЧ, на 7ку керамическая коронка и ровнять брекетами.

 

 

Очень хочется услышать еще мнения. Может быть есть еще какие-то варианты решения проблемы?

 

Вопрос 1. Могут ли сдвинутые зубы встать на место после удаления 8ых, учитывая то, что они всегда стояли правильно?

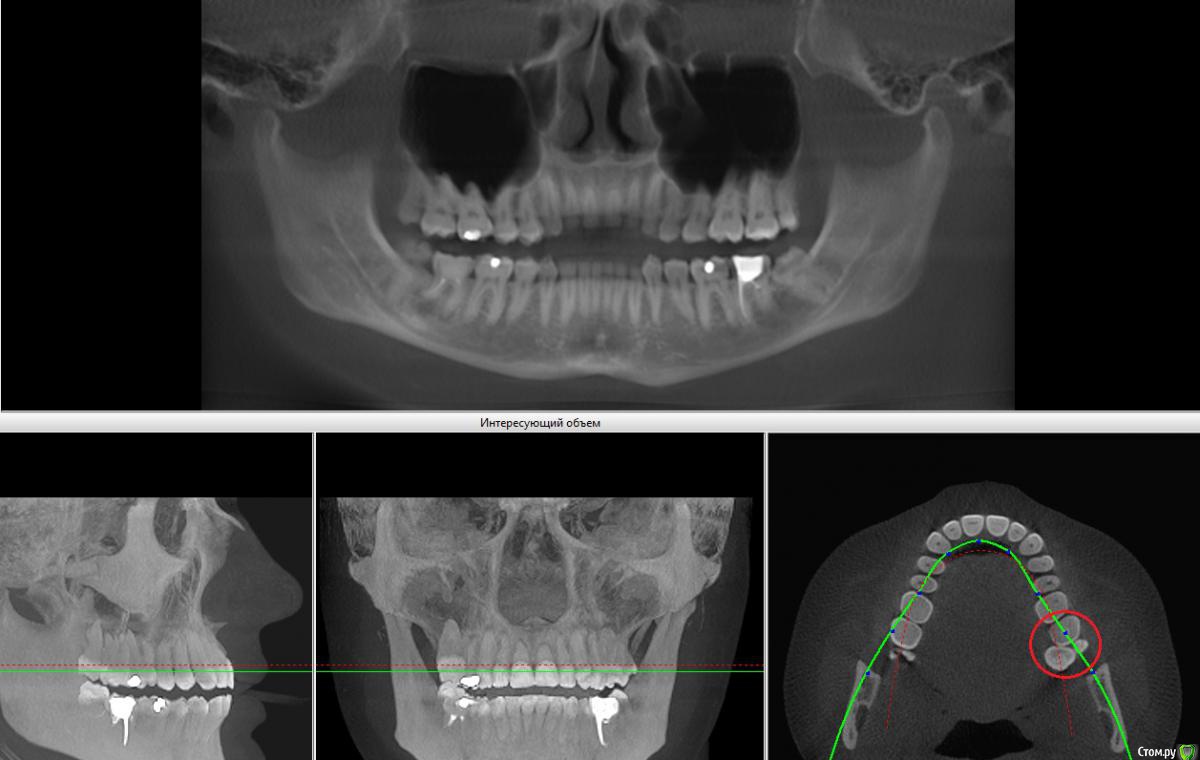
Вопрос 2. Если ставить брекеты. Только снизу или на обе челюсти? И как тогда быть с зубами мудрости наверху? С одной стороны у меня их девять :blink: (картинка 5, обведено красным кругом).

Вопрос 3. Реально ли предложение стоматолога?

 

К сожалению снимков до искривления нет. Но есть свежая 3D комп.томография I-CAT.  Приложу любые нужные ракурсы.

 

 

post-43372-0-18164300-1432821028_thumb.jpg

post-43372-0-56992000-1432821033_thumb.jpg

post-43372-0-55326400-1432821037_thumb.jpg

post-43372-0-15510900-1432821043_thumb.jpg

post-43372-0-63227500-1432821669_thumb.jpg

Ссылка на комментарий
  • 2 недели спустя...

 

 

Вопрос 1. Могут ли сдвинутые зубы встать на место после удаления 8ых, учитывая то, что они всегда стояли правильно?

Вопрос 2. Если ставить брекеты. Только снизу или на обе челюсти? И как тогда быть с зубами мудрости наверху? С одной стороны у меня их девять :blink: (картинка 5, обведено красным кругом).

Вопрос 3. Реально ли предложение стоматолога?

 

К сожалению снимков до искривления нет. Но есть свежая 3D комп.томография I-CAT.  Приложу любые нужные ракурсы.

 1. теоретически - в этой жизни возможно все!)) но зубы вперед всегда легче перемещаются , чем назад

2. 1 или 2 челюсти решает врач. чаще всего две.  Зубов у Вас ровно столько , сколько должно быть  (в красном кружочке наложение верхней и нижней челюстей)

если удаляете что-то внизу, то и верхние надо  будет (иначе они начнут опускаться вниз, будет блок)

 

3. предложение стоматолога реально, тем более учитывая, что 7-ки совсем не ах. Только нужно очень захотеть и постараться. 

Ссылка на комментарий

Для публикации сообщений создайте учётную запись или авторизуйтесь

Вы должны быть пользователем, чтобы оставить комментарий

Создать аккаунт

Зарегистрируйте новый аккаунт в нашем сообществе. Это очень просто!

Регистрация нового пользователя

Войти

Уже есть аккаунт? Войти в систему.

Войти
×
×
  • Создать...
Вверх