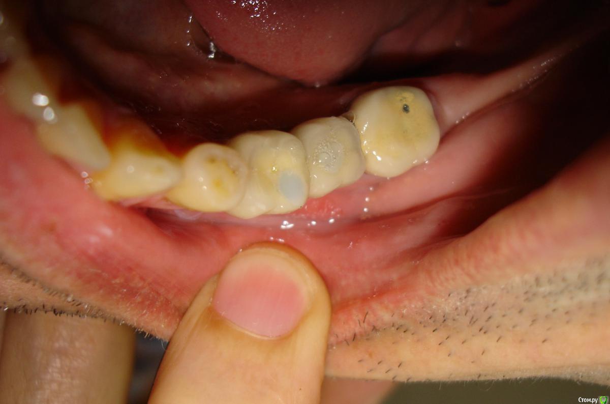
витаХА Опубликовано 28 мая, 2015 Поделиться Опубликовано 28 мая, 2015 Здравствуйте. У меня возникла такая проблема. В данный момент осуществлено протезирование на импланты 5 и 6 го зуба нижней челюсти. Протезирование сделано на индивидуальные абатменты с винтовой фиксацией. При закручивании винта одного зуба уже изначально возникали болевые ощущения в десне. Врач сказал что все будет норм,но уже на следующий день боль увеличалась в десне особенно при жевании. Было ощущение что что то давит на десну между 4 и 5 зубом. По внимательнее посмотрев конструкцию я начинаю понимать что протезы отличаются по размерам и складывается такое впечатление что нарушена их последовательность установки(фото прикрепил). К тому же на следующий день протезы оба слегка шатались. Протезы пришлось снять так как слизистая десны вокруг 5 сильно воспалилось. Врач говорит что это нормальное явление(воспаление десны)надо дать ей успокоится и потом заново вкрутить покрепче зуб. Он считает что зубы стоят на своих местах а разница в размерах это тоже норма и воспаление произошло не от путаницы с зубами, а от того что они развинтились и стали раскачиваясь давить на десну. Хотелось бы узнать независимое мнение на это. Ссылка на комментарий
red_butler Опубликовано 28 мая, 2015 Поделиться Опубликовано 28 мая, 2015 похоже просто защемили десну Ссылка на комментарий
витаХА Опубликовано 28 мая, 2015 Автор Поделиться Опубликовано 28 мая, 2015 похоже просто защемили деснуа разница в размерах это норма?мне казалось что зубы идут так сказать по возростанию от центра с малыми формами до больших зубов по краям.и логичнее на мой взгляд было бы на фото если вместо пятого стоял бы шестой. Защемили шатающейся коронкой?Тогда почему не защемилась десна на 6 импланте,там тоже была подвижность коронки такая же как и на пятом? Ссылка на комментарий
M@estro Опубликовано 29 мая, 2015 Поделиться Опубликовано 29 мая, 2015 Здравствуйте. Зубы должны идти по возрастанию, но все зависит от многих факторов,включая условия полости рта и уровень квалификации врача и техника,следовательно , косвенно и цену работы. Подробнее вряд ли можно дать ответ-мало вводных Ссылка на комментарий
Рекомендуемые сообщения
Для публикации сообщений создайте учётную запись или авторизуйтесь
Вы должны быть пользователем, чтобы оставить комментарий
Создать аккаунт
Зарегистрируйте новый аккаунт в нашем сообществе. Это очень просто!
Регистрация нового пользователяВойти
Уже есть аккаунт? Войти в систему.
Войти