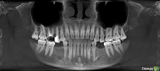
marilinka Опубликовано 26 мая, 2015 Поделиться Опубликовано 26 мая, 2015 Добрый день! Уважаемые стоматологи!Есть у меня один очень не хороший зуб, который хотелось бы сохранить, один стоматолог сразу сказал удалять....но у меня нет лишних зубов, 2 коренных зубов нет, они просто не выросли, зачатков тоже нет, после родов, очень испортились остальные, почти все жевательные зубы в пломбах, поэтому для меня это не просто прихоть, а действительно необходимость. Второй стоматолог сделав снимки и посмотрев зуб, дал 10 процентов....что скажете Вы стоит ли за него браться? Мне не жалко времени и денег, мне просто очень нужен зуб, пусть он хоть 5 лет простоит, но будет свой.Зуб 16, если правильно понимаю, пломба и часть зуба разрушены, под зубом киста, зуб абсолютно не беспокоит иногда воспаляется свищ.Как смогла сохранила фото с рентгена.Заранее спасибо за помощь! Ссылка на комментарий
AlexanderGudkov Опубликовано 26 мая, 2015 Поделиться Опубликовано 26 мая, 2015 Надо визуально посмотреть на него и сделать диагностику. Если разрушеность в пределах разумного и нету криминала в каналах, то толковый эндодонтист его спасти сможет. Потом нужно будет его покрыть коронкой, возможно с вкладкой Ссылка на комментарий
Alejandro Опубликовано 26 мая, 2015 Поделиться Опубликовано 26 мая, 2015 Что хирурги в городе говорят? Ссылка на комментарий
marilinka Опубликовано 26 мая, 2015 Автор Поделиться Опубликовано 26 мая, 2015 Надо визуально посмотреть на него и сделать диагностику. Если разрушеность в пределах разумного и нету криминала в каналах, то толковый эндодонтист его спасти сможет. Потом нужно будет его покрыть коронкой, возможно с вкладкой какая нужна диагностика? завтра попробую увеличить ренген и фото самого зуба приложить Ссылка на комментарий
marilinka Опубликовано 26 мая, 2015 Автор Поделиться Опубликовано 26 мая, 2015 Что хирурги в городе говорят?одтн врач сходу сказал удалятьвторой дал 10 процентов на хороший результат, сначала как поняла на долго лекарство для удаления кисты, переделка каналов, потом работа ортодонта… если он еще возьмется, часть под самую десну отпала, но примерно половина зуба цела. Может посоветуете в Тагиле в области грамотных врачей, еще очень много хотелось бы сделать, планирую имплантацию нижних зубов. Ссылка на комментарий
AlexanderGudkov Опубликовано 26 мая, 2015 Поделиться Опубликовано 26 мая, 2015 какая нужна диагностика? завтра попробую увеличить ренген и фото самого зуба приложитьОценить степень разрушения, и в идеале под микроскопом распломбировать каналы. Еще раз: для успеха нужен хороший эндодонтист Ссылка на комментарий
Alejandro Опубликовано 27 мая, 2015 Поделиться Опубликовано 27 мая, 2015 См личку Ссылка на комментарий
Гарриевич Опубликовано 27 мая, 2015 Поделиться Опубликовано 27 мая, 2015 после того как уберут весь кариес нужно оценить оставшиеся ткани и если их достаточно, то перелечить и покрыть коронкой с предварительным восстановлением 1 Ссылка на комментарий
Рекомендуемые сообщения
Для публикации сообщений создайте учётную запись или авторизуйтесь
Вы должны быть пользователем, чтобы оставить комментарий
Создать аккаунт
Зарегистрируйте новый аккаунт в нашем сообществе. Это очень просто!
Регистрация нового пользователяВойти
Уже есть аккаунт? Войти в систему.
Войти