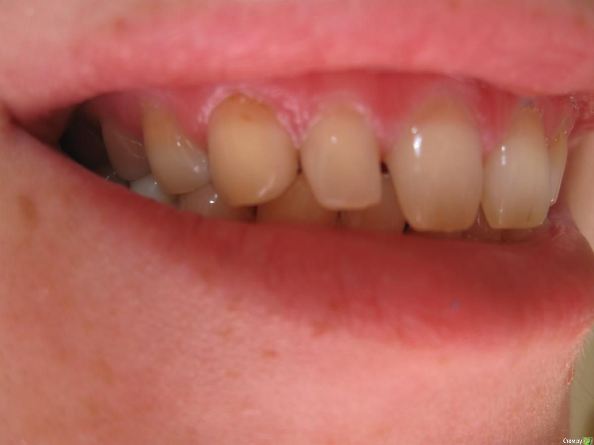
roche Опубликовано 25 мая, 2015 Поделиться Опубликовано 25 мая, 2015 Здравствуйте, уважаемые специалисты!Проконсультируйте, пожалуйста, по моей проблеме. Мне 31 год. Через 5-6 месяцев после рождения ребенка на нескольких передних зубах появились дефекты и повышенная чувствительность. Два доктора сказали, что это эрозия эмали и ничего нельзя сделать, только пломбировать в дальнейшем. Фото прилагаю. Клиновидный дефект на втором зубе слева и на третьем справа. Кажется, эти дефекты прогрессируют, от рождения ребёнка прошло 1 год и 4 месяца. Пломбы на дальних зубах пока ведут себя нормально, не разваливаются. На четвертый зуб справа была поставлена пломба из-за сильной чувствительности. Чувствительность умеренная, пользуюсь специальными пастами, втираю реминерализующий гель РОКС.Ортодонт сказал, что с прикусом всё в порядке. Брекеты, конечно, мне порекомендовал только для эстетики. Еще, по его мнению, имеет место повышенная стираемость эмали.В связи с этим, есть несколько вопросов.1. Может ли эрозия эмали в моем случае быть связана с беременностью и длительным грудным вскармливанием в связи с недостатком кальция в организме?2. Имеет смысл лечение в виде ремтерапии? Какой можно порекомендовать план лечения? 3. Показано ли в таком случае делать профессиональную чистку зубов, если зубного камня нет и гигиена хорошая?4. Есть ли способы предохранить зубы от разрушения во время следующей беременности и кормления ребенка (вскоре планирую)? 5. Помогает ли поедание творога или витаминов кальций-Д3 поддержать здоровье зубов? 6. Имеет ли смысл использовать реминерализующие гели для втирания и ополаскиватели? Помогите спасти вид улыбки. :-( Заранее благодарю за ваши ответы.С уважением, Татьяна. Ссылка на комментарий
roche Опубликовано 6 июня, 2015 Автор Поделиться Опубликовано 6 июня, 2015 Нет ответа.. Мои вопросы сложные или скучные, или их слишком много? Ответьте хотя бы выборочно, пожалуйста. Ссылка на комментарий
Scrabble Опубликовано 6 июня, 2015 Поделиться Опубликовано 6 июня, 2015 Это у Вас пришеечные кариесы-втирания никакие не помогут, увы. Надо запломбировать и хорошо чистить. Во время беременности часто бывает гингивит: гипертрофированная воспалённая десна не даёт качественно вычистить пришеечные области. А после рождения ребёнка уход за зубами часто носит поверхностный характер. Ну и перекусы всякие прибавляются(мамы пробуют детскую еду, что-то за ребёнком доедают) Псле каждой еды чистите зубы-и поменьше углеводов. Ссылка на комментарий
roche Опубликовано 7 июня, 2015 Автор Поделиться Опубликовано 7 июня, 2015 Спасибо за ответ. Может быть, на фото плохо видно.. Но три врача сказали, что это некариозное поражение - клиновидные дефекты, убыль эмали. Говорят: "Такая генетика у вас". С гигиеной всё нормально было и воспаления десен никогда не наблюдала. Только никто не может сказать вообще, что надо есть, чтобы был правильный баланс кальция в организме. Особенно для беременных и кормящих. Может быть здесь кто-то знает? Ссылка на комментарий
Scrabble Опубликовано 8 июня, 2015 Поделиться Опубликовано 8 июня, 2015 Просто питаться правильно и сбалансированно, гулять пешком на свежем воздухе: нет волшебных таблеток, поставляющих в организм всё, что ему нужно. Генетика генетикой, но ведь раньше у Вас этих дефектов эмали не было, верно? Значит, после рождения ребёнка изменился характер питания и режим ухода за собой. Ссылка на комментарий
roche Опубликовано 10 июня, 2015 Автор Поделиться Опубликовано 10 июня, 2015 До появления ребёнка дефектов не было. Питание изменилось в лучшую сторону, но, видимо, недостаточно, чтобы покрыть потребности на вынашивание и ГВ. Ела каждый день по 100 г детского творога. Если посмотреть диеты для беременных и кормящих, то окажется, что съесть столько всего в день нереально. Понятно, что волшебной таблетки нет.Но, может быть, кто-то знает из своего опыта, рекомендует своим пациентам, сколько и какой жирности нужно есть молочных продуктов и в сочетании с чем, чтобы попытаться обеспечить нормальное поступление и усвоение кальция? Ссылка на комментарий
Scrabble Опубликовано 10 июня, 2015 Поделиться Опубликовано 10 июня, 2015 А Вы упрямая. Ещё раз повторю: вопрос не в том, чего съесть, а как чистить после того, как чего-то съел. У Вас налёт у десны-вот и случилось то, что случилось. Теперь запломбировать, всё почистить у стоматолога-а потом самой стараться. Ссылка на комментарий
roche Опубликовано 10 июня, 2015 Автор Поделиться Опубликовано 10 июня, 2015 А Вы упрямая. Ещё раз повторю: вопрос не в том, чего съесть, а как чистить после того, как чего-то съел. У Вас налёт у десны-вот и случилось то, что случилось. Теперь запломбировать, всё почистить у стоматолога-а потом самой стараться.Есть такое . Гигиена должна быть хорошей, это правда. Но бывают и некариозные поражения, несмотря на хорошую чистку, насколько я понимаю. Ссылка на комментарий
cor Опубликовано 11 июня, 2015 Поделиться Опубликовано 11 июня, 2015 Пусть доктор вам их(дефекты) покрасит кариес-маркером или ещё чем и покажет результат. Ну так, что бы сомнения отпали) Ссылка на комментарий
Рекомендуемые сообщения
Для публикации сообщений создайте учётную запись или авторизуйтесь
Вы должны быть пользователем, чтобы оставить комментарий
Создать аккаунт
Зарегистрируйте новый аккаунт в нашем сообществе. Это очень просто!
Регистрация нового пользователяВойти
Уже есть аккаунт? Войти в систему.
Войти