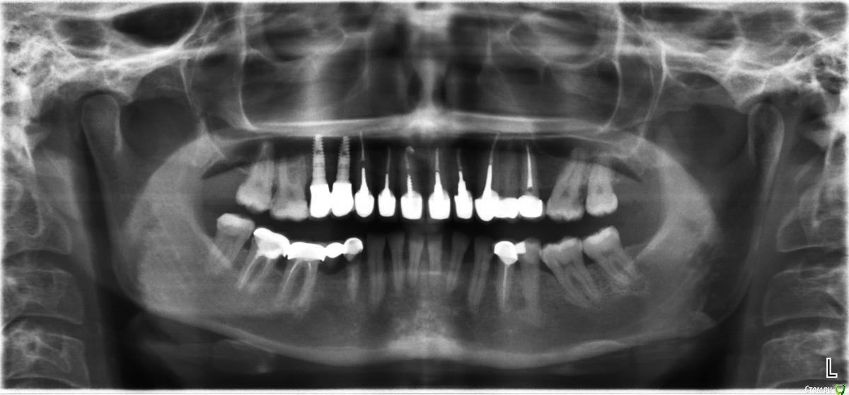
Винкс Опубликовано 25 мая, 2015 Поделиться Опубликовано 25 мая, 2015 Речть идет про правый низ. Сняли мост 4-5-6-7.Приговор: 4 на удаление, потом имплант. 5 - имплант, 7 пролечили.Вопрос стоит про 6. Каналы не удалось распломбировать, там "камень" по словам доктора. Что с ней делать? Оставить так или удалить?Если удалить, то как вы смотрите на мост на двух имплантах.Если это тема не для терапии, то перенесите плз. Дополнительно. Ссылка на комментарий
Винкс Опубликовано 25 мая, 2015 Автор Поделиться Опубликовано 25 мая, 2015 Вот еще прицельные.http://s013.radikal.ru/i323/1505/93/e0725049ce2c.jpghttp://s49.radikal.ru/i125/1505/ef/76de7d8609dc.jpghttp://s009.radikal.ru/i309/1505/f0/6d0981ba381b.jpg Ссылка на комментарий
Гарриевич Опубликовано 25 мая, 2015 Поделиться Опубликовано 25 мая, 2015 симптоматика какая нибудь есть? Ссылка на комментарий
Винкс Опубликовано 25 мая, 2015 Автор Поделиться Опубликовано 25 мая, 2015 симптоматика какая нибудь есть?Никакой. Ссылка на комментарий
Гарриевич Опубликовано 25 мая, 2015 Поделиться Опубликовано 25 мая, 2015 если притензии к зубу только по каналам. тоотмыть и запломбировать по проходимости Ссылка на комментарий
faity Опубликовано 25 мая, 2015 Поделиться Опубликовано 25 мая, 2015 По поводу представленных зубов согласен с доктором. По поводу картины в целом есть вопросы и их много. О брекетах не думали? Ссылка на комментарий
St. Опубликовано 25 мая, 2015 Поделиться Опубликовано 25 мая, 2015 если притензии к зубу только по каналам. тоотмыть и запломбировать по проходимости+1 Ссылка на комментарий
Винкс Опубликовано 29 мая, 2015 Автор Поделиться Опубликовано 29 мая, 2015 (изменено) По поводу представленных зубов согласен с доктором. По поводу картины в целом есть вопросы и их много. О брекетах не думали?Спасибо за мнение.Пожалуйста, перенесите тему в хирургию (или там надо новую создать?). Хочу услышать мнение про импланты.Была еще у одного врача, который сказал что 6 - -замедленная бомба. Изменено 29 мая, 2015 пользователем Винкс Ссылка на комментарий
faity Опубликовано 29 мая, 2015 Поделиться Опубликовано 29 мая, 2015 Спасибо за мнение.Пожалуйста, перенесите тему в хирургию (или там надо новую создать?). Хочу услышать мнение про импланты.Была еще у одного врача, который сказал что 6 - -замедленная бомба.попросите кого-нибудь из админов. по поводу шестого и остальных зубов, напишите мне в личку, я вам план лечения составлю как время появится. Ссылка на комментарий
red_butler Опубликовано 29 мая, 2015 Поделиться Опубликовано 29 мая, 2015 Пожалуйста, перенесите тему в хирургию перенес Ссылка на комментарий
Винкс Опубликовано 29 мая, 2015 Автор Поделиться Опубликовано 29 мая, 2015 Спасибо за перенос темы. Уважаемые врачи- хирурги, выскажите свое мнение про ситуацию с правым низом. Что бы вы сделали? Ссылка на комментарий
Alejandro Опубликовано 29 мая, 2015 Поделиться Опубликовано 29 мая, 2015 (изменено) Нет пока повода для паники. Смело инсталируйте имплантаты в области премоляров, если клиники в первом моляре нет и не было. Больше беспокоит карман между 6 и 7. Шестёрка со временем уйдёт, но как и когда никто не скажет. Уйдёт шестёрка - ещё один имплантат. Изменено 29 мая, 2015 пользователем Alejandro Ссылка на комментарий
Винкс Опубликовано 1 июня, 2015 Автор Поделиться Опубликовано 1 июня, 2015 Нет пока повода для паники. Смело инсталируйте имплантаты в области премоляров, если клиники в первом моляре нет и не было. Больше беспокоит карман между 6 и 7. Шестёрка со временем уйдёт, но как и когда никто не скажет. Уйдёт шестёрка - ещё один имплантат.Вот вы мне написали про карман... После ирригатора отдуда кровит постоянно после снятия моста. Я сначала думала, что там ткани не привыкшие к струе, но уже целый месяц прошел. Ссылка на комментарий
Рекомендуемые сообщения
Для публикации сообщений создайте учётную запись или авторизуйтесь
Вы должны быть пользователем, чтобы оставить комментарий
Создать аккаунт
Зарегистрируйте новый аккаунт в нашем сообществе. Это очень просто!
Регистрация нового пользователяВойти
Уже есть аккаунт? Войти в систему.
Войти