evodigit Опубликовано 21 мая, 2015 Поделиться Опубликовано 21 мая, 2015 Добрый день уважаемые коллеги, помогите советом.Пациентка два года назад была запротезирована у нас в клинике. Комбинированная работа, МК+ЦЛ. Через неделю пациентка обратилась с жалобами на разжевывание языка и щеки справа+ ощущение жжения языка. Коронки срезали, изготовили временные коронки в разных вариациях.( в общей сложности пациентка ходила с временными 3 месяца) Были изготовлены новые постоянные конструкции. Через полгода пациентка обратилась в клинику с жалобами на разжевывание языка. Была изготовлена миорелаксирующая каппа, после чего пациентка отмечает улучшение ситуации. Недавно пациентка обратилась в клинику опять с жалобами на разжевывание языка. Ситуация ухудшилась после того как пациентка реже стала носить каппу. До нашего лечения у пациентки стоял штампованный мост 10 лет. С чем может быть связана проблема? как ее решить? Заранее спасибо Ссылка на комментарий
Alberto Опубликовано 21 мая, 2015 Поделиться Опубликовано 21 мая, 2015 Добрый день, налет языка и не большая припухлость в боковом отделе языка указывает на патологию ЖКТ.Какой результат был при ношении временных капп? Ссылка на комментарий
evodigit Опубликовано 21 мая, 2015 Автор Поделиться Опубликовано 21 мая, 2015 Добрый день, налет языка и не большая припухлость в боковом отделе языка указывает на патологию ЖКТ.Какой результат был при ношении временных капп?Добрый день. Временные каппы не были зафиксированы на постоянный цемент, чтобы пациентка могла их снимать при возникновении болезненности и жжения в боковом отделе языка. Было изготовленной пять комплектов капп, разной конфигурации. Результат ношения капп скорее всего был нулевой. Так как она их снимала. Ссылка на комментарий
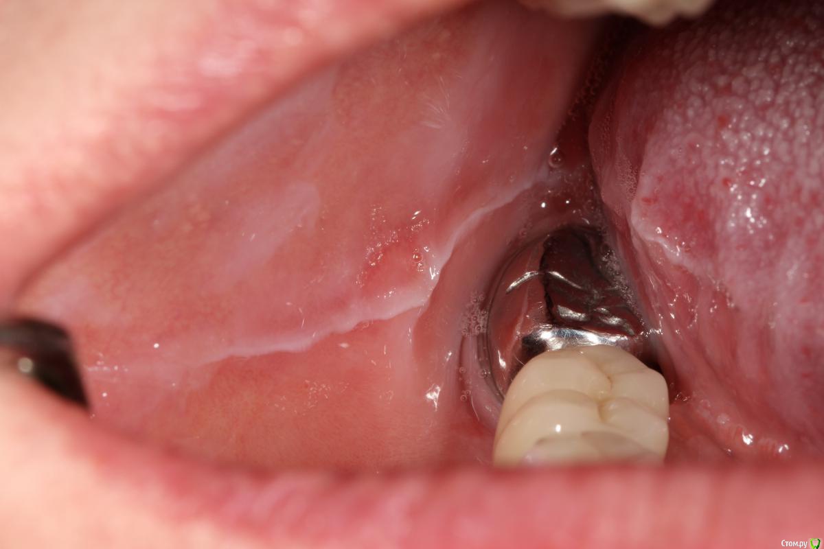
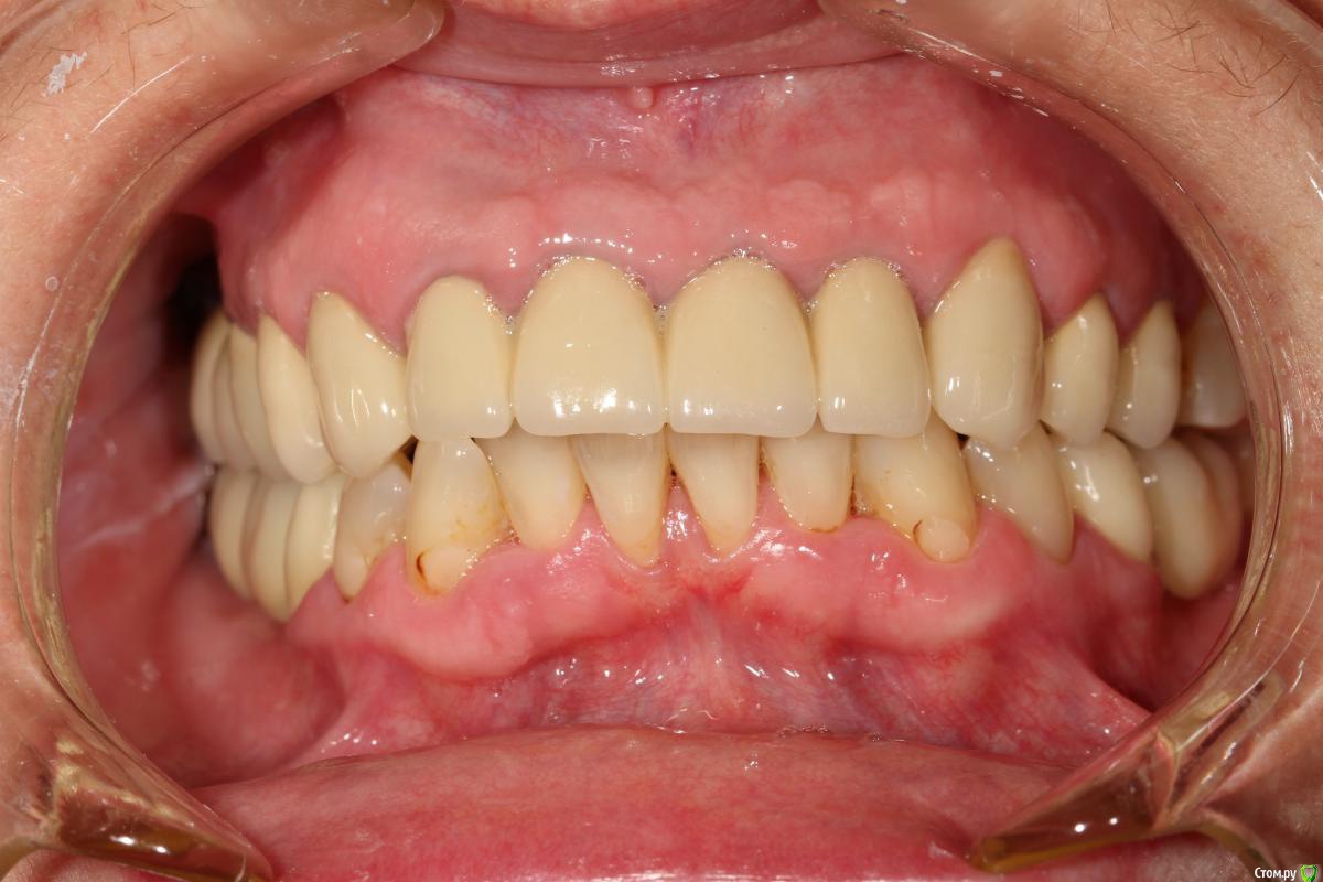
4ebstom Опубликовано 21 мая, 2015 Поделиться Опубликовано 21 мая, 2015 Выложите фото смыкания зубов с оральной стороны.Возможно ответ найдется Ссылка на комментарий
Abdul9848 Опубликовано 21 мая, 2015 Поделиться Опубликовано 21 мая, 2015 Выложите фото смыкания зубов с оральной стороны.Возможно ответ найдется это как? Ссылка на комментарий
4ebstom Опубликовано 22 мая, 2015 Поделиться Опубликовано 22 мая, 2015 Слепки снимите и сфоткайте модели. Ссылка на комментарий
chernov Опубликовано 23 мая, 2015 Поделиться Опубликовано 23 мая, 2015 evodigit вы сами себе противоречите про каппы.то есть положительная динамика(в первом сообщении),то нет.на какой цемент вы каппы ставите вообще не понятно...вообще эти отметины признак брукс компонента,скорее всего на н\ч в оласти 3-тих 4-рех зубов есть утолщение костной ткани.если да,то точно пациент бруксирует.а вследствии чего-это другой вопрос.возможно ваше протезирование и послужило толчком к этому(у пациента(ки) возможно горизонтальный тип жевания и так как ранее стояли плоские коронки было комфортно,а более выраженные новые конструкции организм пытается стереть,ИМХО,конечно).поэтому ищите причину,тем более пациентка отмечала улучшение после изготовления миорелаксирующей каппы,а если учесть,что каппа и срелаксировала мышцы и разомкнула зубы(дав горизонтальную свободу),то... Ссылка на комментарий
Рекомендуемые сообщения
Для публикации сообщений создайте учётную запись или авторизуйтесь
Вы должны быть пользователем, чтобы оставить комментарий
Создать аккаунт
Зарегистрируйте новый аккаунт в нашем сообществе. Это очень просто!
Регистрация нового пользователяВойти
Уже есть аккаунт? Войти в систему.
Войти