ИгорьС Опубликовано 20 мая, 2015 Поделиться Опубликовано 20 мая, 2015 (изменено) Прошу мнение профессионалов по протезированию. Изменено 20 мая, 2015 пользователем ИгорьС Ссылка на комментарий
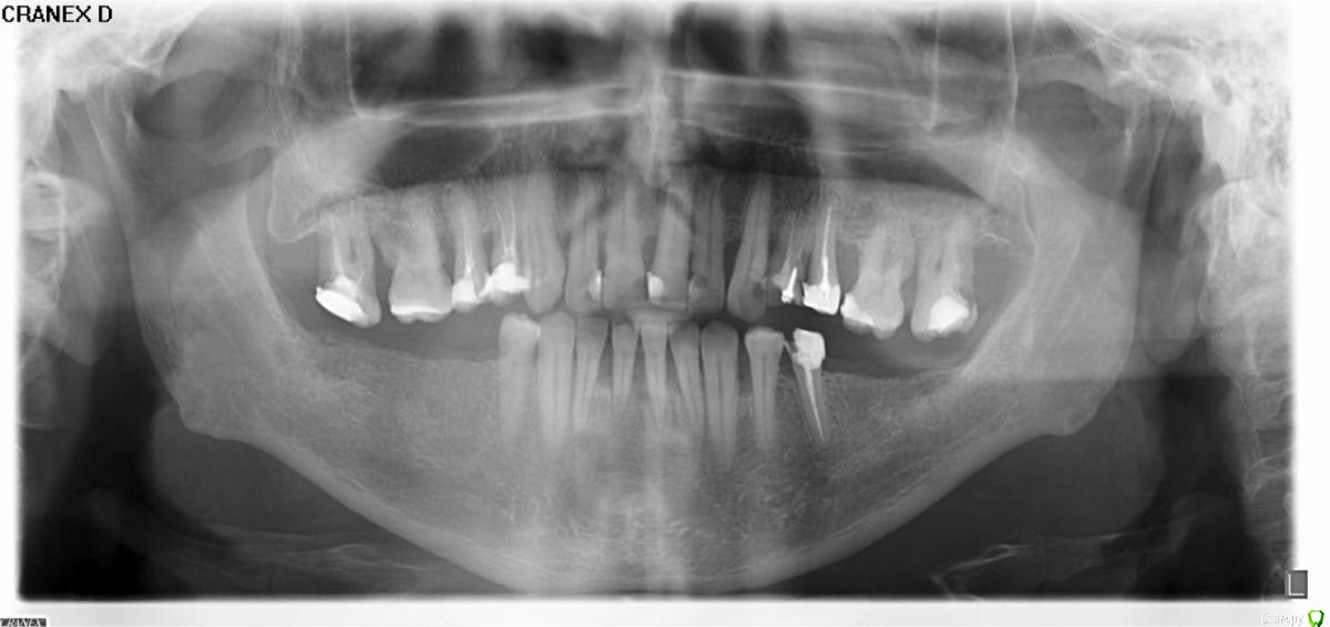
Гарриевич Опубликовано 20 мая, 2015 Поделиться Опубликовано 20 мая, 2015 зубы имеют подвижность? Ссылка на комментарий
Гарриевич Опубликовано 20 мая, 2015 Поделиться Опубликовано 20 мая, 2015 (изменено) 1 - профессиональная гигиена полости рта, с участием пародонтолога2- удаление 17 16 26 27 и 25(под вопросом) зубов3- перелечивание 15 14 24 25 и 35(под вопросом) зубов4- протезирование коронками 15 14 24 25 35 зубов5- прямая или непрямая реставрация 13 12 11 21 22 23 зубов6- или имплантация а области 45 46 47 36 37 зубов на нижней челюсти и 17 16 26 27 зубов верхней челюсти (для планирования имплантации нужен снимок КТ) или бюгельный съемный протез на верхнюю и на нижнюю челюсть с перелними нижними зубами разговор тоже только после КТ Изменено 20 мая, 2015 пользователем Гарриевич 2 Ссылка на комментарий
ИгорьС Опубликовано 21 мая, 2015 Автор Поделиться Опубликовано 21 мая, 2015 Спасибо Вам за ответ. Ссылка на комментарий
Гарриевич Опубликовано 22 мая, 2015 Поделиться Опубликовано 22 мая, 2015 Спасибо Вам за ответ.Пожалуйста Ссылка на комментарий
Рекомендуемые сообщения
Для публикации сообщений создайте учётную запись или авторизуйтесь
Вы должны быть пользователем, чтобы оставить комментарий
Создать аккаунт
Зарегистрируйте новый аккаунт в нашем сообществе. Это очень просто!
Регистрация нового пользователяВойти
Уже есть аккаунт? Войти в систему.
Войти