Перейти к содержанию
Стоматология для всех

Отслойка пломбы на верхней левой 7-ке. Как быть ?


Phtorplast

Рекомендуемые сообщения

Доброго времени суток.

 

2 дня назад заболело в верхней челюсти слева, сначала не очень сильно, сегодня боль усилилась.

Боль довольно сильная, но терпимая тупая, не острая, как бы чувство набухания и распирания, чувство инородного иногда иррадиирует вверх и вниз, на холодное или горячее особой чувствительности нет (быть может потому что стараюсь не есть на эту сторону или просто основная боль её заглушает), при накусывании тоже вроде особо не болит, если есть что-то жесткое (например яблоко) то тоже вроде не болит особо и не оставляет гнилого запаха во рту.

 

Поход к стоматологу (и последущий снимок) по крайне мере со слов врача : отслоение пломбы на верхней левой 7-ке, отсюда и все проблемы.

 

Была пролечена чуть меньше года назад в июне месяце.

Диагноз: кариес дентина 27 К02.1. Интактная.

Проведенное лечение (согласно счету):

- Анестезия аппликационная

- Анестезия инфильтрационная (карпула Ультракаин ДС-Форте)

- Снятие старой пломбы из композита

- Препарирование полости зуба 2кл по Блэку (гл)

- Обработка кариозной полости дентин-герметизирующим ликвидом (глубокий кариес)

- Постановка пломбы СТК 2кл. по Блэку (гл.)

- Окончательная обработка пломбы.

 

Рядом на 6-ка с  глубоким кариесом (+ как следствие хронический пульпити периодонтит) - была , каналы прочищены и запломбированы+поставлена пломба.

 

1). Верен ли предварительный диагноз: отслойка пломбы ? или точно можно сказать только при более тщательном препаририровании зуба. Как часто такое происходит т.е примерный % случаев по истечении года.

2). Так гарантия (на лечение) на этот зуб еще не прошла будет переделываться по гарантии бесплатно и очередь большая то записали только на 24 число , т.е пойду только через 10 дней :

Можно ли подождать/стоит ли  10 дней ? или лучше идти/бежать в другую стоматологию ? , что-то фатальное под пломбой может произойти за эти 10 дней ? если я не буду подвергать эту сторону жвеательным нагрузкам или очень умеренным нагрзуками и принимать НПВС и обезболивающее - нимесил в пакетиках по 2 пакета в день 10 дней ? и полоскать (если конечно можно это делать)

3). При переделке этого зуба , какова последовательность лечения (примерная) ?

4).Какой лучше применить СТК при переделке - тот же что и был (Эстелайт Постериор) или лучше другой ? и какой ?

5), Можно ли поласкать если болит или нельзя, И чем лучше ? и сколько по времени. На мой вопрос когда спросила - говорит не нужно.

 

Пока прицельного снимка (сегоднешнего) верхней левой 7ки нет (еще не прислали из стоматологии), как пришлют, выложу.

 

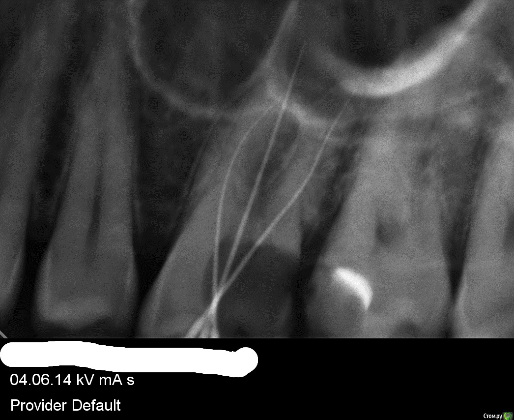
Выкладываю обзорный снимок годичной давности и снимки верхней 6-ки годичной давности, частично там вроде и 7 видно верхнюю левую

 

post-30402-0-04497700-1431624386_thumb.jpg

post-30402-0-05469600-1431624432_thumb.jpg

Ссылка на комментарий

Нужен актуальный снимок: возможно, проблема связана с 26 зубом. Если симптоматика будет нарастать, то чисто физически до 24 не дотянете-тогда звоните и записывайтесь с острой болью.

Ссылка на комментарий

flying

нет сказали что на 27 пломба отошла (глубокий кариес) -см. выше и из-за этого все проблемы - подтекало под пломбу - пульпарная камера рядом что и вызывало болевой синдром и неприятные ощущения.

 

Не 26 у меня сделан год назад: нервы удалены, каналы пройдены и запломбированы.

да это старые снимки - еще до лечения, вернее во время лечения.

 

Просто мне прислали свежий снимок, но он у меня почему-то не открылся, пришлют сегодня в новом формате обещали, пришлют выложу.

 

Сегодня ходил , сняли старую пломбу на 27, всё почистили там, поставили новую пломбу, доктор сказала что мол уже кое-что попало под пломбу, близко к пульпарной камере, но мол всё плотно там - наверное имеется ввиду что стенка зуба (дентин) мало повреждена и что возможно (очень надеюсь) бактерии не проникли в пульпу и может всё обойдётся и если заболит то в ближайщие пару дней, а если не заболит то значит всё более менее нормально (если конечно тут употребимо слово нормально).

 

Если говорит заболит то бегом в врачу умертвлять нерв/ы, чистить каналы, ставить временную пломбу, но надеюсь тьфу-тьфу обойдётся.

 

Да и еще вопрос:

Стоит ли перелечивать 26 зуб если каналы не до конца не запломбированы - чуть чуть верхушки не заполнены , но обработаны полностью

Стоит ли перелечивать каналы если нет никакой симптоматики и не беспокоит этот зуб, так сказать для более лучшего лечения/эффекта ? или лучше не трогать что есть ?

Ссылка на комментарий

Для публикации сообщений создайте учётную запись или авторизуйтесь

Вы должны быть пользователем, чтобы оставить комментарий

Создать аккаунт

Зарегистрируйте новый аккаунт в нашем сообществе. Это очень просто!

Регистрация нового пользователя

Войти

Уже есть аккаунт? Войти в систему.

Войти
×
×
  • Создать...
Вверх