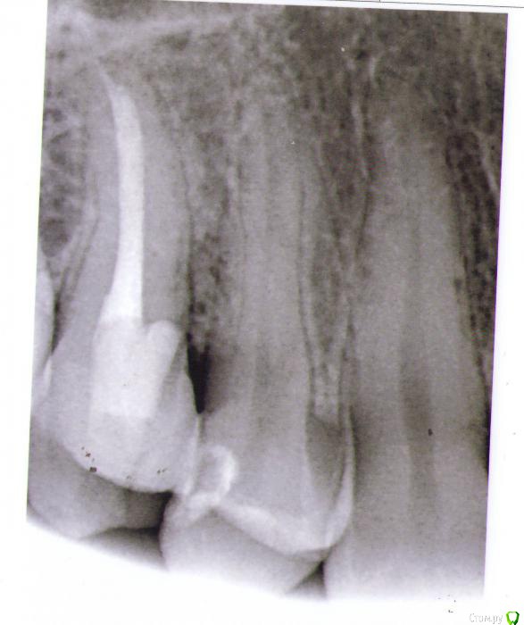
Zub15 Опубликовано 14 мая, 2015 Поделиться Опубликовано 14 мая, 2015 Здравствуйте! Зуб1.5 лечили по глубокому кариесу осенью 2014г. После этого около 3 месяцев не проходили самопроизвольные ноющие боли. В итоге в конце января 2015г. постановили что пульпит таки необратимый и провели эндодонтическое лечение. Через 2 недели появилась боль от горячего. Пока попала к доктору прошло дней 5. За это время ощущения от просто чувства тяжести в первые дни усилились до очень острой, нарастающей первые несколько секунд боли, по продолжительности около 10 минут и в эти моменты причинный зуб реагировал еще и на накусывание. В середине февраля зуб снова вскрыли, искали дополнительные каналы - не нашли, обработалди еще раз тот же канал и оставили кальций под временной пломбой. Первые несколько часов после лечения все было хорошо, зуб не болел. К вечеру появилась ноющая боль, которая постепенно училивалась и к ночи стала нестерпимой. К утру следующего дня боль не прошла, зуб снова вскрыли, заменили кальций и снова под временную пломбу. После все вроде нормализовалось. Через 2 недели когда убрали кальций и запломбировали каналы постоянным материалом снова такая же картина. Первые несколько часов все норм, к ночи разболелся сильно. 4-5 дней эту боль перетерпела и потом постепенно она пошла на спад. В итоге еще недели 2 зуб наблюдали под временной пломбой, боли как таковой не было, но реагировал на постукивание. На сегодняшний день сильной боли нет, на горячее тоже не реагирует, но периодически слабо поднывает где-то в районе 1.4-1.5 чаще по ночам и если в это время пошатать зуб 1,5 - начинает ныть сильнее. Если постучать больно только когда стучишь по передней стенке. И больно чистить нитью между 1.4 и 1.5, причем больно не десну а боль где-то в районе контактного пункта, чуть только вводишь нить сразу больно. На первом снимке фрамент ОПТГ зуб после лечения глубокого кариеса, до лечения каналовВторой снимок в процессе перелечивания когда заболел от горячего, корневая пломба постоянная, коронковая пломба временная.Третий снимок - на сегодняшний день. Спасибо. 1- http://s013.radikal.ru/i322/1505/c2/0fc23f57af58.jpg2- http://s019.radikal.ru/i622/1505/ca/cf134a067f86.jpg3- http://s019.radikal.ru/i637/1505/2c/da877627c607.jpg Ссылка на комментарий
St. Опубликовано 14 мая, 2015 Поделиться Опубликовано 14 мая, 2015 Здравствуйте! Каналы по снимку запломбированы нормально. А гайморитом вы не страдаете? Ссылка на комментарий
Scrabble Опубликовано 14 мая, 2015 Поделиться Опубликовано 14 мая, 2015 (изменено) Эндо нормально, а между 14 и 15 проблемы с пародонтальным прикреплением(либо кариес корня был, либо немного не в том направлении бором пошли) Сделайте лучше либо керамическую вкладку, либо ВКВ и коронку. Заодно дистальную поверхность 14 посмотрит врач-может, там уже кариес успел образоваться. Изменено 14 мая, 2015 пользователем Scrabble Ссылка на комментарий
Zub15 Опубликовано 15 мая, 2015 Автор Поделиться Опубликовано 15 мая, 2015 (изменено) St., Scrable, очень благодарна за ответы, спасибо!!! А гайморитом вы не страдаете? нет, никогда ничего подобного не было между 14 и 15 проблемы с пародонтальным прикреплением(либо кариес корня был, либо немного не в том направлении бором пошли) Вы имеете в виду этот участок? Меня тут уже напугали что это скорее всего перфорация и она ниже уровня десны. И в этом месте по снимку уже есть небольшое разрежение костной ткани. И зуб потому и болит, если постучать горизонтально. Это правда? Изменено 15 мая, 2015 пользователем Zub15 Ссылка на комментарий
Гарриевич Опубликовано 15 мая, 2015 Поделиться Опубликовано 15 мая, 2015 Скорее всего проблема в связочном аппарате, то, что Вы описываете характерно. По помледним снимкам может это и перфорация, а может просто наложение. Снимки все таки двухмерные, а зубы у нас обьемные Ссылка на комментарий
Zub15 Опубликовано 15 мая, 2015 Автор Поделиться Опубликовано 15 мая, 2015 Гарриевич, спасибо!!! проблема в связочном аппарате Как это лечится? Можно ли точно узнать перфорация это или наложение без вскрытия зуба? Последний снимок делали в разных проекциях, везде выглядит одинаково. И еще, скажите пожалуйста, есть ли в этом районе разрежение костной ткани и в норме ли там периодонтальная щель? Разные доктора говорят разное... Спасибо. Дай Вам Бог здоровья. Ссылка на комментарий
Гарриевич Опубликовано 15 мая, 2015 Поделиться Опубликовано 15 мая, 2015 Как это лечится? зависит от причины, но механизм один, устранить раздражительможете сделать КТ (томографию) там точно будет видно есть ли перфорация или нет Ссылка на комментарий
Zub15 Опубликовано 15 мая, 2015 Автор Поделиться Опубликовано 15 мая, 2015 Спасибо за ответы.И еще мне сказали что если это таки перфорация и она ниже уровня десны, то в худшем случае зуб придется удалить. Это так? Ссылка на комментарий
Гарриевич Опубликовано 15 мая, 2015 Поделиться Опубликовано 15 мая, 2015 Спасибо за ответы. пожалуйста не совсем, в идеале ее можно закрыть снаружино в худшем случае действительно удаление Ссылка на комментарий
Zub15 Опубликовано 15 мая, 2015 Автор Поделиться Опубликовано 15 мая, 2015 Всем спасибо за ответы! И еще вопросик - то что больно чистить нитью на контакте 14 и 15 это скорее всего связано с 14 зубом? Ему лечили кариес около 5 месяцев назад. Ссылка на комментарий
St. Опубликовано 16 мая, 2015 Поделиться Опубликовано 16 мая, 2015 Скорее всего или с 14 зубом или с десной. Ссылка на комментарий
Рекомендуемые сообщения
Для публикации сообщений создайте учётную запись или авторизуйтесь
Вы должны быть пользователем, чтобы оставить комментарий
Создать аккаунт
Зарегистрируйте новый аккаунт в нашем сообществе. Это очень просто!
Регистрация нового пользователяВойти
Уже есть аккаунт? Войти в систему.
Войти