Айсылу Опубликовано 12 мая, 2015 Поделиться Опубликовано 12 мая, 2015 Здравствуйте. Помогите, пожалуйста, разобраться в сложной ситуации возникшей в процессе лечения. В августе 2013 года мне была установлена брекет-система. Изначально была проблема глубокий прикус. В результате выравнивания у меня сформировался дистальный прикус. После чего, мой лечащий врач, порекомендовала удалить две 4-ки на ВЧ. Это произошло примерно через год. Самое интересное, что удалить мне сказали один из тех зубов, который мы все это время выравнивали. По сей день я на это не решилась. Обращалась к еще 3-м специалистам. Один сказал удалять, двое категорически были против. Сказали, что в результате будет нарушена эстетика лица. Мне посоветовали сделать анализ ТРГ в независимом диагностическом центре. Хотела спросить у Вас, уважаемые специалисты данного форума, что вы можете сказать по результатам данного анализа? Живу я в маленьком городе. Особо обратится не к кому.А удалять зубы страшно. И если не трудно, расскажите, напишите, каким образом возможно исправить данный тип прикуса. Хожу в брекетах уже 1 год и 10 месяцев. Ссылка на комментарий
Skip Опубликовано 14 мая, 2015 Поделиться Опубликовано 14 мая, 2015 Разумеется, что никаких удалений зубов, за исключением 8-ых. Единственно правильным решением сейчас, является репозиция нижней челюсти кпереди с аппаратом, который специально предназначен для этих целей. С этого и нужно было начинать лечение и только потом уже брекеты. 1 Ссылка на комментарий
Айсылу Опубликовано 14 мая, 2015 Автор Поделиться Опубликовано 14 мая, 2015 Разумеется, что никаких удалений зубов, за исключением 8-ых. Единственно правильным решением сейчас, является репозиция нижней челюсти кпереди с аппаратом, который специально предназначен для этих целей. С этого и нужно было начинать лечение и только потом уже брекеты. Как я рада, что Вы откликнулись))) Спасибо большое))) 1000 благодарностей. как жаль, что я раньше не нашла этот форум... А можно по подробнее об аппарате? Это типа форсуса аппарат? Мне еще предлагали снять брекеты и на ночь одевать трейнер миобрейс безкаркасный. И если сейчас поставить этот аппарат, то получается это мне примерно столько же ходить придется сколько я ходила в брекетах? И еще, головные боли могут меня мучить из-за неправильного прикуса? из-за того что смыкание происходит не правильно. Я до сих пор не могу поверить в свое счастье, что вы ответили. Еще раз 1000 спасибо. Ссылка на комментарий
Force Опубликовано 14 мая, 2015 Поделиться Опубликовано 14 мая, 2015 Соглашусь с Алексеем Олеговичем, удаление восьмерок и выдвижение челюсти вперед. Форсус, как вариант, но там много нюансов. С учетом вашего местоположения возможностей не так много. Снимать и миобрейс - это не вариант, поскольку нужно довести зубы до полного смыкания, иначе челюсть "уедет" обратно. 2 Ссылка на комментарий
Айсылу Опубликовано 14 мая, 2015 Автор Поделиться Опубликовано 14 мая, 2015 Соглашусь с Алексеем Олеговичем, удаление восьмерок и выдвижение челюсти вперед. Форсус, как вариант, но там много нюансов. С учетом вашего местоположения возможностей не так много. Снимать и миобрейс - это не вариант, поскольку нужно довести зубы до полного смыкания, иначе челюсть "уедет" обратно. спасибо Вам, что откликнулись))))) Я так рада, так рада, что Вы не оставляете без внимания мольбу о помощи. Ссылка на комментарий
Yana guapa Опубликовано 20 мая, 2015 Поделиться Опубликовано 20 мая, 2015 А можно по подробнее об аппарате? Это типа форсуса аппарат? Мне еще предлагали снять брекеты и на ночь одевать трейнер миобрейс безкаркасный. И если сейчас поставить этот аппарат, то получается это мне примерно столько же ходить придется сколько я ходила в брекетах? да, аппарат по типу форсуса, только крепление другое. он выдвигает нижнюю челюсть на должное расстояние вперед (врач выбирает расстояние), и пациент может закрыть рот только в правильном новом положении. носят в среднем 6 месяцев. При использовании стандартных аппаратов по типу "миобрейс", получают ДВОЙНОЙ прикус - пациент может закрыть и по-старому и по-новому, в итоге сустав только страдает, а не вылечивается. если до ПИКАССО доехали (а они только в крупных городах), то и до ортодонта доедете)) Ссылка на комментарий
Айсылу Опубликовано 23 июля, 2015 Автор Поделиться Опубликовано 23 июля, 2015 (изменено) Изменено 23 июля, 2015 пользователем Айсылу Ссылка на комментарий
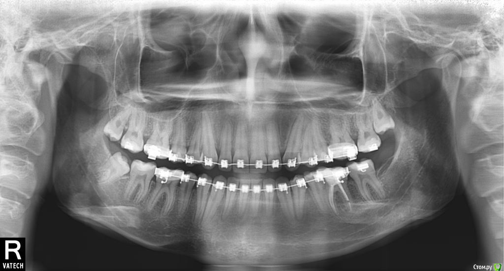
Айсылу Опубликовано 23 июля, 2015 Автор Поделиться Опубликовано 23 июля, 2015 Здравствуйте. Снова я с вопросом к Вам, уважаемые, ортодонты. Вот сделала такие снимки. Ортодонт из "Большого города" сказал, что суставные головки на месте и что выдвигать нижнюю челюсть нельзя. Расширять НЧ уже поздно, из-за возраста. Три варианта решения проблемы мне предложили.:1. Удалить 4-ки (предупредил, что удаление приведет к деформации черепа);2. Хирургическим путем (на этот метод я никогда не решусь);3. снять брекеты. Я записалась на снятие. Для успокоения души решила еще и Ваше мнение узнать... Единственное меня беспокоит тот момент, на сколько губителен этот мой новый дистальный прикус. И что хуже, глубокий прикус, который был до лечения, или же этот, который возник у меня процессе лечения.? Ссылка на комментарий
Айсылу Опубликовано 23 июля, 2015 Автор Поделиться Опубликовано 23 июля, 2015 (изменено) да, аппарат по типу форсуса, только крепление другое. он выдвигает нижнюю челюсть на должное расстояние вперед (врач выбирает расстояние), и пациент может закрыть рот только в правильном новом положении. носят в среднем 6 месяцев. При использовании стандартных аппаратов по типу "миобрейс", получают ДВОЙНОЙ прикус - пациент может закрыть и по-старому и по-новому, в итоге сустав только страдает, а не вылечивается. если до ПИКАССО доехали (а они только в крупных городах), то и до ортодонта доедете)) Здравствуйте, хотела Ваше мнение узнать по поводу записи, которую я оставила выше)) Изменено 23 июля, 2015 пользователем Айсылу Ссылка на комментарий
Yana guapa Опубликовано 23 июля, 2015 Поделиться Опубликовано 23 июля, 2015 Я записалась на снятие. Для успокоения души решила еще и Ваше мнение узнать... как Вы себе это представляете? Доктора, которые Вам отвечали и давали свои рекомендации (не снимать, выдвигать НЧ вперед...) сейчас откажутся от своих слов и напишут - снимайте. ? Вам уже давали совет ооооочень грамотные специалисты (это я про Алексей Олеговича и Алексея Сергеевича) Вы приняли другое решение.Неправильный прикус остался. Но многие живут так всю жизнь))) Решение всегда остается за Вами Ссылка на комментарий
Айсылу Опубликовано 23 июля, 2015 Автор Поделиться Опубликовано 23 июля, 2015 как Вы себе это представляете? Доктора, которые Вам отвечали и давали свои рекомендации (не снимать, выдвигать НЧ вперед...) сейчас откажутся от своих слов и напишут - снимайте. ? Вам уже давали совет ооооочень грамотные специалисты (это я про Алексей Олеговича и Алексея Сергеевича) Вы приняли другое решение.Неправильный прикус остался. Но многие живут так всю жизнь))) Решение всегда остается за Вам что-то я совсем запуталась...))) я послушалась рекомендаций.обратилась к более опытному ортодонту из близлежащего Большого города. Он рекомендовал мне пройти дополнительное обследование. по результатам снимков моего сустава он сделал такие выводы. До этих снимков он тоже хотел выполнить репозицию нижней челюсти. Но в результате он сказал то, что я написала выше. Я вот именно что не хочу снимать, пока результата полного не будет. Пишу я удостоверится действительно ли мне правильно сказали все выходы из моей ситуации. P/S я ведь еще не сняла брекеты))) Ссылка на комментарий
Yana guapa Опубликовано 23 июля, 2015 Поделиться Опубликовано 23 июля, 2015 что-то я совсем запуталась...))) я послушалась рекомендаций.обратилась к более опытному ортодонту из близлежащего Большого города. Он рекомендовал мне пройти дополнительное обследование. по результатам снимков моего сустава он сделал такие выводы. До этих снимков он тоже хотел выполнить репозицию нижней челюсти. Но в результате он сказал то, что я написала выше. Я вот именно что не хочу снимать, пока результата полного не будет. Пишу я удостоверится действительно ли мне правильно сказали все выходы из моей ситуации. P/S я ведь еще не сняла брекеты))) http://forum.stom.ru/topic/4655-patcientam/ посмотрите эту ссылкуВам необходимо добавить информации Ссылка на комментарий
Рекомендуемые сообщения
Для публикации сообщений создайте учётную запись или авторизуйтесь
Вы должны быть пользователем, чтобы оставить комментарий
Создать аккаунт
Зарегистрируйте новый аккаунт в нашем сообществе. Это очень просто!
Регистрация нового пользователяВойти
Уже есть аккаунт? Войти в систему.
Войти