doktorSergey Опубликовано 11 мая, 2015 Поделиться Опубликовано 11 мая, 2015 Моляры prettau, остальные e-max. Уже вижу много недочетов, но Ваша критика, мне кажется, пойдет мне на пользу. 8 Ссылка на комментарий
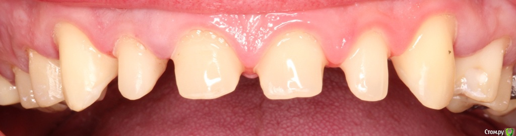
Dr.Sham Опубликовано 11 мая, 2015 Поделиться Опубликовано 11 мая, 2015 во фронте цельнопресс? почему в боковых отделах цельно прессованную не сделали? контакт клыка недопрепарировали, будет камень там язычно. 1 Ссылка на комментарий
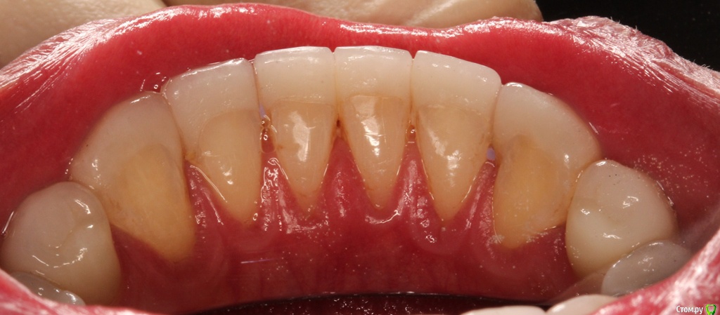
Aquarius Опубликовано 12 мая, 2015 Поделиться Опубликовано 12 мая, 2015 (изменено) Хорошая работа, но почему-то кажется, что зубы мелковаты. Особенно центральные. Вот прям просятся чуть подлиннее и покрупнее. Сугубо личное мнение. И по длине реж.краев дисбаланс. По цвету - слишком монотонно. Пациент все равно доволен?) Изменено 12 мая, 2015 пользователем Aquarius 2 Ссылка на комментарий
4ebstom Опубликовано 12 мая, 2015 Поделиться Опубликовано 12 мая, 2015 +1 Клыки на фото излишне доминируют... Ссылка на комментарий
chervoncevdaniil Опубликовано 12 мая, 2015 Поделиться Опубликовано 12 мая, 2015 Расскажите как планировали работу,пожалуйста.Лицевая дуга,ЦС?Фото оттисков,если есть,можете показать? Ссылка на комментарий
krokomot Опубликовано 12 мая, 2015 Поделиться Опубликовано 12 мая, 2015 На мой взгляд сохранена естественная форма зубного ряда это +, поэтому клыки и доминируют, но мне для определения гармонии улыбки как правило требуется увидеть все лицо Ссылка на комментарий
sydnik Опубликовано 12 мая, 2015 Поделиться Опубликовано 12 мая, 2015 а почему 31 и 41 меньше двоек получились? Ссылка на комментарий
MaxDok Опубликовано 12 мая, 2015 Поделиться Опубликовано 12 мая, 2015 //////////////// а почему 31 и 41 меньше двоек получились?////////////Так фэншуйнее ) Ссылка на комментарий
Art 7 Опубликовано 12 мая, 2015 Поделиться Опубликовано 12 мая, 2015 а почему 31 и 41 меньше двоек получились?посмотрите на расстояние между двойками и клыками, если стоит задача сделать их более гармонично то надо было апроксимальнее больше точить и глубже. Не думаю что тут это было бы оправданно Ссылка на комментарий
doktorSergey Опубликовано 12 мая, 2015 Автор Поделиться Опубликовано 12 мая, 2015 во фронте цельнопресс? почему в боковых отделах цельно прессованную не сделали? контакт клыка недопрепарировали, будет камень там язычно.Фиксация без коффера предполагалась - диоксид на фуджи - что может быть проще. Какого клыка? Ссылка на комментарий
doktorSergey Опубликовано 12 мая, 2015 Автор Поделиться Опубликовано 12 мая, 2015 (изменено) Расскажите как планировали работу,пожалуйста.Лицевая дуга,ЦС?Фото оттисков,если есть,можете показать?Планирование было таково:1. Определение центрального соотношения методом Славичека (покачиванием челюсти и фиксацией на межокклюзионный восковой регистрат). Все в артикулятор.2. Изготовление релаксационной шины.3. Определение соотношения челюстей спустя месяц.4. Wax-up, Mock-upА дальше за 2 или 3 посещения заточил верх, потом за 3 низ. Точил сегмент, отпускал с времянками на обточенных зубах, и мокапом из люксатемпа на необточенных.Слепки - по 3-4 часа 2 посещения. Слепки, как не выеживался, идеальными не вышли. Нашел для фото только верхний скорей всего не рабочий. Самая большая проблема была при фиксации - после фиксации части коронок, или виниров, другие не хотят садится - мешает контактный пункт. И это не смотря на то, что фиксирую так: сажаю фарфор на жесткий корригирующий монофаз, потом снимаю зубья поочередно и клею. Но когда остаются последние - они то и не встают... Клеил в такой последовательности - 6-5-4-3, потом 1-1, 2ки и 7ки не влезли.. Изменено 12 мая, 2015 пользователем doktorSergey 1 Ссылка на комментарий
doktorSergey Опубликовано 12 мая, 2015 Автор Поделиться Опубликовано 12 мая, 2015 а почему 31 и 41 меньше двоек получились?Насколько я помню центральные нижние резцы уже - так в книжке нарисованно. Ссылка на комментарий
Lolopop Опубликовано 15 мая, 2015 Поделиться Опубликовано 15 мая, 2015 Планирование было таково:1. Определение центрального соотношения методом Славичека (покачиванием челюсти и фиксацией на межокклюзионный восковой регистрат). Все в артикулятор.2. Изготовление релаксационной шины.3. Определение соотношения челюстей спустя месяц.4. Wax-up, Mock-upА дальше за 2 или 3 посещения заточил верх, потом за 3 низ. Точил сегмент, отпускал с времянками на обточенных зубах, и мокапом из люксатемпа на необточенных.Слепки - по 3-4 часа 2 посещения. Слепки, как не выеживался, идеальными не вышли. Нашел для фото только верхний скорей всего не рабочий. Самая большая проблема была при фиксации - после фиксации части коронок, или виниров, другие не хотят садится - мешает контактный пункт. И это не смотря на то, что фиксирую так: сажаю фарфор на жесткий корригирующий монофаз, потом снимаю зубья поочередно и клею. Но когда остаются последние - они то и не встают... Клеил в такой последовательности - 6-5-4-3, потом 1-1, 2ки и 7ки не влезли.. может тогда стоило разбить работу по частям? часто слепки не идеальными получаются, поэтому взял за привычку сначала фронт, потом дистальный отдел протезировать.препарирование можно провесьти всех сразу зубов. 1 Ссылка на комментарий
DoctorT Опубликовано 17 мая, 2015 Поделиться Опубликовано 17 мая, 2015 При таких слепках, ребята, у вас работу реально техники вывозят. Ссылка на комментарий
M@estro Опубликовано 18 мая, 2015 Поделиться Опубликовано 18 мая, 2015 При таких слепках, ребята, у вас работу реально техники вывозят.Модель бы посмотреть 1 Ссылка на комментарий
Dr.Sham Опубликовано 21 мая, 2015 Поделиться Опубликовано 21 мая, 2015 а что значит эта фраза? Ссылка на комментарий
Рекомендуемые сообщения
Для публикации сообщений создайте учётную запись или авторизуйтесь
Вы должны быть пользователем, чтобы оставить комментарий
Создать аккаунт
Зарегистрируйте новый аккаунт в нашем сообществе. Это очень просто!
Регистрация нового пользователяВойти
Уже есть аккаунт? Войти в систему.
Войти