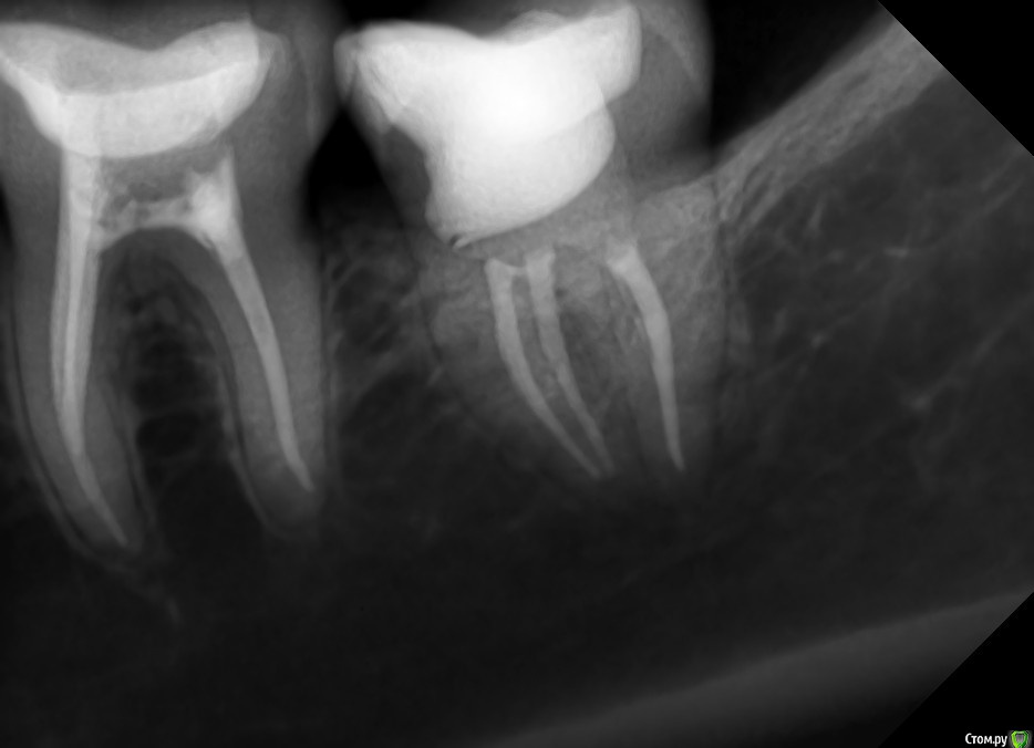
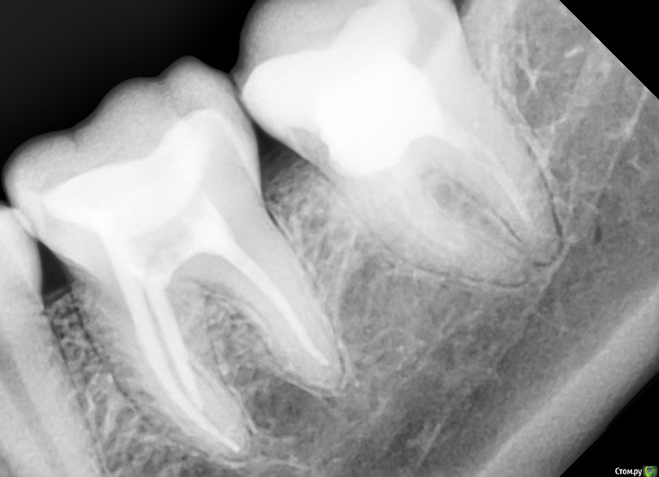
DA89 Опубликовано 8 мая, 2015 Поделиться Опубликовано 8 мая, 2015 Добрый деньПолгода назад была перелечена 7 снизу (был найден доп канал), положили кальций на 2 нед, неприятные ощущения прошли, запломбировали гутаперчей. Через 3 нед вновь появились неприятные ощущения (боль в ухе, подчелюстной лимфоузел увеличен и ощущения как будто зуб чешется, после того как пожую на него становится легче). Пропила курс настойки эхинацеи, стало легче, потом снова все вернулось. На сегодняшний день периодически боль в ухе, челюстном суставе, зуб как будто чешется, хочется на него накусить и увеличивается лимфоузел. Может дня 3 вообще ничего не беспокоить, либо беспокоить мин 30 в день и проходит, а может и весь день беспокоить. Доктор который его лечил сказал удалять. Есть ли смысл снова перелечивать каналы? Прикрепила снимки до лечения и спустя полгода Ссылка на комментарий
Паращук Роман Опубликовано 10 мая, 2015 Поделиться Опубликовано 10 мая, 2015 Снял бы плобму,оценил на трещины,если все гуд врем.коронка на время. Ссылка на комментарий
Гарриевич Опубликовано 11 мая, 2015 Поделиться Опубликовано 11 мая, 2015 Плюсую к трещинеПища застревает в этом месте? Ссылка на комментарий
DA89 Опубликовано 12 мая, 2015 Автор Поделиться Опубликовано 12 мая, 2015 (изменено) Плюсую к трещинеПища застревает в этом месте?вроде нет, но я все равно пользуюсь зубной нитью, после нее болит между зубами. Во время чистки зубов иногда чешется десна 7 и между 6 и 7 с внутренней стороны.Полгода назад (после лечения) делала КТ, доктор сказал трещины корня нет Изменено 12 мая, 2015 пользователем DA89 Ссылка на комментарий
Гарриевич Опубликовано 13 мая, 2015 Поделиться Опубликовано 13 мая, 2015 но я все равно пользуюсь зубной нитью, после нее болит между зубами значит не совсем правильно чистите Во время чистки зубов иногда чешется десна 7 и между 6 и 7 с внутренней стороны это косвенно говорит о наличии пародонтальной проблемы в этой области Полгода назад (после лечения) делала КТ, доктор сказал трещины корня нет то есть болит без 3х недель полгода? Ссылка на комментарий
DA89 Опубликовано 14 мая, 2015 Автор Поделиться Опубликовано 14 мая, 2015 значит не совсем правильно чистите это косвенно говорит о наличии пародонтальной проблемы в этой области то есть болит без 3х недель полгода?да, уже полгода, судя по снимку, появились ли изменения за это время?Лечащий доктор сказал если чешется зуб и десна, это говорит об инфекции в корне...Другой стоматолог сказала что справиться с хроническим периодонтитом поможет лазерная физиотерапия. Есть ли смысл или это просто выкачивание денег? Ссылка на комментарий
Гарриевич Опубликовано 15 мая, 2015 Поделиться Опубликовано 15 мая, 2015 Другой стоматолог сказала что справиться с хроническим периодонтитом поможет лазерная физиотерапия не является лечебным мероприятием Лечащий доктор сказал если чешется зуб и десна, это говорит об инфекции в корне... не согласен появились ли изменения за это время? изменений не вижу, по снимку все в порядке зуб как будто чешется хочется на него накусить после того как пожую на него становится легче все это говорит за связочный аппарат, ищите проблему там Ссылка на комментарий
DA89 Опубликовано 25 июня, 2015 Автор Поделиться Опубликовано 25 июня, 2015 Здравствуйте, с зубами и лимфоузлом так и мучаюсь, еще и температура 37,5 добавилась. Никто открывать 6 или 7 не хочет, все советуют наблюдать. Была у невролога, гнатолога, ничего своего не видят.Хирург удалять не видит смысла, сказал зубы хорошие. Последний стоматолог посоветовал сделать 5 инъекций препарата траумель в десну. Как думаете, есть ли смысл? Ссылка на комментарий
Паращук Роман Опубликовано 25 июня, 2015 Поделиться Опубликовано 25 июня, 2015 Здравствуйте, с зубами и лимфоузлом так и мучаюсь, еще и температура 37,5 добавилась. Никто открывать 6 или 7 не хочет, все советуют наблюдать. Была у невролога, гнатолога, ничего своего не видят.Хирург удалять не видит смысла, сказал зубы хорошие. Последний стоматолог посоветовал сделать 5 инъекций препарата траумель в десну. Как думаете, есть ли смысл?нет смысла. Раскрывать 7й и спотреть,лучше в увеличение. Ссылка на комментарий
red_butler Опубликовано 25 июня, 2015 Поделиться Опубликовано 25 июня, 2015 Как думаете, есть ли смысл? нет Ссылка на комментарий
DA89 Опубликовано 5 июля, 2015 Автор Поделиться Опубликовано 5 июля, 2015 Добрый день,зуб открыли,ничего подозрительного врач не увидел.положили лекарство,изменений в лучшую сторону нет.появилась еще дергающая боль,отдает в 6 и 5.узнала что на 7 сломана стенка ниже уровня десны,врач сказал ничего страшного.посоветуйте пож-та есть ли смысл лечить ?сейчас пью цифран ст и нимесил,температура держится Ссылка на комментарий
Гарриевич Опубликовано 5 июля, 2015 Поделиться Опубликовано 5 июля, 2015 А Вам восьмой зуб на верху с этой стороны удаляли?Сделайте ОПТГ и выкладывайте Ссылка на комментарий
DA89 Опубликовано 5 июля, 2015 Автор Поделиться Опубликовано 5 июля, 2015 8 нет нигде,даже зачатков Ссылка на комментарий
Гарриевич Опубликовано 6 июля, 2015 Поделиться Опубликовано 6 июля, 2015 Тогда выкладывайте снимок 5 зуба Ссылка на комментарий
Рекомендуемые сообщения
Для публикации сообщений создайте учётную запись или авторизуйтесь
Вы должны быть пользователем, чтобы оставить комментарий
Создать аккаунт
Зарегистрируйте новый аккаунт в нашем сообществе. Это очень просто!
Регистрация нового пользователяВойти
Уже есть аккаунт? Войти в систему.
Войти