NazranDantist Опубликовано 8 мая, 2015 Поделиться Опубликовано 8 мая, 2015 Здравствуйте. Помогите с планом лечения. Планируется, вверх убрать все, кроме 13, 23, 24. Установка имплантов в области 12, 14, 16,17, 22, 25, 27. Дальше несъемная ортопедическая конструкция (еще определяемся). Низ - убрать 7-ки, импланты в области 6,7 с обеих сторон.Больше всего интересует этапность хирургических манипуляций. Как бы вы разбили здесь этапы, какие операции и в какой последовательности сделали бы?Взялись бы вверх одномоментно все убрать и закрутить? С низом вроде попроще. Кости очень много, гайморова пазуха знала, что будут ставить импланты П.С.: Я ортопед, но хочу освоить имплантацию, вот первая большая хирургическая работа, не знаю с какого края подойти Ссылка на комментарий
kladoffka Опубликовано 8 мая, 2015 Поделиться Опубликовано 8 мая, 2015 Я ортопед, но хочу освоить имплантацию, вот первая большая хирургическая работа а до этого хирургические навыки как нибудь применяли? т.е. насколько вы владеете хирургией? Ссылка на комментарий
NazranDantist Опубликовано 8 мая, 2015 Автор Поделиться Опубликовано 8 мая, 2015 а до этого хирургические навыки как нибудь применяли? т.е. насколько вы владеете хирургией?Удаления на уровне хобби в течении 7 лет, имплантация пол года, до этого много ассистировал. Ссылка на комментарий
Аслан Опубликовано 8 мая, 2015 Поделиться Опубликовано 8 мая, 2015 когда Вы собираетесь делать тотал на имплантах не важно на какой челюсти, помните, что никгода не ошибетесь с вариантом 6-4-3-3-4-6, либо 6-4-2-2-4-6, отсюда и отталкивайтесь. этооптимальная расстановка винтов. как бы сделал я.диагностическая модель уходит в создание хирургического шаблона, далее готовите два клыка под временный лабораторный мост, можно на металлическом каркасе, снимате слепок, в лабе на модели убирают "лишний" 21 и делают это самый временный мост. когда все готово день Х. удаления, кюрретаж лунок, имплантация, если торк хороший, делаете временные сразу во фронте, на жеватках формирователи, если торк не очень хороший, то наглухо все ушить и наклеить мот 13-23.через 3-4 месяца формирователи, потом снятие слепка под постоянную работу, потом удаление 13 и 23, и временная конструкция на моделирование слизистой, потом постоянная. конструкция. Ссылка на комментарий
NazranDantist Опубликовано 9 мая, 2015 Автор Поделиться Опубликовано 9 мая, 2015 когда Вы собираетесь делать тотал на имплантах не важно на какой челюсти, помните, что никгода не ошибетесь с вариантом 6-4-3-3-4-6, либо 6-4-2-2-4-6, отсюда и отталкивайтесь. этооптимальная расстановка винтов. как бы сделал я.диагностическая модель уходит в создание хирургического шаблона, далее готовите два клыка под временный лабораторный мост, можно на металлическом каркасе, снимате слепок, в лабе на модели убирают "лишний" 21 и делают это самый временный мост. когда все готово день Х. удаления, кюрретаж лунок, имплантация, если торк хороший, делаете временные сразу во фронте, на жеватках формирователи, если торк не очень хороший, то наглухо все ушить и наклеить мот 13-23.через 3-4 месяца формирователи, потом снятие слепка под постоянную работу, потом удаление 13 и 23, и временная конструкция на моделирование слизистой, потом постоянная. констрСпасибо за совет. 13,23 планируем оставить, а работу по сегментам разбить, или же если пойдем на подкову, клыки тоже подключим, пусть стоят, мешать не будут.Скажите, как быть с ушиванием при таком большом объеме нехватки десны (после удаления)? 2 Ссылка на комментарий
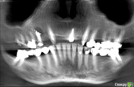
Аслан Опубликовано 9 мая, 2015 Поделиться Опубликовано 9 мая, 2015 с ушиванием... хм... самый просто вариант для Вас - засыпать в лунки стружку покрупнее но не тромбовать сильно, накрыть мембраной, края десны не сводить в плотную, чтобы не сильно уменьшать зону прикрепленной десны. можно и мембрану и формирователи если что. а можно и формирователи и без мембраны.Ваш снимок не самый информативный, но даже по нему острой необходимости сохрарнения клыков я не вижу. учтите в ортопедическом протоколе. если клыки останутся свои и будут маленькие мостики - восстановите клыковое ведение, если клыки будут удаляться и восстанавливаться в дуге на винтах - выводите групповое ведение с премолярами. а вот решение "подключить" клыки в подкове на имплантах - желаю Вам удачи в этом начинании. может Вы знаете что-то что позволяет объединить зубы и винты, но никто из ранее зарегестрированных на форуме такого не знает. 1 Ссылка на комментарий
NazranDantist Опубликовано 9 мая, 2015 Автор Поделиться Опубликовано 9 мая, 2015 с ушиванием... хм... самый просто вариант для Вас - засыпать в лунки стружку покрупнее но не тромбовать сильно, накрыть мембраной, края десны не сводить в плотную, чтобы не сильно уменьшать зону прикрепленной десны. можно и мембрану и формирователи если что. а можно и формирователи и без мембраны.Ваш снимок не самый информативный, но даже по нему острой необходимости сохрарнения клыков я не вижу. учтите в ортопедическом протоколе. если клыки останутся свои и будут маленькие мостики - восстановите клыковое ведение, если клыки будут удаляться и восстанавливаться в дуге на винтах - выводите групповое ведение с премолярами. а вот решение "подключить" клыки в подкове на имплантах - желаю Вам удачи в этом начинании. может Вы знаете что-то что позволяет объединить зубы и винты, но никто из ранее зарегестрированных на форуме такого не знает.Спасибо еще раз.Буду думать. По поводу клыков, даже если их брать в тотальную конструкцию, что в этом плохого? Это ведь не мост имплант-зуб? Можно и на винтах сделать работу, а клыки использовать как телескопы. Зачем их удалять? Или есть какие-то подводные камни? 1 Ссылка на комментарий
Аслан Опубликовано 9 мая, 2015 Поделиться Опубликовано 9 мая, 2015 Спасибо еще раз.Буду думать. По поводу клыков, даже если их брать в тотальную конструкцию, что в этом плохого? Это ведь не мост имплант-зуб? Можно и на винтах сделать работу, а клыки использовать как телескопы. Зачем их удалять? Или есть какие-то подводные камни?какие телескопы? Вы о чем? Ставить рекомендую с шаблоном чтобы были варианты решения вопроса в конце. при 6 имплантах в позиции 6-4-2-2-4-6 у вас возможны только варианты конструкции:1)удалить клыки и керамический мост-подкова (на винтовой или на цементной фиксации смотрите сами) 2)удалить клыки и композитная конструкция3)не удалить клыки и сделать небольшие мостики 6-4, клыки одиночки, и мост 2-2, но смотрите чтобы везде потом получили краысивые контуры по десне.телескопы на клыках - только в варианте временной конструкции пока имланты не нрагрузите. другого варианта с телескопами вообще нет.и то спороно. я б не стал делать съем. как вариант металло пластмассовый мост 3-3, потом клыки убрать. 2 Ссылка на комментарий
4ebstom Опубликовано 10 мая, 2015 Поделиться Опубликовано 10 мая, 2015 +1 к Аслану.Отталкивайтесь от конечного результата: определитесь с прикусом.Посмотрите ваксап.Нижний фронт кажется выдвинулся или срез такой. Лучше через шаблоны все. Возможно, случай пока не Ваш... Ссылка на комментарий
NazranDantist Опубликовано 10 мая, 2015 Автор Поделиться Опубликовано 10 мая, 2015 Спасибо всем за советы. Но в протезирование у меня нет вопросов. Клыки - абсолютно не помеха даже для подковы на имплантах, потому что они будут включены в конструкцию и разность подвижности импланта и зуба в этом случае никакой роли не сыграет. Меня больше интересует хирургическая часть вопроса, здесь конечно опыта не хватает. Решил сделать так. Удалить все ненужное + сделать съемный протез на верх с формированием протезного ложа по типу овойдов.. Через два месяца использовать съемник как шаблон (сделать отверстия в протезе ) и поставить импланты в области 6-4-2. Далее, сделать тотальную работу. Или поставить импланты 7-6-4-2 и разбить все на мостики (будет зависеть от финансовых возможностей). Аслан, объясните пожалуйста, почему нельзя оставлять клыки под тотальную работу? В чем опасность? С учетом того, что периапекальные ткани без изменений.П.С.: Не хочу ни с кем спорить, просто реально хочется узнать, в чем опасность включать клыки в такую конструкцию. Ссылка на комментарий
syrovovec Опубликовано 10 мая, 2015 Поделиться Опубликовано 10 мая, 2015 Вы сами ответили на свой вопрос разность подвижности импланта и зуба Ссылка на комментарий
NazranDantist Опубликовано 10 мая, 2015 Автор Поделиться Опубликовано 10 мая, 2015 Вы сами ответили на свой вопросразность подвижности импланта и зубаПри тотальной работе на имплантах нету разницы, есть свои зубы в промежутке или нету, разность в подвижности не будет влиять на судьбу конструкции. Возможно есть другие причины, из-за которых нельзя делать такое объединение, но я о них не знаю. Ссылка на комментарий
Аслан Опубликовано 10 мая, 2015 Поделиться Опубликовано 10 мая, 2015 при тотальной работе или не при тотальной, не имеет значения, нельзя объединять зубы и импланты. в имплантации есть 3 правила. 1) импланты отдельно, зубы отдельно, не нарушать никогда.2) должно быть 2 мм кости вокруг импланта (в некоторых ситуациях мэтрами оспаривается и решается третьим правилом)3) 3 мм прикрепленки вокруг импланта и от уровня шейки до маргинального края. необходимо для долгосрочного прогноза и создания "прикрепления" к абатменту. уж простите, что так "просто" оюъснил, но это самые основные причины.спланируйте работу с точки зрения ортопедии. если у вас получается обойтись без розовой керамики, можете сделать раздельные мостики и потом в случае если вдруг когда-то клыки уйдут сделаете одиночные импланты на клыки, но выведете коронками групповое ведение с премолярами. только вот зачем идти так сложно если вполне можно уйти от доделок и переделок через планирование консрукции сразу.Ах да. поставьте лучше 6 винтов но по 3д шаблону, чем 8 по протезу. Когда у Вас винты будут параллельны и вам и вашем технику будет на много проще. 3 Ссылка на комментарий
Рекомендуемые сообщения
Для публикации сообщений создайте учётную запись или авторизуйтесь
Вы должны быть пользователем, чтобы оставить комментарий
Создать аккаунт
Зарегистрируйте новый аккаунт в нашем сообществе. Это очень просто!
Регистрация нового пользователяВойти
Уже есть аккаунт? Войти в систему.
Войти