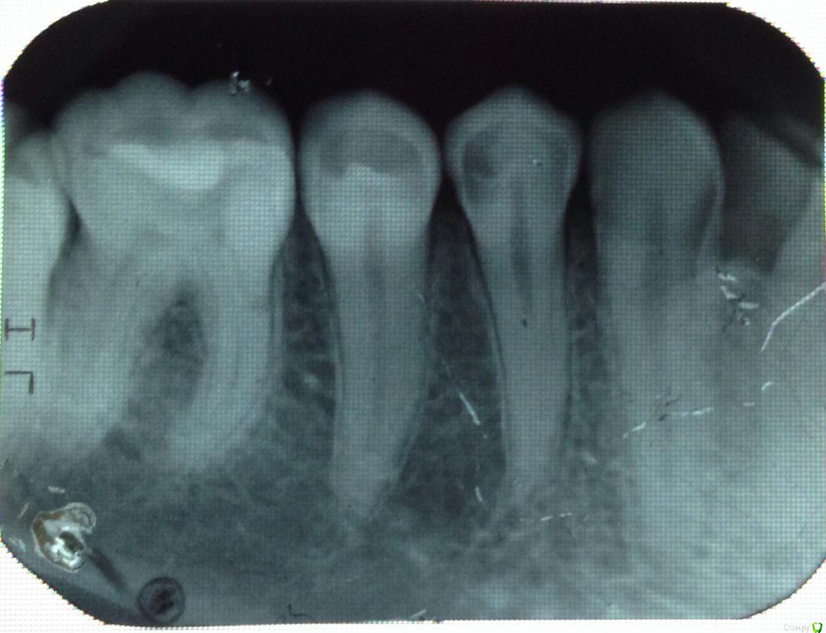
Даночка Опубликовано 6 мая, 2015 Поделиться Опубликовано 6 мая, 2015 Здравствуйте!В 34 зубе есть кариес(снимок 1)? Если да, то какой интенсивности? Есть ли кариес в 27(снимок 2)? Если да, то какой? Врач по внешнему осмотру сказал, что фиссурный. Так ли это? Ссылка на комментарий
Гарриевич Опубликовано 6 мая, 2015 Поделиться Опубликовано 6 мая, 2015 Фиссурный кариес на регнгенограмме не виденНа 34 есть, со стороны 35 достаточно глубокий 1 Ссылка на комментарий
St. Опубликовано 6 мая, 2015 Поделиться Опубликовано 6 мая, 2015 Даночка, найдите хорошего доктора, которому бы Вы доверяли, и методично приводите всё в порядок. Форум и советы это конечно здорово, но если настолько сомневаетесь в решении доктора по поводу стольких зубов, значит нужно что-то менять) 1 Ссылка на комментарий
Рекомендуемые сообщения
Для публикации сообщений создайте учётную запись или авторизуйтесь
Вы должны быть пользователем, чтобы оставить комментарий
Создать аккаунт
Зарегистрируйте новый аккаунт в нашем сообществе. Это очень просто!
Регистрация нового пользователяВойти
Уже есть аккаунт? Войти в систему.
Войти