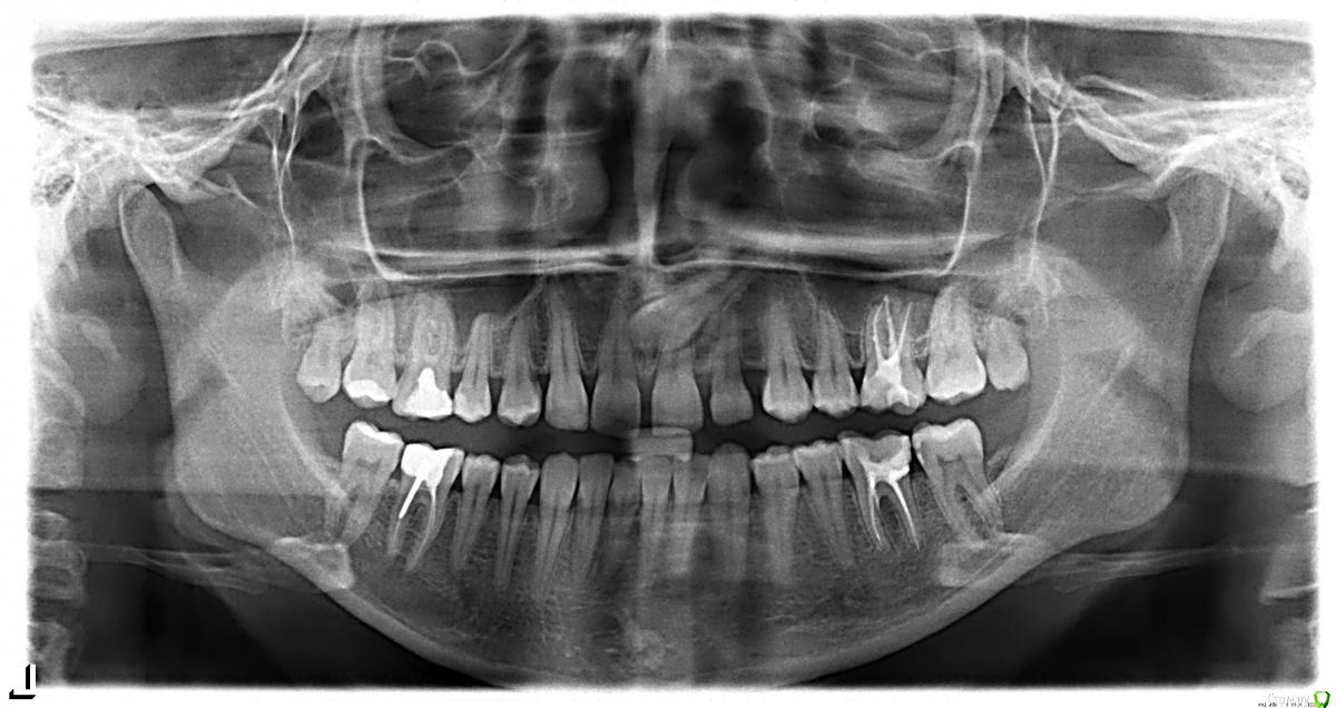
Jason Fa Опубликовано 1 мая, 2015 Поделиться Опубликовано 1 мая, 2015 Здравствуйте! Мне 23 года. Я планирую ортодонтическое лечение. С рождения у меня адентия резца 2.2. Клык встал на его место. Был недоразвит и его нарастили под резец около 7 лет назад. На правой стороне был ретенированный клык 1.3, который я приняла решение удалить и удалила (о чем сейчас жалею. Операция прошла крайне неудачно). То есть сейчас эстетически у меня нет обоих клыков на верхней челюсти. И щели между зубами. Рассматриваю два варианта:1. Открытие промежутков и импланты2. Закрыть промежуткиБыла на консультации у 3 ортодонтов. Все три предложили закрывать промежутки. Хотела бы уточнить как лучше быть. Прилагаю ТРГ и панорамный снимок. Панорамный снимок сделала в марте. До удаления клыка. ТРГ сделано позавчера. Сейчас нахожусь в стадии лечения 6рок и мелких кариесов. Знаю, что на закрытие должны быть определенные показания: гнатическое соотношение, профиль, контакты зубов. Хотелось бы понимать как изменится челюсть, профиль, форма губ, подбородка при таком закрытие. Буду благодарна за ответы! Заранее спасибо! Ссылка на комментарий
red_butler Опубликовано 1 мая, 2015 Поделиться Опубликовано 1 мая, 2015 http://forum.stom.ru/topic/4655-patcientam/ Ссылка на комментарий
Jason Fa Опубликовано 1 мая, 2015 Автор Поделиться Опубликовано 1 мая, 2015 http://forum.stom.ru/topic/4655-patcientam/ Ссылка на комментарий
Jason Fa Опубликовано 1 мая, 2015 Автор Поделиться Опубликовано 1 мая, 2015 http://forum.stom.ru/topic/4655-patcientam/А можно без фотографий в профиль. Стесняюсь Ссылка на комментарий
Ayrat_zub Опубликовано 2 мая, 2015 Поделиться Опубликовано 2 мая, 2015 А можно без фотографий в профиль. Стесняюсьо_О Ссылка на комментарий
Yana guapa Опубликовано 3 мая, 2015 Поделиться Опубликовано 3 мая, 2015 На правой стороне был ретенированный клык 1.3, который я приняла решение удалить и удалила (о чем сейчас жалею. Операция прошла крайне неудачно).что Вы имеете в виду под крайне неудачным удалением? Интересный у Вас подход к лечению - вначале сами себе прописываете удаление, а потом просите совета. На консультациях Вам рассказали о состоянии головок нижней челюсти в Ваших височно-нижнечелюстных суставов ?? и что с ними будет если Вы не вернете клыки в Вашу зубо-челюстную систему.? клыки это нетолько эстетика, это еще и функция. Ссылка на комментарий
Jason Fa Опубликовано 4 мая, 2015 Автор Поделиться Опубликовано 4 мая, 2015 (изменено) что Вы имеете в виду под крайне неудачным удалением? Интересный у Вас подход к лечению - вначале сами себе прописываете удаление, а потом просите совета. На консультациях Вам рассказали о состоянии головок нижней челюсти в Ваших височно-нижнечелюстных суставов ?? и что с ними будет если Вы не вернете клыки в Вашу зубо-челюстную систему.? клыки это нетолько эстетика, это еще и функция.1. После удаление клыка повредили зуб 1.1 и возможно 1.2. 1.2 пока под вопросом. 2. Никто не дал гарантии что этот клык вытянет. 3. Нет. Не рассказали. У меня нет только одного клыка на верхней челюсти. Второй клык на верхней челюсти встал на место резца. Расскажите пожалуйста. Поэтому и написала на форум с вопросами как лучше поступить в такой ситуации. Изменено 4 мая, 2015 пользователем Jason Fa Ссылка на комментарий
Yana guapa Опубликовано 5 мая, 2015 Поделиться Опубликовано 5 мая, 2015 3. Нет. Не рассказали. У меня нет только одного клыка на верхней челюсти. Второй клык на верхней челюсти встал на место резца. Расскажите пожалуйста. Поэтому и написала на форум с вопросами как лучше поступить в такой ситуации. это большая тема... но если в вкратце- клыки-одни из основных зубов в зубо-челюстной системе человека, которые должны забирать на себя нагрузку. поэтому их и пытаются всегда сохранить, восстановить, поставить в правильное положение... Если нет такой возможности - стараются привести окклюзионные контакты (между верхней и нижней челюстями) в максимально удобное положение (чтобы СИСТЕМА работала) . в противном случае возникают проблемы: повышенная стираемость зубов, клиновидные дефекты, рецессии десны, изменения в суставе и т.д. Ссылка на комментарий
Yana guapa Опубликовано 5 мая, 2015 Поделиться Опубликовано 5 мая, 2015 как лучше поступить в такой ситуации. во-первых нужна полная информация и диагностика, Вам об этом уже писали. Но и не на все вопросы можно ответить оффлайн, только при непосредственном осмотре.во-вторых принимать решение нужно Вашему ортодонту, что он сможет "слепить" из того что есть)))) здесь многое зависит от профессионализма врача, уровня его подготовки. (Ведь клык Вам не вытащили, хотя, возможно, это было бы реально) Ссылка на комментарий
Jason Fa Опубликовано 5 мая, 2015 Автор Поделиться Опубликовано 5 мая, 2015 во-первых нужна полная информация и диагностика, Вам об этом уже писали. Но и не на все вопросы можно ответить оффлайн, только при непосредственном осмотре.во-вторых принимать решение нужно Вашему ортодонту, что он сможет "слепить" из того что есть)))) здесь многое зависит от профессионализма врача, уровня его подготовки. (Ведь клык Вам не вытащили, хотя, возможно, это было бы реально)в каком городе вы находитесь? Если в Москве, я бы пришла к вам на консультацию. Спасибо. Ссылка на комментарий
Jason Fa Опубликовано 6 мая, 2015 Автор Поделиться Опубликовано 6 мая, 2015 Вот как лежал клык Ссылка на комментарий
Рекомендуемые сообщения
Для публикации сообщений создайте учётную запись или авторизуйтесь
Вы должны быть пользователем, чтобы оставить комментарий
Создать аккаунт
Зарегистрируйте новый аккаунт в нашем сообществе. Это очень просто!
Регистрация нового пользователяВойти
Уже есть аккаунт? Войти в систему.
Войти