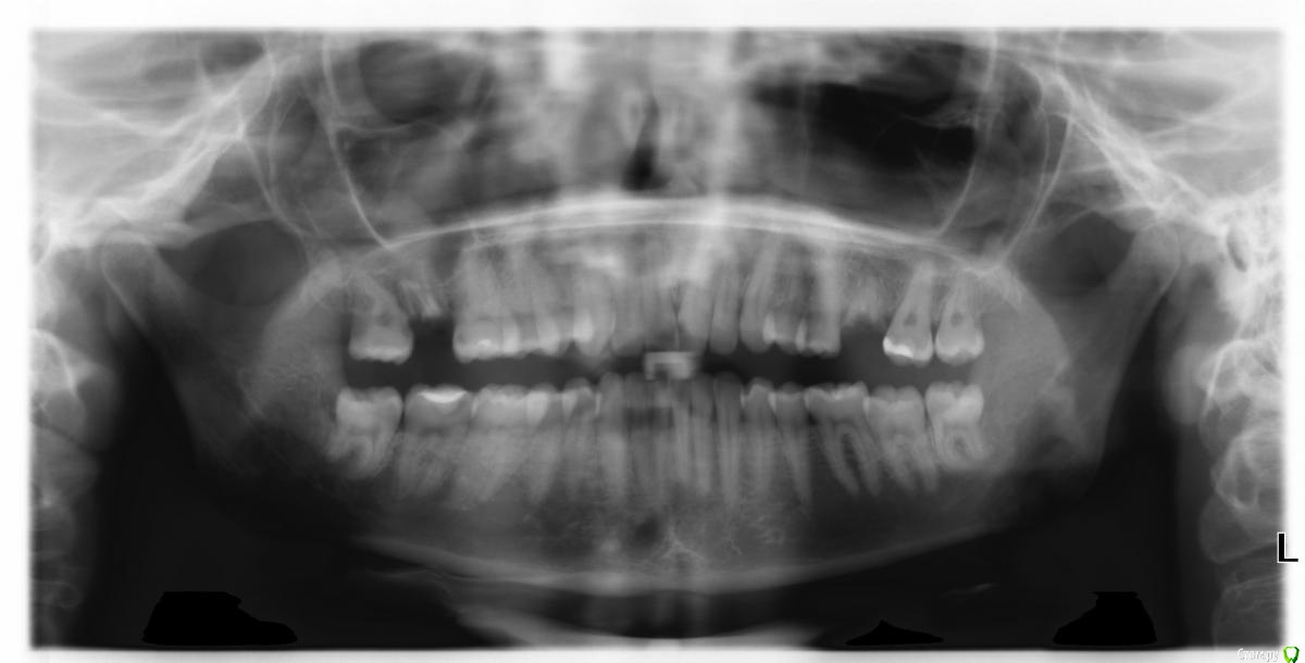
gum Опубликовано 29 апреля, 2015 Поделиться Опубликовано 29 апреля, 2015 (изменено) Обратилась пациентка с жалобами на тяжесть в подглазничный области справа, боли, иррадиирующие в область уха, висок, температуры с ее слов не было, 3 дня пьет обезболивающие препараты. Делаю снимок и ... Радикулярная киста с пенетрацией пазухи, при чём, я так понимаю нагноившаяся. Отправляю в члх они ее заворачивают обратно со словами идите удаляйте зуб туда, откуда вас прислали, возникнут осложнения приходите.Назначил пациентке антибиотик. Вопрос как ее вести после удаления зуба? Сталкиваюсь с данной ситуацией впервые. Изменено 29 апреля, 2015 пользователем gum Ссылка на комментарий
krokomot Опубликовано 29 апреля, 2015 Поделиться Опубликовано 29 апреля, 2015 1.Удаляете зуб2.Ревизия раны(помыть-почистить)3.Тест на гайморооральное сообщение(если оно есть плотно ушить лунку)4.Рекомендации не сморкаться не чихать, сосудосуживающие капли в нос, конечно с а\б и противовоспалительными. 3 Ссылка на комментарий
Bier Опубликовано 29 апреля, 2015 Поделиться Опубликовано 29 апреля, 2015 по пункту 3. - механизмы устранения ороантрального соустья есть на форуме с фотографиями. 1 Ссылка на комментарий
gum Опубликовано 30 апреля, 2015 Автор Поделиться Опубликовано 30 апреля, 2015 (изменено) Спасибо сделаю все по пунктам. Лишь бы пришла, а то говорит что ей легче.... Изменено 30 апреля, 2015 пользователем gum Ссылка на комментарий
Рекомендуемые сообщения
Для публикации сообщений создайте учётную запись или авторизуйтесь
Вы должны быть пользователем, чтобы оставить комментарий
Создать аккаунт
Зарегистрируйте новый аккаунт в нашем сообществе. Это очень просто!
Регистрация нового пользователяВойти
Уже есть аккаунт? Войти в систему.
Войти