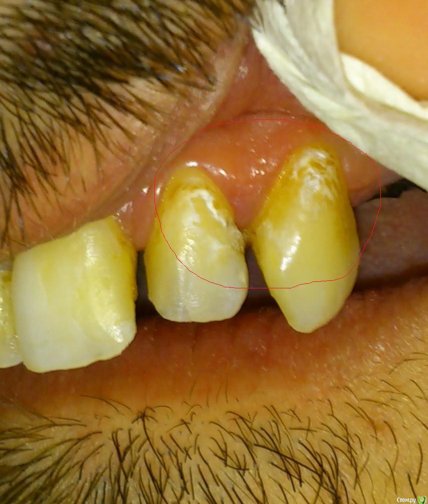
maxxio Опубликовано 29 апреля, 2015 Поделиться Опубликовано 29 апреля, 2015 По рекомендации врача сделал чистку, сказали, что ультразвуком и потом еще пастой щеткой. Ультразвук был в виде тонкой вибрирующей струи. Вопрос первый - прочел тут, что ультразвук - это когда вибрирующим наконечником. Или бывает и такой вариант? Потом по моей просьбе врач обработал фторлаком. Но он наносился не наносимой кисточкой ядреной жидкостью, а как будто зубной пастой - намазали тампоном широкими мазками передние зубы, задели и по деснам, посушили слегка, остатки сказали не сплевывать, проглотить не страшно. Опять же - делал первый раз, возникло сомнение, что так на зубах что-то останется - решил почитать... пишут, что действительно как лак должен быть с хвойным запахом и только аккуратно на зубы... Что это могло быть? Неужели такой фторлак? И третий, самый важный вопрос: после сей процедуры на одном зубе ближе к корню как будто кусок эмали выщербило, причем большой. Как будто там был полд эмалью итз нее "пузырек" и его сорвало. По краям отчетливо видно что был слой, покрывающий зуб, он отломан и в середине его нет. На соседнем - трещиноватость в аналогичном месте. До процедуры не было 100%. Что это - такой камень и не полностью удалился? Дефект эмали? Кариес? Остатки пломбировочного материала при "замазывании" (этот зуб ранее лечился, какую часть высверлили - не очень понятно, пломба УФ и малозаметна). И главное - что теперь с этим делать. Фото прилагаю. P.S. Клиника вроде достаточно известная, сетевая, врач тоже пока радовал, просто закрались какие-то сомнения... Ссылка на комментарий
red_butler Опубликовано 30 апреля, 2015 Поделиться Опубликовано 30 апреля, 2015 1. с ваших слов не понятно, чем делали гигиену2. вот как раз отечественным фторлаком (с хвойным запахом) практически никто не пользуется3. это кариес Ссылка на комментарий
maxxio Опубликовано 30 апреля, 2015 Автор Поделиться Опубликовано 30 апреля, 2015 1. Поставим вопрос по-другому: ультразвуковая чистка - это всегда наконечник или струя жидкости возможна?2. Т.е. не отечественный по консистенции похож на зубную пасту и мажут им тампоном беглыми горизонтальными по всем зубам, а не покрывают кисточкой каждый зуб отдельно? Или возможна какая-то альтернатива, которую врач мог "просторечно" тоже назвать фторлаком?3. Этого (скола эмали прамо спереди зуба) 100% не было до чистки. Я языком это сразу после почувствовал, да и в зеркало передние зубы вижу часто. Беловатое пятно там было, да. Т.е. это чистка разрушила и так испорченную кариесом эмаль? Это уже не эмаль (дентин) под сколом?3.1 Так а для пломб чистка любого рода (УЗ в частности, но и вообще, чтобы понимать, чего избегать) не опасна? Пломба ж не живой зуб - она просто материал и от любого жесткого воздействия разрушается? Мне так-то по-барабану на цвет зубов - если это вредит их реальному здоровью. Почему говорят, что чистка нужна регулярно? Ссылка на комментарий
Рекомендуемые сообщения
Для публикации сообщений создайте учётную запись или авторизуйтесь
Вы должны быть пользователем, чтобы оставить комментарий
Создать аккаунт
Зарегистрируйте новый аккаунт в нашем сообществе. Это очень просто!
Регистрация нового пользователяВойти
Уже есть аккаунт? Войти в систему.
Войти