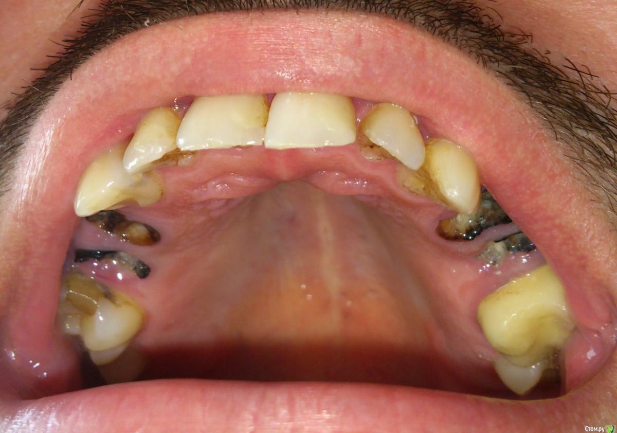
maxxio Опубликовано 29 апреля, 2015 Поделиться Опубликовано 29 апреля, 2015 Здравствуйте!У меня обломаны под корень 4 зуба: 4ка и 5ка сверху с обеих сторон. Лет 7-12 назад все они были пролечены, в них были запломбированы каналы, затем они в разное время по частям обломились (сильно разрушены были, пломбы были почти на весь зуб). С такими, практически отсутствующими (вровень с десной и глубже), я живу уже несколько лет. Не мешают, не болят. Из десны не торчат. Цветом черно-коричневые, но это если перпендикулярно внутрь заглянуть в лунки - так особо не видно. Стоматолог сказал, что использовать корни подо что-то не удастся - сильно разрушены. Протезировать в ближайшие 3-5 лет я их не планирую: при разговоре их за щеками не видно, есть не мешает, денег под это пока нет (ставить дешевый съемный протез не хочу, обтачивать соседние здоровые зубы - тоже). Вопрос: нужно ли при таком раскладе их удалить? Не "поедут" ли соседние зубы (на одном из соседних - дорогая коронка только поставлена)? Не "съестся" ли десна, усложнив протезирование в будущем? Какие риски от их оставления (в остальном за этот год рот привел в полный порядок)? Т.е. я понимаю, что по правилам их надо удалить и запротезировать через 1-3 месяца. Вопрос в том, что делать при условии, что протезирование исключено - где меньше рисков? Ссылка на комментарий
parallax Опубликовано 29 апреля, 2015 Поделиться Опубликовано 29 апреля, 2015 Удалять. А для того, чтобы говорить о рисках, делайте ортопантомограмму и выкладывайте на всеобщее обозрение. Ссылка на комментарий
maxxio Опубликовано 29 апреля, 2015 Автор Поделиться Опубликовано 29 апреля, 2015 Т.е. удалив корни я не получу тех проблем, о которых пишу в течение нескольких лет? Ссылка на комментарий
maxxio Опубликовано 29 апреля, 2015 Автор Поделиться Опубликовано 29 апреля, 2015 Ортопантомограмма - что она покажет? Осмысленно ли оплачивать ее сейчас и получать дозу облучения (обычных снимков и так было немало в процессе лечения других зубов в последний год)? Я благодарен за ответ, но, все-таки, хочется понимать - почему мне нужно это делать? Вы же на основании каких-то соображений говорите "удалять"! Ссылка на комментарий
parallax Опубликовано 29 апреля, 2015 Поделиться Опубликовано 29 апреля, 2015 Т.е. удалив корни я не получу тех проблем, о которых пишу в течение нескольких лет? Возможно, получите. Но если Вы оставите корни, то рискуете получить осложнения воспалительного характера. В любом случае, без рентгена - это гадание на пальцах. ОПТГ нужна для оценки происходящего в Вашей костной ткани. Ну а мои соображения Вам ни к чему, поскольку Вы не специалист. Ссылка на комментарий
maxxio Опубликовано 29 апреля, 2015 Автор Поделиться Опубликовано 29 апреля, 2015 Спасибо, я услышал Ваше мнение, оно для меня важно. Моя проблема в том, что, удалив корни, я 100% становлюсь заложником ситуации и вынужден делать протезирование или мириться с необратимыми изменениями в челюсти. А не удаляя - это 50/50 (ну или 99/1 - собственно, в этом изначально и был вопрос - в статистике). Тем более, что несколько лет я от них проблем не имею, т.е. активного воспаления видимо нет. А сделав ОПТГ, я смогу получить ответ на вопрос - можно ли их оставить? Или все равно будет "нужно удалять в любом случае, потому что сейчас все хорошо, а потом..." (слышал уже такое мнение). P.S. Если у других докторов тоже есть мнение, очень хотелось бы услышать и его. И все-таки с какой-то аргументацией - хотя бы в двух словах. Потому что здоровье-то мое и я хочу понимать, что с ним делать... Ссылка на комментарий
Stomart Опубликовано 29 апреля, 2015 Поделиться Опубликовано 29 апреля, 2015 P.S. Если у других докторов тоже есть мнение, очень хотелось бы услышать и его. И все-таки с какой-то аргументацией - хотя бы в двух словах. Потому что здоровье-то мое и я хочу понимать, что с ним делать...Гнилые корни это источник инфекции, микробы, которые выделяют токсины постоянно отравляющие ваш организм. 1 Ссылка на комментарий
maxxio Опубликовано 29 апреля, 2015 Автор Поделиться Опубликовано 29 апреля, 2015 Спасибо. Это я понимаю. Мне важно понять - потенциально это опаснее, чем длительное хождение без этих зубов? Кстати, а просто сами корни как есть, без коронковой части хоть как-то защищают десну от разъедания, а соседние зубы от смещения, а то может и проблема надумана? Без этих корней при жевании сильно будет болеть десна? Не будет ли в пустующих лунках заводиться не менее страшной инфекции? Или они полностью зарастают? Ссылка на комментарий
red_butler Опубликовано 29 апреля, 2015 Поделиться Опубликовано 29 апреля, 2015 http://forum.stom.ru/topic/13914-esli-vy-dumaete-chto-ot-zubov-ne-umiraiut/ Ссылка на комментарий
maxxio Опубликовано 29 апреля, 2015 Автор Поделиться Опубликовано 29 апреля, 2015 (изменено) Спасибо, тема полезная. Но в моем-то случае никаких признаков кист нет. Конечно, как тут советовали, лучше сделать для этого рентген, но так надо вообще для всех зубов регулярно его делать? Киста же далеко не всегда заметна просто так? А сами корни, что они "гниют", так я так понимаю (поправьте, если не прав), что кариес вызывается микроорганизмами, в норме и в большом количестве присутствующими в ротовой полости, в данном случае, судя по цвету, они, наверное, поражают мертвые корни (хотя, цвет и от чая-кофе быть может?). Но где признаки какого-либо воспаления? И как тогда оставляют во рту мертвые зубы (депульпированные)? Им тогда тоже рентген нужно каждые полгода делать? Эти мои корни - они же не сгнили так изначально - они были депульпированы, пролечены и потом сломались. Изменено 29 апреля, 2015 пользователем maxxio Ссылка на комментарий
parallax Опубликовано 29 апреля, 2015 Поделиться Опубликовано 29 апреля, 2015 Послушайте, maxxio, у Вас по сути негерметичные каналы (если они ещё все запломбированы). Каналы протекают, патогенная флора проникает в кость и никто не знает какого размера очаги воспаления. В принципе, Вы можете ходить с корнями сколь угодно долго. Но если Вам раздует физиономию, не говорите, что Вас не предупреждали. Ссылка на комментарий
maxxio Опубликовано 29 апреля, 2015 Автор Поделиться Опубликовано 29 апреля, 2015 Да я не пытаюсь отстоять ходить с корнями - я пытаюсь разобраться. А каналы сами легко теряют герметичность, если не закрыты пломбами сверху? Так более-менее понятно. Но если же я вырву корни, то к кости будет вести уже не тоненький и негерметичный канал, а большая дырка (лунка)? Или большая не страшно - типа она промывается тоже хорошо? Ссылка на комментарий
Bier Опубликовано 29 апреля, 2015 Поделиться Опубликовано 29 апреля, 2015 дело в том, что в канале зуба всегда инфекция и канал ведет прямо в кость. Защитные силы организма (клетки макрофаги) не могут проникнуть в канал мертвого зуба. Если же зуб вырвать, то начнутся процессы заживления, организм сможет отграничить кость от агрессивной среды полости рта мягкими тканями десны. По статистике примерно 10% заболеваний внутренних органов возникает из-за несанированной полости рта. 1 Ссылка на комментарий
maxxio Опубликовано 29 апреля, 2015 Автор Поделиться Опубликовано 29 апреля, 2015 О, вот это уже совсем понятно! Тогда разрешите, пожалуйста, последние опасения: как долго можно ходить в таком случае с удаленными зубами не протезируя их, чтобы не получить необратимых последствий (сильно разъехавшиеся зубы, повреждения десны). Чтобы потом можно было поставить импланты. Я понимаю, что в идеале - 3 месяца, а вот максимум? И насколько и чем еще вообще опасно ходить с удаленными и непротезированными зубами?И сразу вдогонку второй вопрос: в таком состоянии зубы удалять будет сложно? Это операция? Как часто их можно удалять (т.е. за какое время удастся победить все 4)? Ссылка на комментарий
Чертков Александр Опубликовано 30 апреля, 2015 Поделиться Опубликовано 30 апреля, 2015 а вот максимум? Здравствуйте, это сугубо индивидуально. У кого-то через полгода есть признаки "смещения", а у кого то и через 20 лет их нет. удалять будет сложно? Нет. победить все 4 Можно сразу. Или разделить: справа-слева. Ссылка на комментарий
Bier Опубликовано 30 апреля, 2015 Поделиться Опубликовано 30 апреля, 2015 съемные протезы сделайте, самые дешевые. Ссылка на комментарий
maxxio Опубликовано 30 апреля, 2015 Автор Поделиться Опубликовано 30 апреля, 2015 (изменено) Так съемные - это "вставная челюсть"? Это как-то уж чересчур неудобно... Или сейчас есть варианты не столь ужасные?И про возможные изменения... Допустим, я прохожу 3-5 лет без этих зубов и съемных протезов, в среднем случае (ну или в худшем, но без явного невезения в виде каких-то редчайших осложнений).1. Насколько вероятно что поставить импланты потом не удастся?2. Какие еще могут быть явные негативные последствия кроме смещения зубов?3. Смещение мне тут говорят и так идет, раз коронок нет? Оно резко училится, когда не будет и корней? Изменено 30 апреля, 2015 пользователем maxxio Ссылка на комментарий
rivezico Опубликовано 2 мая, 2015 Поделиться Опубликовано 2 мая, 2015 maxxio, Вам никто не скажет , как долго вы походите с гнилыми зубами так, чтобы проблем не было. А корешки эти надо удалять , а если какой-то доктор Вам скажет, что удалять необязательно - я бы не стал у такого доктора удалять зубы Ссылка на комментарий
maxxio Опубликовано 3 мая, 2015 Автор Поделиться Опубликовано 3 мая, 2015 Так нет, про удалять я уже все понял! Последний вопрос в контексте "прохожу без этих зубов и корешков", т.е. интересуют негативные последствия именно удаления и непротезирования. 1 1 Ссылка на комментарий
Гарриевич Опубликовано 3 мая, 2015 Поделиться Опубликовано 3 мая, 2015 В Вашем случае такие последствия может уже и произошли. Вы ходите с разрушенными зуба уже достаточно давно. Скорее всего нижние зубы уже "выехали" навстречу верхним. В дальнейшем этот процесс будет только прогрессировать. Как бонус нижние зубы в этой области не участвуют в акте жевания полноценно, следовательно не происходит постоянного самоочищения зубов и такие зубы быстрее подвергаются кариозным поражения и их осложнениям. Теоретически Вы можете все жизнь проходить с таким состояние. Полости рта и ничего страшного не произойдет, или наоборот можно схватить инфекционный миокардит. 1 Ссылка на комментарий
maxxio Опубликовано 5 мая, 2015 Автор Поделиться Опубликовано 5 мая, 2015 Про инфекционный миокардит и прочие осложнения Вы пишите, как я понял, если корни не удалять. Я уже понял, удалю их в ближайшее время. речь именно о последствиях непротезирования С УДАЛЕННЫМИ корнями. "Выезд" зубов и сниженное самоочищения понял. Что может быть еще и как быстро? Ссылка на комментарий
Птен Опубликовано 7 мая, 2015 Поделиться Опубликовано 7 мая, 2015 Прочитал эту тему, испугался, пошёл удалять свой давний корень.....это ппц, товарищи... сделали 6 уколов,практически не брала анестезия-занемела только десна, а зуб чувствовался и даже заболел, так как его пытались вытащить(до вмешательства вообще не болел) короч, я почувствовал себя пациентом концлагерной больнички было дико больно, оказалось, что там была киста да ещё зуб начал гнить изнутри! снаружи не было запаха, а как вынули... мда короч, нафиг, не буду больше эти проклятые корешки беречь. Ссылка на комментарий
St. Опубликовано 9 мая, 2015 Поделиться Опубликовано 9 мая, 2015 Прочитал эту тему, испугался, пошёл удалять свой давний корень.....это ппц, товарищи... сделали 6 уколов,практически не брала анестезия-занемела только десна, а зуб чувствовался и даже заболел, так как его пытались вытащить(до вмешательства вообще не болел) короч, я почувствовал себя пациентом концлагерной больнички было дико больно, оказалось, что там была киста да ещё зуб начал гнить изнутри! снаружи не было запаха, а как вынули... мда короч, нафиг, не буду больше эти проклятые корешки беречь.Вот-вот! Вы правы Когда вовремя, лучше, проще и легче и Вам, и доктору. Но лучше вовремя лечить, чем удалять.. Ссылка на комментарий
Рекомендуемые сообщения
Для публикации сообщений создайте учётную запись или авторизуйтесь
Вы должны быть пользователем, чтобы оставить комментарий
Создать аккаунт
Зарегистрируйте новый аккаунт в нашем сообществе. Это очень просто!
Регистрация нового пользователяВойти
Уже есть аккаунт? Войти в систему.
Войти